Salinas Thalia, El Farouk-Ameqrane Samira, Ubrig Elodie, Sauter Claude, Duchêne Anne-Marie, Maréchal-Drouard Laurence
Institut de Biologie Moléculaire des Plantes, UPR 2357 CNRS, associated with Strasbourg University, 12 rue du Général Zimmer 67084 Strasbourg cedex, France
Institut de Biologie Moléculaire des Plantes, UPR 2357 CNRS, associated with Strasbourg University, 12 rue du Général Zimmer 67084 Strasbourg cedex, France.
Nucleic Acids Res. 2014 Sep;42(15):9937-48. doi: 10.1093/nar/gku728. Epub 2014 Aug 11.
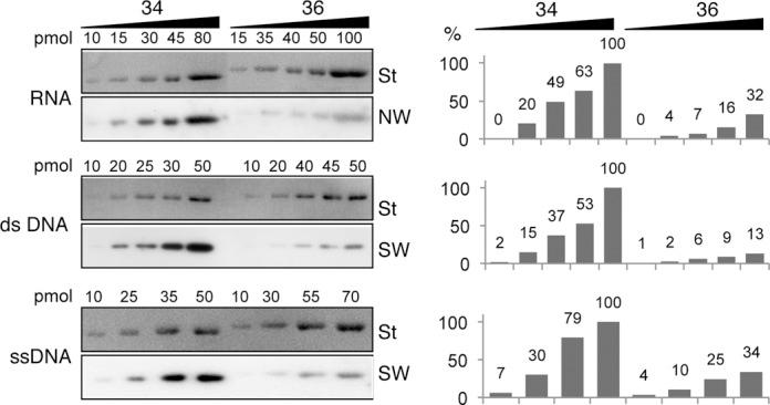
In plants, the voltage-dependent anion-selective channel (VDAC) is a major component of a pathway involved in transfer RNA (tRNA) translocation through the mitochondrial outer membrane. However, the way in which VDAC proteins interact with tRNAs is still unknown. Potato mitochondria contain two major mitochondrial VDAC proteins, VDAC34 and VDAC36. These two proteins, composed of a N-terminal α-helix and of 19 β-strands forming a β-barrel structure, share 75% sequence identity. Here, using both northwestern and gel shift experiments, we report that these two proteins interact differentially with nucleic acids. VDAC34 binds more efficiently with tRNAs or other nucleic acids than VDAC36. To further identify specific features and critical amino acids required for tRNA binding, 21 VDAC34 mutants were constructed and analyzed by northwestern. This allowed us to show that the β-barrel structure of VDAC34 and the first 50 amino acids that contain the α-helix are essential for RNA binding. Altogether the work shows that during evolution, plant mitochondrial VDAC proteins have diverged so as to interact differentially with nucleic acids, and this may reflect their involvement in various specialized biological functions.
在植物中,电压依赖性阴离子选择性通道(VDAC)是转运RNA(tRNA)通过线粒体外膜转运途径的主要组成部分。然而,VDAC蛋白与tRNA相互作用的方式仍不清楚。马铃薯线粒体含有两种主要的线粒体VDAC蛋白,即VDAC34和VDAC36。这两种蛋白由一个N端α螺旋和19条β链组成β桶状结构,序列同源性为75%。在这里,我们通过蛋白质印迹和凝胶迁移实验表明,这两种蛋白与核酸的相互作用存在差异。VDAC34比VDAC36更有效地结合tRNA或其他核酸。为了进一步确定tRNA结合所需的特定特征和关键氨基酸,构建了21个VDAC34突变体并通过蛋白质印迹进行分析。这使我们能够表明,VDAC34的β桶状结构和包含α螺旋的前50个氨基酸对于RNA结合至关重要。总之,这项工作表明,在进化过程中,植物线粒体VDAC蛋白发生了分化,以便与核酸进行不同的相互作用,这可能反映了它们参与了各种特殊的生物学功能。