Suppr超能文献

三阴性乳腺癌中肿瘤相关巨噬细胞的高浸润与远处转移的风险增加相关。

High infiltration of tumor-associated macrophages in triple-negative breast cancer is associated with a higher risk of distant metastasis.

机构信息

State Key Laboratory of Oncology in South China, Sun Yat-Sen University Cancer Center, Guangzhou, People's Republic of China ; Collaborative Innovation Center for Cancer Medicine, Sun Yat-Sen University Cancer Center, Guangzhou, People's Republic of China ; Departments of Medical Oncology, Sun Yat-Sen University Cancer Center, Guangzhou, People's Republic of China.

State Key Laboratory of Oncology in South China, Sun Yat-Sen University Cancer Center, Guangzhou, People's Republic of China ; Collaborative Innovation Center for Cancer Medicine, Sun Yat-Sen University Cancer Center, Guangzhou, People's Republic of China ; Departments of Pathology, Sun Yat-Sen University Cancer Center, Guangzhou, People's Republic of China.

出版信息

Onco Targets Ther. 2014 Aug 21;7:1475-80. doi: 10.2147/OTT.S61838. eCollection 2014.

Abstract

BACKGROUND

Triple-negative breast cancer (TNBC) is associated with poor prognosis and high probability of distant metastases. Tumor microenvironments play a pivotal role in tumor metastasis. Tumor-associated macrophages (TAMs) are one of the main cell components, and they are correlated with increasing metastatic risk. The aim of this study is to analyze the prognostic significance of the infiltration of TAMs in patients with TNBC.

MATERIALS AND METHODS

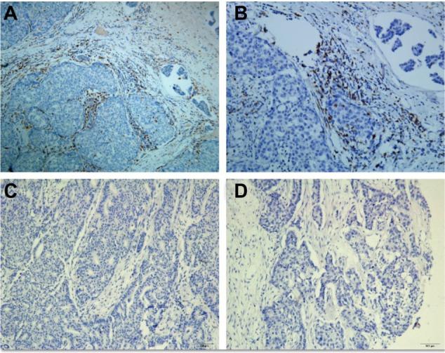
Immunohistochemical staining for cluster of differentiation (CD)68 (a marker for macrophages) was performed on tissue microarrays of operable breast cancer among 287 patients with TNBC, and the number of infiltrating TAMs was correlated with clinicopathological parameters.

RESULTS

We found that TNBC with a large number of infiltrating TAMs had a significantly higher risk of distant metastasis, as well as lower rates of disease-free survival and overall survival than those with a smaller number of infiltrating TAMs. Multivariate analysis indicated that the number of infiltrating TAMs was a significant independent prognostic factor of disease-free survival (P=0.001) in all patients.

CONCLUSION

Our results suggested that high infiltrating TAMs are a significantly unfavorable prognostic factor for patients with TNBC, and they could become a potentially useful prognostic marker for TNBC.

摘要

背景

三阴性乳腺癌(TNBC)与预后不良和远处转移的高概率相关。肿瘤微环境在肿瘤转移中起着关键作用。肿瘤相关巨噬细胞(TAMs)是主要的细胞成分之一,与转移风险的增加相关。本研究旨在分析 TAMs 浸润在 TNBC 患者中的预后意义。

材料和方法

对 287 例 TNBC 可手术乳腺癌的组织微阵列进行 CD68(巨噬细胞标志物)免疫组织化学染色,将浸润 TAMs 的数量与临床病理参数相关联。

结果

我们发现,浸润大量 TAMs 的 TNBC 患者发生远处转移的风险显著更高,且无病生存率和总生存率均低于浸润少量 TAMs 的患者。多变量分析表明,浸润 TAMs 的数量是所有患者无病生存率的显著独立预后因素(P=0.001)。

结论

我们的结果表明,高浸润 TAMs 是 TNBC 患者预后不良的显著因素,可能成为 TNBC 有潜力的预后标志物。

https://cdn.ncbi.nlm.nih.gov/pmc/blobs/20b3/4149399/e1aeb29baf71/ott-7-1475Fig1.jpg

文献AI研究员

20分钟写一篇综述,助力文献阅读效率提升50倍。

立即体验

用中文搜PubMed

大模型驱动的PubMed中文搜索引擎

马上搜索

文档翻译

学术文献翻译模型,支持多种主流文档格式。

立即体验