• 文献检索
  • 文档翻译
  • 深度研究
  • 学术资讯
  • Suppr Zotero 插件Zotero 插件
  • 邀请有礼
  • 套餐&价格
  • 历史记录
应用&插件
Suppr Zotero 插件Zotero 插件浏览器插件Mac 客户端Windows 客户端微信小程序
定价
高级版会员购买积分包购买API积分包
服务
文献检索文档翻译深度研究API 文档MCP 服务
关于我们
关于 Suppr公司介绍联系我们用户协议隐私条款
关注我们

Suppr 超能文献

核心技术专利:CN118964589B侵权必究
粤ICP备2023148730 号-1Suppr @ 2026

文献检索

告别复杂PubMed语法,用中文像聊天一样搜索,搜遍4000万医学文献。AI智能推荐,让科研检索更轻松。

立即免费搜索

文件翻译

保留排版,准确专业,支持PDF/Word/PPT等文件格式,支持 12+语言互译。

免费翻译文档

深度研究

AI帮你快速写综述,25分钟生成高质量综述,智能提取关键信息,辅助科研写作。

立即免费体验

泊沙康唑对常规抗真菌药物耐药的顽固性真菌性角膜炎的疗效

Effectiveness of posaconazole in recalcitrant fungal keratitis resistant to conventional antifungal drugs.

作者信息

Altun A, Kurna S A, Sengor T, Altun G, Olcaysu O O, Aki S F, Simsek M H

机构信息

Fatih Sultan Mehmet Education and Research Hospital, Clinic of Ophthalmology, 34752 Istanbul, Turkey.

Department of Ophthalmology, Istanbul Bilim University, 34710 Istanbul, Turkey.

出版信息

Case Rep Ophthalmol Med. 2014;2014:701653. doi: 10.1155/2014/701653. Epub 2014 Aug 11.

DOI:10.1155/2014/701653
PMID:25184064
原文链接:https://pmc.ncbi.nlm.nih.gov/articles/PMC4144149/
Abstract

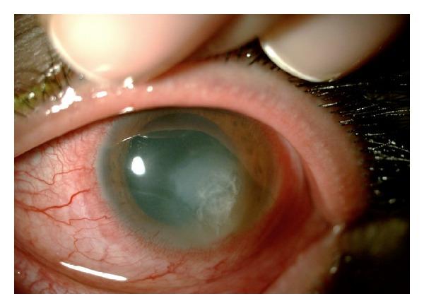
Purpose. To present the success of posaconazole in two cases with recalcitrant fugal keratitis that were resistant to conventional antifungal drugs. Method. We presented two cases that were treated with posaconazole after the failure of fluconazole or voriconazole, amphotericin B, and natamycin therapy. Case 1 was a 62-year-old man with a history of ocular trauma. He had been using topical fluorometholone and tobramycin. His best corrected visual acuity (BCVA) was hand motion. He had 5.0 × 4.5 mm area of deep corneal ulcer with stromal infiltration. Case 2 was a 14-year-old contact lens user. He had been using topical moxifloxacin, tobramycin, and cyclopentolate. His BCVA was 20/200. He had a 4.0 × 3.0 mm area of pericentral corneal ulcer with deep corneal stromal infiltration and 2 mm hypopyon. Results. Both patients initially received systemic and topical fluconazole or voriconazole and amphotericin B and topical natamycin that were all ineffective. But the response of posaconazole was significant. After posaconazole, progressive improvement was seen in clinical appearance. BCVA improved to 20/100 in case 1 and 20/40 in case 2. Conclusion. Posaconazole might be an effective treatment option for recalcitrant fusarium keratitis and/or endophthalmitis resistant to conventional antifungal drugs.

摘要

目的。介绍泊沙康唑在两例对传统抗真菌药物耐药的顽固性真菌性角膜炎患者中的治疗成功案例。方法。我们呈现了两例在氟康唑、伏立康唑、两性霉素B和那他霉素治疗失败后接受泊沙康唑治疗的病例。病例1是一名62岁男性,有眼外伤史。他一直在使用局部氟米龙和妥布霉素。他的最佳矫正视力(BCVA)为手动。他有一个5.0×4.5毫米的深层角膜溃疡区域,伴有基质浸润。病例2是一名14岁的隐形眼镜使用者。他一直在使用局部莫西沙星、妥布霉素和环喷托酯。他的BCVA为20/200。他有一个4.0×3.0毫米的角膜中央周围溃疡区域,伴有深层角膜基质浸润和2毫米前房积脓。结果。两名患者最初均接受了全身及局部氟康唑或伏立康唑、两性霉素B以及局部那他霉素治疗,但均无效。但泊沙康唑的治疗效果显著。使用泊沙康唑后,临床症状逐渐改善。病例1的BCVA提高到20/100,病例2的BCVA提高到20/40。结论。泊沙康唑可能是治疗对传统抗真菌药物耐药的顽固性镰刀菌角膜炎和/或眼内炎的有效治疗选择。

https://cdn.ncbi.nlm.nih.gov/pmc/blobs/8b4c/4144149/9b31877ad709/CRIOPM2014-701653.003.jpg
https://cdn.ncbi.nlm.nih.gov/pmc/blobs/8b4c/4144149/59b59b31f51c/CRIOPM2014-701653.001.jpg
https://cdn.ncbi.nlm.nih.gov/pmc/blobs/8b4c/4144149/fafcb2142c64/CRIOPM2014-701653.002.jpg
https://cdn.ncbi.nlm.nih.gov/pmc/blobs/8b4c/4144149/9b31877ad709/CRIOPM2014-701653.003.jpg
https://cdn.ncbi.nlm.nih.gov/pmc/blobs/8b4c/4144149/59b59b31f51c/CRIOPM2014-701653.001.jpg
https://cdn.ncbi.nlm.nih.gov/pmc/blobs/8b4c/4144149/fafcb2142c64/CRIOPM2014-701653.002.jpg
https://cdn.ncbi.nlm.nih.gov/pmc/blobs/8b4c/4144149/9b31877ad709/CRIOPM2014-701653.003.jpg

相似文献

1
Effectiveness of posaconazole in recalcitrant fungal keratitis resistant to conventional antifungal drugs.泊沙康唑对常规抗真菌药物耐药的顽固性真菌性角膜炎的疗效
Case Rep Ophthalmol Med. 2014;2014:701653. doi: 10.1155/2014/701653. Epub 2014 Aug 11.
2
Resistant Fusarium keratitis progressing to endophthalmitis.耐药性镰刀菌角膜炎进展为眼内炎。
Eye Contact Lens. 2012 Sep;38(5):331-5. doi: 10.1097/ICL.0b013e318235c5af.
3
[Prolonged topical natamycin 5 % therapy before and after keratoplasty for Fusarium keratitis].[角膜移植术治疗镰刀菌性角膜炎前后长期局部应用5%那他霉素治疗]
Ophthalmologe. 2016 May;113(5):420-4. doi: 10.1007/s00347-015-0111-x.
4
Successful management of recalcitrant fungal keratitis with topical caspofungin.局部应用卡泊芬净成功治疗顽固性真菌性角膜炎。
GMS Ophthalmol Cases. 2022 Jul 18;12:Doc19. doi: 10.3205/oc000206. eCollection 2022.
5
Successful treatment of resistant ocular fusariosis with posaconazole (SCH-56592).泊沙康唑(SCH-56592)成功治疗耐药性眼部镰刀菌病。
Am J Ophthalmol. 2007 Feb;143(2):222-227. doi: 10.1016/j.ajo.2006.10.048. Epub 2006 Dec 8.
6
Comparative evaluation of topical versus intrastromal voriconazole as an adjunct to natamycin in recalcitrant fungal keratitis.局部与基质内伏立康唑作为难治性真菌性角膜炎辅助治疗与那他霉素的比较评价。
Ophthalmology. 2013 Apr;120(4):677-81. doi: 10.1016/j.ophtha.2012.09.023. Epub 2012 Dec 12.
7
Recalcitrant Beauveria bassiana keratitis: confocal microscopy findings and treatment with posaconazole (Noxafil).顽固性球孢白僵菌角膜炎:共焦显微镜检查结果及泊沙康唑(诺科飞)治疗
Cornea. 2007 Sep;26(8):1008-10. doi: 10.1097/ICO.0b013e3180de4953.
8
Activity of Chlorhexidine Compared with Seven Antifungal Agents against 98 Isolates Recovered from Fungal Keratitis Patients.氯己定对从真菌性角膜炎患者中分离出的 98 株分离株的活性与七种抗真菌药物的比较。
Antimicrob Agents Chemother. 2019 Jul 25;63(8). doi: 10.1128/AAC.02669-18. Print 2019 Aug.
9
Successful treatment of keratitis with voriconazole.伏立康唑成功治疗角膜炎。
Int Med Case Rep J. 2017 Mar 20;10:93-95. doi: 10.2147/IMCRJ.S131372. eCollection 2017.
10
Successful salvage treatment of Scedosporium apiospermum keratitis with topical voriconazole after failure of natamycin.在那他霉素治疗失败后,局部应用伏立康唑成功挽救治疗尖端赛多孢菌角膜炎。
Ann Pharmacother. 2009 Jun;43(6):1139-42. doi: 10.1345/aph.1M008. Epub 2009 May 12.

引用本文的文献

1
Evaluation of topical 1% posaconazole therapy in refractory fungal keratitis.1%泊沙康唑局部治疗难治性真菌性角膜炎的评估
Indian J Ophthalmol. 2025 Jan 1;73(1):64-72. doi: 10.4103/IJO.IJO_1811_24. Epub 2024 Dec 23.
2
Recent Advances in Diagnosis and Treatment Approaches in Fungal Keratitis: A Narrative Review.真菌性角膜炎诊断与治疗方法的最新进展:一项叙述性综述
Microorganisms. 2024 Jan 13;12(1):161. doi: 10.3390/microorganisms12010161.
3
Fungal Keratitis: Diagnosis, Management, and Recent Advances.真菌性角膜炎:诊断、治疗及最新进展

本文引用的文献

1
Comparative evaluation of topical versus intrastromal voriconazole as an adjunct to natamycin in recalcitrant fungal keratitis.局部与基质内伏立康唑作为难治性真菌性角膜炎辅助治疗与那他霉素的比较评价。
Ophthalmology. 2013 Apr;120(4):677-81. doi: 10.1016/j.ophtha.2012.09.023. Epub 2012 Dec 12.
2
Comparison of natamycin and voriconazole for the treatment of fungal keratitis.那他霉素与伏立康唑治疗真菌性角膜炎的比较。
Arch Ophthalmol. 2010 Jun;128(6):672-8. doi: 10.1001/archophthalmol.2010.102.
3
Review of epidemiological features, microbiological diagnosis and treatment outcome of microbial keratitis: experience of over a decade.
Clin Ophthalmol. 2024 Jan 10;18:85-106. doi: 10.2147/OPTH.S447138. eCollection 2024.
4
Three cases of recalcitrant Paecilomyces keratitis in Southern California within a short period.南加州短期内出现3例难治性拟青霉角膜炎病例。
J Ophthalmic Inflamm Infect. 2024 Jan 4;14(1):1. doi: 10.1186/s12348-023-00380-z.
5
Managing Corneal Infections: Out with the old, in with the new?角膜感染的管理:弃旧迎新?
Antibiotics (Basel). 2023 Aug 18;12(8):1334. doi: 10.3390/antibiotics12081334.
6
Case Series of Rare Fungal Keratitides: Experiences from a Quaternary Eye Hospital in Sydney, Australia.罕见真菌性角膜炎病例系列:来自澳大利亚悉尼一家四级眼科医院的经验
J Fungi (Basel). 2023 May 18;9(5):589. doi: 10.3390/jof9050589.
7
Roles and Mechanisms of Regulated Necrosis in Corneal Diseases: Progress and Perspectives.角膜疾病中程序性坏死的作用及机制:进展与展望
J Ophthalmol. 2022 May 23;2022:2695212. doi: 10.1155/2022/2695212. eCollection 2022.
8
Clinical and Mycological Features of Fungal Keratitis: A Retrospective Single-Center Study (2012-2018).真菌性角膜炎的临床和真菌学特征:一项回顾性单中心研究(2012-2018 年)。
Turk J Ophthalmol. 2022 Apr 28;52(2):75-85. doi: 10.4274/tjo.galenos.2021.09515.
9
Keratitis-Review of Current Treatment Possibilities.角膜炎——当前治疗方法综述
J Clin Med. 2021 Nov 23;10(23):5468. doi: 10.3390/jcm10235468.
10
Recent Perspectives in the Management of Fungal Keratitis.真菌性角膜炎治疗的最新观点
J Fungi (Basel). 2021 Oct 26;7(11):907. doi: 10.3390/jof7110907.
微生物性角膜炎的流行病学特征、微生物学诊断和治疗结果回顾:十余年经验。
Indian J Ophthalmol. 2009 Jul-Aug;57(4):273-9. doi: 10.4103/0301-4738.53051.
4
Successful salvage treatment of Scedosporium apiospermum keratitis with topical voriconazole after failure of natamycin.在那他霉素治疗失败后,局部应用伏立康唑成功挽救治疗尖端赛多孢菌角膜炎。
Ann Pharmacother. 2009 Jun;43(6):1139-42. doi: 10.1345/aph.1M008. Epub 2009 May 12.
5
Recalcitrant Beauveria bassiana keratitis: confocal microscopy findings and treatment with posaconazole (Noxafil).顽固性球孢白僵菌角膜炎:共焦显微镜检查结果及泊沙康唑(诺科飞)治疗
Cornea. 2007 Sep;26(8):1008-10. doi: 10.1097/ICO.0b013e3180de4953.
6
Epidemiology and treatment of fungal corneal ulcers.真菌性角膜溃疡的流行病学与治疗
Int Ophthalmol Clin. 2007 Summer;47(3):7-16. doi: 10.1097/IIO.0b013e318074e727.
7
Successful treatment of resistant ocular fusariosis with posaconazole (SCH-56592).泊沙康唑(SCH-56592)成功治疗耐药性眼部镰刀菌病。
Am J Ophthalmol. 2007 Feb;143(2):222-227. doi: 10.1016/j.ajo.2006.10.048. Epub 2006 Dec 8.
8
Multistate outbreak of Fusarium keratitis associated with use of a contact lens solution.与使用隐形眼镜护理液相关的镰刀菌角膜炎多州暴发。
JAMA. 2006 Aug 23;296(8):953-63. doi: 10.1001/jama.296.8.953.
9
Outbreak of Fusarium keratitis in soft contact lens wearers in San Francisco.旧金山软性隐形眼镜佩戴者中镰刀菌角膜炎的爆发。
Arch Ophthalmol. 2006 Jul;124(7):1051-3. doi: 10.1001/archopht.124.7.ecr60006. Epub 2006 Jun 12.
10
Head-to-head comparison of the activities of currently available antifungal agents against 3,378 Spanish clinical isolates of yeasts and filamentous fungi.目前可用抗真菌药物对3378株西班牙临床分离酵母和丝状真菌活性的直接比较。
Antimicrob Agents Chemother. 2006 Mar;50(3):917-21. doi: 10.1128/AAC.50.3.917-921.2006.