Suppr超能文献

炎症状态下小鼠壁层腹膜微循环中的Syndecan-1

Syndecan-1 in the mouse parietal peritoneum microcirculation in inflammation.

作者信息

Kowalewska Paulina M, Patrick Amanda L, Fox-Robichaud Alison E

机构信息

Medical Sciences Graduate Program, McMaster University, Hamilton, ON, Canada.

Thrombosis and Atherosclerosis Research Institute and the Department of Medicine, McMaster University, Hamilton, ON, Canada.

出版信息

PLoS One. 2014 Sep 3;9(9):e104537. doi: 10.1371/journal.pone.0104537. eCollection 2014.

Abstract

BACKGROUND

The heparan sulfate proteoglycan syndecan-1 (CD138) was shown to regulate inflammatory responses by binding chemokines and cytokines and interacting with adhesion molecules, thereby modulating leukocyte trafficking to tissues. The objectives of this study were to examine the expression of syndecan-1 and its role in leukocyte recruitment and chemokine presentation in the microcirculation underlying the parietal peritoneum.

METHODS

Wild-type BALB/c and syndecan-1 null mice were stimulated with an intraperitoneal injection of Staphylococcus aureus LTA, Escherichia coli LPS or TNFα and the microcirculation of the parietal peritoneum was examined by intravital microscopy after 4 hours. Fluorescence confocal microscopy was used to examine syndecan-1 expression in the peritoneal microcirculation using fluorescent antibodies. Blocking antibodies to adhesion molecules were used to examine the role of these molecules in leukocyte-endothelial cell interactions in response to LTA. To determine whether syndecan-1 co-localizes with chemokines in vivo, fluorescent antibodies to syndecan-1 were co-injected intravenously with anti-MIP-2 (CXCL2), anti-KC (CXCL1) or anti-MCP-1 (CCL2).

RESULTS AND CONCLUSION

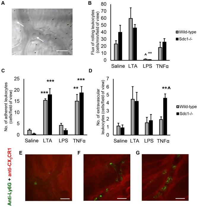
Syndecan-1 was localized to the subendothelial region of peritoneal venules and the mesothelial layer. Leukocyte rolling was significantly decreased with LPS treatment while LTA and TNFα significantly increased leukocyte adhesion compared with saline control. Leukocyte-endothelial cell interactions were not different in syndecan-1 null mice. Antibody blockade of β2 integrin (CD18), ICAM-1 (CD54) and VCAM-1 (CD106) did not decrease leukocyte adhesion in response to LTA challenge while blockade of P-selectin (CD62P) abrogated leukocyte rolling. Lastly, MIP-2 expression in the peritoneal venules was not dependent on syndecan-1 in vivo. Our data suggest that syndecan-1 is expressed in the parietal peritoneum microvasculature but does not regulate leukocyte recruitment and is not necessary for the presentation of the chemokine MIP-2 in this tissue.

摘要

背景

硫酸乙酰肝素蛋白聚糖Syndecan-1(CD138)已被证明可通过结合趋化因子和细胞因子以及与黏附分子相互作用来调节炎症反应,从而调节白细胞向组织的迁移。本研究的目的是检测Syndecan-1在壁腹膜下微循环中的表达及其在白细胞募集和趋化因子呈递中的作用。

方法

野生型BALB/c小鼠和Syndecan-1基因敲除小鼠经腹腔注射金黄色葡萄球菌LTA、大肠杆菌LPS或TNFα刺激,4小时后通过活体显微镜检查壁腹膜的微循环。使用荧光共聚焦显微镜,利用荧光抗体检测腹膜微循环中Syndecan-1的表达。使用黏附分子阻断抗体检测这些分子在LTA刺激下白细胞与内皮细胞相互作用中的作用。为了确定Syndecan-1在体内是否与趋化因子共定位,将Syndecan-1荧光抗体与抗MIP-2(CXCL2)、抗KC(CXCL1)或抗MCP-1(CCL2)静脉联合注射。

结果与结论

Syndecan-1定位于腹膜小静脉的内皮下区域和间皮细胞层。与生理盐水对照相比,LPS处理显著减少白细胞滚动,而LTA和TNFα显著增加白细胞黏附。Syndecan-1基因敲除小鼠的白细胞与内皮细胞相互作用无差异。β2整合素(CD18)、ICAM-1(CD54)和VCAM-1(CD106)的抗体阻断在LTA刺激下并未减少白细胞黏附,而P-选择素(CD62P)的阻断消除了白细胞滚动。最后,腹膜小静脉中MIP-2的表达在体内不依赖于Syndecan-1。我们的数据表明,Syndecan-1在壁腹膜微血管中表达,但不调节白细胞募集,且在该组织中趋化因子MIP-2的呈递中并非必需。

https://cdn.ncbi.nlm.nih.gov/pmc/blobs/6628/4153572/b79c94470487/pone.0104537.g001.jpg

文献AI研究员

20分钟写一篇综述,助力文献阅读效率提升50倍。

立即体验

用中文搜PubMed

大模型驱动的PubMed中文搜索引擎

马上搜索

文档翻译

学术文献翻译模型,支持多种主流文档格式。

立即体验