Suppr超能文献

结直肠癌模仿正常结肠隐窝的结构组织。

Colorectal cancers mimic structural organization of normal colonic crypts.

作者信息

Cernat Laura, Blaj Cristina, Jackstadt Rene, Brandl Lydia, Engel Jutta, Hermeking Heiko, Jung Andreas, Kirchner Thomas, Horst David

机构信息

Pathologisches Institut, Ludwig-Maximilians-Universität, München, Germany; Victor Babes University of Medicine and Pharmacy, Timisoara, Romania.

Pathologisches Institut, Ludwig-Maximilians-Universität, München, Germany.

出版信息

PLoS One. 2014 Aug 11;9(8):e104284. doi: 10.1371/journal.pone.0104284. eCollection 2014.

Abstract

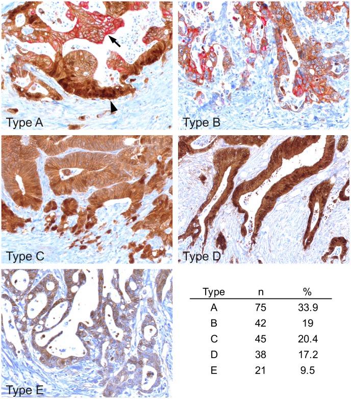
Colonic crypts are stereotypical structures with distinct stem cell, proliferating, and differentiating compartments. Colorectal cancers derive from colonic crypt epithelia but, in contrast, form morphologically disarrayed glands. In this study, we investigated to which extent colorectal cancers phenocopy colonic crypt architecture and thus preserve structural organization of the normal intestinal epithelium. A subset of colon cancers showed crypt-like compartments with high WNT activity and nuclear β-Catenin at the leading tumor edge, adjacent proliferation, and enhanced Cytokeratin 20 expression in most differentiated tumor epithelia of the tumor center. This architecture strongly depended on growth conditions, and was fully reproducible in mouse xenografts of cultured and primary colon cancer cells. Full crypt-like organization was associated with low tumor grade and was an independent prognostic marker of better survival in a collection of 221 colorectal cancers. Our findings suggest that full activation of preserved intestinal morphogenetic programs in colon cancer requires in vivo growth environments. Furthermore, crypt-like architecture was linked with less aggressive tumor biology, and may be useful to improve current colon cancer grading schemes.

摘要

结肠隐窝是具有不同干细胞、增殖和分化区室的典型结构。结直肠癌起源于结肠隐窝上皮,但与之相反,形成形态紊乱的腺体。在本研究中,我们调查了结直肠癌在多大程度上模仿结肠隐窝结构,从而保留正常肠上皮的结构组织。一部分结肠癌在肿瘤前沿显示出具有高WNT活性和核β-连环蛋白的隐窝样区室、相邻的增殖以及在肿瘤中心大多数分化肿瘤上皮中增强的细胞角蛋白20表达。这种结构强烈依赖于生长条件,并且在培养的和原发性结肠癌细胞的小鼠异种移植中完全可重现。完整的隐窝样组织与低肿瘤分级相关,并且是221例结直肠癌集合中更好生存的独立预后标志物。我们的研究结果表明,结肠癌中保留的肠道形态发生程序的完全激活需要体内生长环境。此外,隐窝样结构与侵袭性较小的肿瘤生物学相关,并且可能有助于改进当前的结肠癌分级方案。

https://cdn.ncbi.nlm.nih.gov/pmc/blobs/d4a9/4128715/dc39438d67f8/pone.0104284.g001.jpg

相似文献

1
Colorectal cancers mimic structural organization of normal colonic crypts.
PLoS One. 2014 Aug 11;9(8):e104284. doi: 10.1371/journal.pone.0104284. eCollection 2014.
3
A Diffusion-like Process Accommodates New Crypts During Clonal Expansion in Human Colonic Epithelium.
Gastroenterology. 2021 Aug;161(2):548-559.e23. doi: 10.1053/j.gastro.2021.04.035. Epub 2021 Apr 22.
4
Multi-scale modeling of APC and [Formula: see text]-catenin regulation in the human colonic crypt.
J Math Biol. 2018 Jun;76(7):1797-1830. doi: 10.1007/s00285-017-1204-8. Epub 2018 Jan 4.
5
Physiological and pathological role of local and immigrating colonic stem cells.
World J Gastroenterol. 2012 Jan 28;18(4):295-301. doi: 10.3748/wjg.v18.i4.295.
7
Interplay between VHL/HIF1alpha and Wnt/beta-catenin pathways during colorectal tumorigenesis.
Oncogene. 2006 May 18;25(21):3065-70. doi: 10.1038/sj.onc.1209330.

引用本文的文献

1
Colorectal cancer: Genetic alterations, novel biomarkers, current therapeutic strategies and clinical trials.
Gene. 2024 Jan 20;892:147857. doi: 10.1016/j.gene.2023.147857. Epub 2023 Sep 30.
2
Discovery of Long Non-Coding RNA MALAT1 Amplification in Precancerous Colorectal Lesions.
Int J Mol Sci. 2022 Jul 11;23(14):7656. doi: 10.3390/ijms23147656.
5
Colorectal Adenomas-Genetics and Searching for New Molecular Screening Biomarkers.
Int J Mol Sci. 2020 May 5;21(9):3260. doi: 10.3390/ijms21093260.
6
An evolving paradigm of cancer stem cell hierarchies: therapeutic implications.
Theranostics. 2020 Feb 10;10(7):3083-3098. doi: 10.7150/thno.41647. eCollection 2020.
10
Targeting tumor cell plasticity by combined inhibition of NOTCH and MAPK signaling in colon cancer.
J Exp Med. 2018 Jun 4;215(6):1693-1708. doi: 10.1084/jem.20171455. Epub 2018 May 16.

本文引用的文献

1
MicroRNA-26b represses colon cancer cell proliferation by inhibiting lymphoid enhancer factor 1 expression.
Mol Cancer Ther. 2014 Jul;13(7):1942-51. doi: 10.1158/1535-7163.MCT-13-1000. Epub 2014 Apr 30.
2
Wnt signaling in adult intestinal stem cells and cancer.
Cell Signal. 2014 Mar;26(3):570-9. doi: 10.1016/j.cellsig.2013.11.032. Epub 2013 Dec 2.
3
CD133 expression and the prognosis of colorectal cancer: a systematic review and meta-analysis.
PLoS One. 2013;8(2):e56380. doi: 10.1371/journal.pone.0056380. Epub 2013 Feb 11.
4
Overexpression of CK20, MAP3K8 and EIF5A correlates with poor prognosis in early-onset colorectal cancer patients.
J Cancer Res Clin Oncol. 2013 Apr;139(4):691-702. doi: 10.1007/s00432-013-1372-x. Epub 2013 Jan 16.
5
Differential WNT activity in colorectal cancer confers limited tumorigenic potential and is regulated by MAPK signaling.
Cancer Res. 2012 Mar 15;72(6):1547-56. doi: 10.1158/0008-5472.CAN-11-3222. Epub 2012 Feb 8.
6
Cytokeratin 7 and cytokeratin 20 expression in colorectal adenocarcinomas.
Pathol Res Pract. 2011 Mar 15;207(3):156-60. doi: 10.1016/j.prp.2010.12.005. Epub 2011 Feb 1.
8
Wnt activity defines colon cancer stem cells and is regulated by the microenvironment.
Nat Cell Biol. 2010 May;12(5):468-76. doi: 10.1038/ncb2048. Epub 2010 Apr 25.
9
Lung cancer cell lines: Useless artifacts or invaluable tools for medical science?
Lung Cancer. 2010 Jun;68(3):309-18. doi: 10.1016/j.lungcan.2009.12.005. Epub 2010 Jan 15.
10
Revised TN categorization for colon cancer based on national survival outcomes data.
J Clin Oncol. 2010 Jan 10;28(2):264-71. doi: 10.1200/JCO.2009.24.0952. Epub 2009 Nov 30.

文献AI研究员

20分钟写一篇综述,助力文献阅读效率提升50倍。

立即体验

用中文搜PubMed

大模型驱动的PubMed中文搜索引擎

马上搜索

文档翻译

学术文献翻译模型,支持多种主流文档格式。

立即体验