Suppr超能文献

PIWIL2通过与NME2相互作用诱导c-Myc表达,并调节c-Myc介导的肿瘤细胞增殖。

PIWIL2 induces c-Myc expression by interacting with NME2 and regulates c-Myc-mediated tumor cell proliferation.

作者信息

Yao Youlin, Li Chao, Zhou Xiaoyan, Zhang Yu, Lu Yilu, Chen Jianhui, Zheng Xulei, Tao Dachang, Liu Yunqiang, Ma Yongxin

机构信息

Department of Medical Genetics, State Key Laboratory of Biotherapy, West China Hospital, Sichuan University, Chengdu, China;

Department of Medical Genetics, State Key Laboratory of Biotherapy, West China Hospital, Sichuan University, Chengdu, China.

出版信息

Oncotarget. 2014 Sep 30;5(18):8466-77. doi: 10.18632/oncotarget.2327.

Abstract

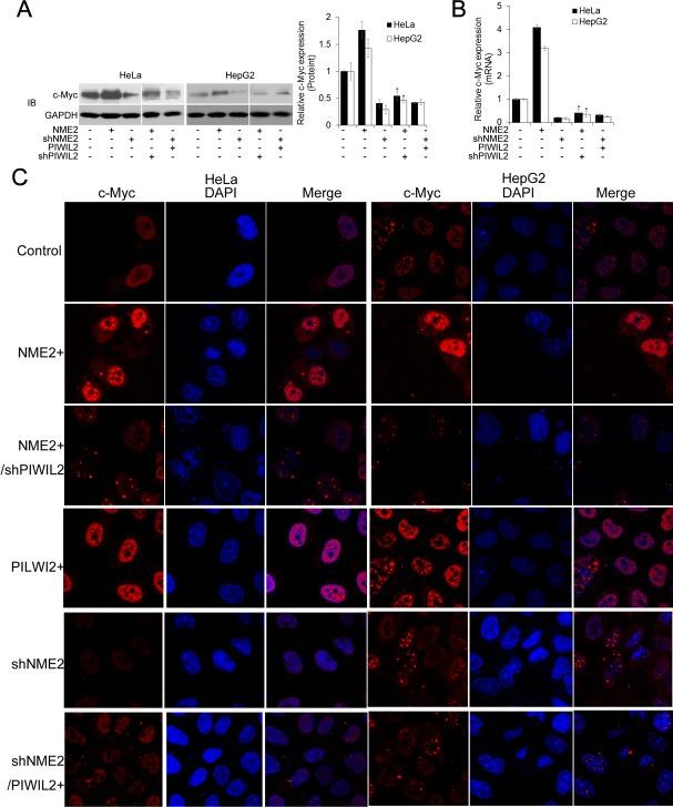
c-Myc serves as a crucial regulator in multiple cellular events. Cumulative evidences demonstrate that anomalous c-Myc overexpression correlates with proliferation, invasion and metastasis in various human tumors. However, the transcriptionally activating mechanisms responsible for c-Myc overexpression are complex and continue to be intangible. Here we showed that Piwi-Like RNA-Mediated Gene Silencing 2 (PIWIL2) can upregulate c-Myc via binding with NME/NM23 nucleoside diphosphate kinase 2 (NME2). PIWIL2 promotes c-Myc transcription by interacting with and facilitating NME2 to bind to G4-motif region within c-Myc promoter. Interestingly, in a c-Myc-mediated manner, PIWIL2 upregulates RhoA, which in turn induces filamentary F-actin. Deficiency of PIWIL2 results in obstacle for c-Myc expression, cell cycle progress and cell proliferation. Taken together, our present work demonstrates that PIWIL2 modulates tumor cell proliferation and F-actin filaments via promoting c-Myc expression.

摘要

c-Myc在多种细胞事件中起着关键调节作用。越来越多的证据表明,异常的c-Myc过表达与多种人类肿瘤的增殖、侵袭和转移相关。然而,导致c-Myc过表达的转录激活机制复杂且仍不清楚。在此,我们发现PIWI样RNA介导的基因沉默2(PIWIL2)可通过与NME/NM23核苷二磷酸激酶2(NME2)结合上调c-Myc。PIWIL2通过与NME2相互作用并促进其结合到c-Myc启动子内的G4基序区域来促进c-Myc转录。有趣的是,PIWIL2以c-Myc介导的方式上调RhoA,进而诱导丝状F-肌动蛋白。PIWIL2的缺失导致c-Myc表达、细胞周期进程和细胞增殖受阻。综上所述,我们目前的工作表明PIWIL2通过促进c-Myc表达来调节肿瘤细胞增殖和F-肌动蛋白丝。

https://cdn.ncbi.nlm.nih.gov/pmc/blobs/6a67/4226697/5ab6180c8b0b/oncotarget-05-8466-g001.jpg

文献AI研究员

20分钟写一篇综述,助力文献阅读效率提升50倍。

立即体验

用中文搜PubMed

大模型驱动的PubMed中文搜索引擎

马上搜索

文档翻译

学术文献翻译模型,支持多种主流文档格式。

立即体验