Suppr超能文献

伊里扎洛夫环形固定器治疗踝关节骨折后夏科氏关节病骨不连成功:一例报告

Successful treatment of nonunion with an Ilizarov ring fixator after ankle fracture for Charcot arthropathy: a case report.

作者信息

Nozaka Koji, Shimada Yoichi, Kimura Yoshiaki, Yamada Shin, Kashiwagura Takeshi, Sakuraba Tsutomu, Wakabayashi Ikuko

机构信息

Department of Orthopedic Surgery, Akita University Graduate School of Medicine, 1-1-1 Hondo, Akita 010-8543, Japan.

出版信息

BMC Res Notes. 2014 Aug 7;7:503. doi: 10.1186/1756-0500-7-503.

Abstract

BACKGROUND

Ankle fractures in patients with diabetes mellitus have long been recognized as a challenge to orthopedic surgeons. Nonunion and lengthy wound healing in high-risk patients with diabetes, particularly patients with peripheral arterial disease and renal failure, occur secondary to several clinical conditions and are often fraught with complications. Whether diabetic ankle fractures are best treated noninvasively or surgically is controversial.

CASE PRESENTATION

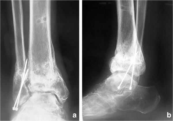
A 53-year-old Japanese man fractured his right ankle. The fractured ankle was treated nonsurgically with a plaster cast. Although he remained non-weight-bearing for 3 months, radiography at 3 months showed nonunion. The nonunion was treated by Ilizarov external fixation of the ankle. The external fixator was removed 99 days postoperatively, at which time the patient exhibited anatomical and functional recovery and was able to walk without severe complications.

CONCLUSION

In patients with diabetes mellitus, severe nonunion of ankle fractures with Charcot arthropathy in which the fracture fragment diameter is very small and the use of internal fixation is difficult is a clinical challenge. Ilizarov external fixation allows suitable fixation to be achieved using multiple Ilizarov wires.

摘要

背景

糖尿病患者的踝关节骨折长期以来一直被认为是骨科医生面临的一项挑战。糖尿病高危患者,尤其是患有外周动脉疾病和肾衰竭的患者,骨折不愈合和伤口愈合时间延长是由多种临床情况导致的,并且常常伴有并发症。糖尿病踝关节骨折最佳的治疗方式是采用非侵入性治疗还是手术治疗存在争议。

病例介绍

一名53岁的日本男性右踝关节骨折。骨折的踝关节采用石膏固定进行非手术治疗。尽管他持续3个月不负重,但3个月时的X线检查显示骨折不愈合。骨折不愈合通过踝关节的伊里扎洛夫外固定架治疗。术后99天拆除外固定架,此时患者显示出解剖和功能恢复,能够行走且无严重并发症。

结论

在糖尿病患者中,伴有夏科氏关节病的踝关节骨折严重不愈合,骨折碎片直径非常小且难以使用内固定治疗,这是一项临床挑战。伊里扎洛夫外固定架通过使用多根伊里扎洛夫钢丝能够实现合适的固定。

https://cdn.ncbi.nlm.nih.gov/pmc/blobs/d355/4127037/e233f3888832/1756-0500-7-503-1.jpg

文献AI研究员

20分钟写一篇综述,助力文献阅读效率提升50倍。

立即体验

用中文搜PubMed

大模型驱动的PubMed中文搜索引擎

马上搜索

文档翻译

学术文献翻译模型,支持多种主流文档格式。

立即体验