Suppr超能文献

Management of pigmented gingiva in child patient: a new era to the pediatric dentistry.

作者信息

Namdeoraoji Bahadure Rakesh, Singh Parul, Jain Eesha, Khurana Heena, Badole Gautam

机构信息

Lecturer, Department of Pedodontics and Preventive Dentistry, Sharad Pawar Dental College, Wardha, Maharashtra, India, e-mail:

Lecturer, Department of Pedodontics and Preventive Dentistry, FODS Chhatrapati Shahuji Maharaj Medical University, Lucknow, Uttar Pradesh, India.

出版信息

Int J Clin Pediatr Dent. 2013 Sep;6(3):197-200. doi: 10.5005/jp-journals-10005-1218. Epub 2013 Oct 14.

Abstract

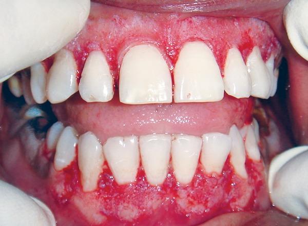
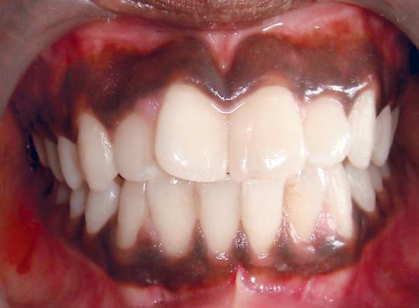
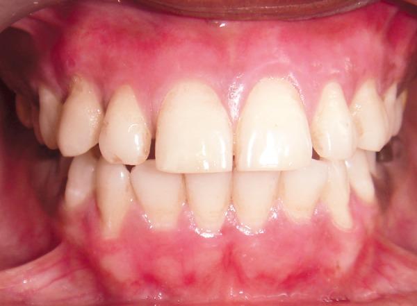
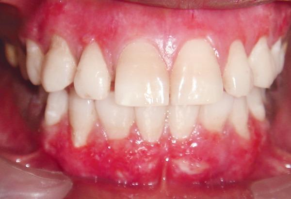
Gingival health in the form of size, shape, consistency and appearance are essential components responsible for an attractive smile as well as may cause unpleasant appearance. Melanin pigmentation often occurs in the gingiva as a result of an abnormal deposition of melanin which can compromise the confidence level from the age of childhood. The present article describes and discusses the two cases of gingival melanin pigmentation in 12 and 13 years of female patient and their early surgical intervention with successful follow-up of 9 and 6 months. Patients were instructed to prevent sun exposure, intake of hot foods or beverages like cold drinks, tea, coffee and brushing immediately after surgery. How to cite this article: Bahadure RN, Singh P, Jain E, Khurana H, Badole G. Management of Pigmented Gingiva in Child Patient: A New Era to the Pediatric Dentistry. Int J Clin Pediatr Dent 2013;6(3):197-200.

摘要
https://cdn.ncbi.nlm.nih.gov/pmc/blobs/5974/4086607/b7da73710cda/ijcpd-06-197-g001.jpg

文献AI研究员

20分钟写一篇综述,助力文献阅读效率提升50倍。

立即体验

用中文搜PubMed

大模型驱动的PubMed中文搜索引擎

马上搜索

文档翻译

学术文献翻译模型,支持多种主流文档格式。

立即体验