Suppr超能文献

1α,25-二羟基维生素D3通过NF-κB和RhoA/Rho激酶途径改善海水吸入诱导的急性肺损伤。

1α,25-dihydroxyvitamin D3 ameliorates seawater aspiration-induced acute lung injury via NF-κB and RhoA/Rho kinase pathways.

作者信息

Zhang Minlong, Dong Mingqing, Liu Wei, Wang Li, Luo Ying, Li Zhichao, Jin Faguang

机构信息

Department of Respiration, Tangdu Hospital, Fourth Military Medical University, Xi'an, PR China.

Department of Pathology and Pathophysiology, Fourth Military Medical University, Xi'an, PR China; Lung Injury and Repair Center, Fourth Military Medical University, Xi'an, PR China.

出版信息

PLoS One. 2014 Aug 13;9(8):e104507. doi: 10.1371/journal.pone.0104507. eCollection 2014.

Abstract

INTRODUCTION

Inflammation and pulmonary edema are involved in the pathogenesis of seawater aspiration-induced acute lung injury (ALI). Although several studies have reported that 1α,25-Dihydroxyvitamin D3 (calcitriol) suppresses inflammation, it has not been confirmed to be effective in seawater aspiration-induced ALI. Thus, we investigated the effect of calcitriol on seawater aspiration-induced ALI and explored the probable mechanism.

METHODS

Male SD rats receiving different doses of calcitriol or not, underwent seawater instillation. Then lung samples were collected at 4 h for analysis. In addition, A549 cells and rat pulmonary microvascular endothelial cells (RPMVECs) were cultured with calcitriol or not and then stimulated with 25% seawater for 40 min. After these treatments, cells samples were collected for analysis.

RESULTS

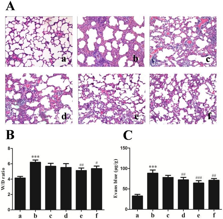
Results from real-time PCR showed that seawater stimulation up-regulated the expression of vitamin D receptor in lung tissues, A549 cells and RPMVECs. Seawater stimulation also activates NF-κB and RhoA/Rho kinase pathways. However, we found that pretreatment with calcitriol significantly inhibited the activation of NF-κB and RhoA/Rho kinase pathways. Meanwhile, treatment of calcitriol also improved lung histopathologic changes, reduced inflammation, lung edema and vascular leakage.

CONCLUSIONS

These results demonstrated that NF-κB and RhoA/Rho kinase pathways are critical in the development of lung inflammation and pulmonary edema and that treatment with calcitriol could ameliorate seawater aspiration-induced ALI, which was probably through the inhibition of NF-κB and RhoA/Rho kinase pathways.

摘要

引言

炎症和肺水肿参与了海水吸入性急性肺损伤(ALI)的发病机制。尽管多项研究报道1α,25-二羟维生素D3(骨化三醇)可抑制炎症,但尚未证实其对海水吸入性ALI有效。因此,我们研究了骨化三醇对海水吸入性ALI的影响,并探讨了可能的机制。

方法

雄性SD大鼠接受不同剂量的骨化三醇或不接受,然后进行海水滴注。然后在4小时时采集肺组织样本进行分析。此外,将A549细胞和大鼠肺微血管内皮细胞(RPMVECs)分别用骨化三醇处理或不处理,然后用25%海水刺激4分钟。这些处理后,收集细胞样本进行分析。

结果

实时PCR结果显示,海水刺激上调了肺组织、A549细胞和RPMVECs中维生素D受体的表达。海水刺激还激活了NF-κB和RhoA/Rho激酶途径。然而,我们发现用骨化三醇预处理可显著抑制NF-κB和RhoA/Rho激酶途径的激活。同时,骨化三醇治疗还改善了肺组织病理学变化,减轻了炎症、肺水肿和血管渗漏。

结论

这些结果表明,NF-κB和RhoA/Rho激酶途径在肺部炎症和肺水肿的发展中起关键作用,骨化三醇治疗可改善海水吸入性ALI,这可能是通过抑制NF-κB和RhoA/Rho激酶途径实现的。

https://cdn.ncbi.nlm.nih.gov/pmc/blobs/2a17/4132109/5862c6cf22a0/pone.0104507.g001.jpg

文献AI研究员

20分钟写一篇综述,助力文献阅读效率提升50倍。

立即体验

用中文搜PubMed

大模型驱动的PubMed中文搜索引擎

马上搜索

文档翻译

学术文献翻译模型,支持多种主流文档格式。

立即体验