Suppr超能文献

活化的小胶质细胞在弓形虫性脑炎中促成神经元凋亡。

Activated microglia contribute to neuronal apoptosis in Toxoplasmic encephalitis.

作者信息

Zhang Yi-hua, Chen He, Chen Ying, Wang Lu, Cai Yi-hong, Li Min, Wen Hui-qin, Du Jian, An Ran, Luo Qing-li, Wang Xue-long, Lun Zhao-Rong, Xu Yuan-hong, Shen Ji-long

机构信息

The Key Laboratory of Zoonoses and Pathogen Biology Anhui, and Department of Parasitology, Anhui Medical University, Hefei, China.

出版信息

Parasit Vectors. 2014 Aug 15;7:372. doi: 10.1186/1756-3305-7-372.

Abstract

BACKGROUND

A plethora of evidence shows that activated microglia play a critical role in the pathogenesis of the central nervous system (CNS). Toxoplasmic encephalitis (TE) frequently occurs in HIV/AIDS patients. However, knowledge remains limited on the contributions of activated microglia to the pathogenesis of TE.

METHODS

A murine model of reactivated encephalitis was generated in a latent infection with Toxoplasma gondii induced by cyclophosphamide. The neuronal apoptosis in the CNS and the profile of pro-inflammatory cytokines were assayed in both in vitro and in vivo experiments.

RESULTS

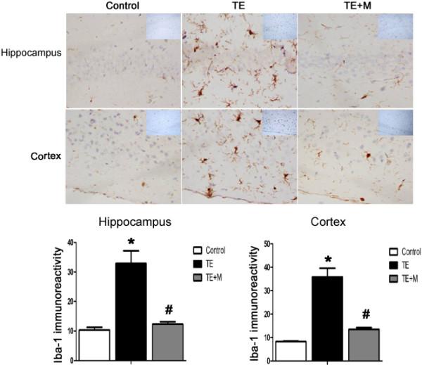
Microglial cells were found to be activated in the cortex and hippocampus in the brain tissues of mice. The in vivo expression of interleukin-6 (IL-6), interleukin-1β (IL-1β), tumor necrosis factor-α (TNF-α), and inducible nitric oxide synthase (iNOS) were up-regulated in TE mice, and accordingly, the neuronal apoptosis was significantly increased. The results were positively correlated with those of the in vitro experiments. Additionally,apoptosis of the mouse neuroblastoma type Neuro2a (N2a) remarkably increased when the N2a was co-cultured in transwell with microglial cells and Toxoplasma tachyzoites. Both in vivo and in vitro experiments showed that minocycline (a microglia inhibitor) treatment notably reduced microglial activation and neuronal apoptosis.

CONCLUSIONS

Activated microglia contribute to neuronal apoptosis in TE and inhibition of microglia activation might represent a novel therapeutic strategy of TE.

摘要

背景

大量证据表明,活化的小胶质细胞在中枢神经系统(CNS)发病机制中起关键作用。弓形虫性脑炎(TE)在HIV/AIDS患者中频繁发生。然而,关于活化的小胶质细胞在TE发病机制中的作用,人们了解仍然有限。

方法

通过环磷酰胺诱导的弓形虫潜伏感染建立了复发性脑炎的小鼠模型。在体外和体内实验中检测了中枢神经系统中的神经元凋亡和促炎细胞因子谱。

结果

在小鼠脑组织的皮质和海马中发现小胶质细胞被激活。TE小鼠体内白细胞介素-6(IL-6)、白细胞介素-1β(IL-1β)、肿瘤坏死因子-α(TNF-α)和诱导型一氧化氮合酶(iNOS)的表达上调,相应地,神经元凋亡显著增加。结果与体外实验结果呈正相关。此外,当小鼠神经母细胞瘤Neuro2a(N2a)与小胶质细胞和弓形虫速殖子在Transwell中共培养时,N2a的凋亡明显增加。体内和体外实验均表明,米诺环素(一种小胶质细胞抑制剂)治疗显著降低了小胶质细胞活化和神经元凋亡。

结论

活化的小胶质细胞促成了TE中的神经元凋亡,抑制小胶质细胞活化可能是TE的一种新的治疗策略。

https://cdn.ncbi.nlm.nih.gov/pmc/blobs/8602/4143554/32e27fbefc26/13071_2014_1554_Fig1_HTML.jpg

文献AI研究员

20分钟写一篇综述,助力文献阅读效率提升50倍。

立即体验

用中文搜PubMed

大模型驱动的PubMed中文搜索引擎

马上搜索

文档翻译

学术文献翻译模型,支持多种主流文档格式。

立即体验