Redpath G M I, Woolger N, Piper A K, Lemckert F A, Lek A, Greer P A, North K N, Cooper S T
Institute for Neuroscience and Muscle Research, Children's Hospital at Westmead, Sydney, NSW 2145, Australia Discipline of Paediatrics and Child Health, Faculty of Medicine, University of Sydney, Sydney, Australia.
Department of Pathology and Molecular Medicine, Queen's University, Division of Cancer Biology and Genetics, Queen's Cancer Research Institute, Kingston, ON K7L 3N6, Canada.
Mol Biol Cell. 2014 Oct 1;25(19):3037-48. doi: 10.1091/mbc.E14-04-0947. Epub 2014 Aug 20.
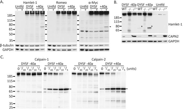
Dysferlin and calpain are important mediators of the emergency response to repair plasma membrane injury. Our previous research revealed that membrane injury induces cleavage of dysferlin to release a synaptotagmin-like C-terminal module we termed mini-dysferlinC72. Here we show that injury-activated cleavage of dysferlin is mediated by the ubiquitous calpains via a cleavage motif encoded by alternately spliced exon 40a. An exon 40a-specific antibody recognizing cleaved mini-dysferlinC72 intensely labels the circumference of injury sites, supporting a key role for dysferlinExon40a isoforms in membrane repair and consistent with our evidence suggesting that the calpain-cleaved C-terminal module is the form specifically recruited to injury sites. Calpain cleavage of dysferlin is a ubiquitous response to membrane injury in multiple cell lineages and occurs independently of the membrane repair protein MG53. Our study links calpain and dysferlin in the calcium-activated vesicle fusion of membrane repair, placing calpains as upstream mediators of a membrane repair cascade that elicits cleaved dysferlin as an effector. Of importance, we reveal that myoferlin and otoferlin are also cleaved enzymatically to release similar C-terminal modules, bearing two C2 domains and a transmembrane domain. Evolutionary preservation of this feature highlights its functional importance and suggests that this highly conserved C-terminal region of ferlins represents a functionally specialized vesicle fusion module.
抗肌萎缩蛋白和钙蛋白酶是修复质膜损伤应急反应的重要介质。我们之前的研究表明,膜损伤会诱导抗肌萎缩蛋白的裂解,释放出一个我们称为微型抗肌萎缩蛋白C72的类似突触结合蛋白的C端模块。在此我们表明,损伤激活的抗肌萎缩蛋白裂解是由普遍存在的钙蛋白酶通过可变剪接外显子40a编码的裂解基序介导的。一种识别裂解后的微型抗肌萎缩蛋白C72的外显子40a特异性抗体强烈标记损伤部位的周边,支持抗肌萎缩蛋白外显子40a异构体在膜修复中的关键作用,并且与我们的证据一致,即钙蛋白酶裂解的C端模块是特异性招募到损伤部位的形式。抗肌萎缩蛋白的钙蛋白酶裂解是多种细胞谱系中对膜损伤的普遍反应,并且独立于膜修复蛋白MG53发生。我们的研究将钙蛋白酶和抗肌萎缩蛋白联系在膜修复的钙激活囊泡融合中,将钙蛋白酶置于引发裂解的抗肌萎缩蛋白作为效应器的膜修复级联反应的上游介质位置。重要的是,我们发现肌铁蛋白和耳铁蛋白也会被酶促裂解以释放类似的C端模块,带有两个C2结构域和一个跨膜结构域。这一特征的进化保守性突出了其功能重要性,并表明铁蛋白这一高度保守的C端区域代表了一个功能特化的囊泡融合模块。