Suppr超能文献

Aggressive Angiomyxoma of the Pelvis with a Cellular Nodule Composed of Tumor Cells showing Epithelioid Features.

作者信息

Tajima Shogo, Kohashi Kenichi, Fan Bo, Doi Wataru, Kimura Ryosuke, Tamura Yoshihiro, Abe Hirokazu, Oda Yoshinao

机构信息

Department of Pathology, Shizuoka Saiseikai General Hospital , Shizuoka.

Department of Anatomic Pathology, Graduate School of Medical Sciences, Kyushu University , Fukuoka.

出版信息

Rare Tumors. 2014 Aug 4;6(3):5397. doi: 10.4081/rt.2014.5397. eCollection 2014 Jul 30.

Abstract

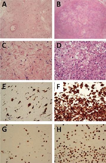
A 49-year-old female presented with an aggressive pelvic angiomyxoma (AAM). The completely resected specimen revealed the usual myxedematous tumor with a nodule inside it. Histopathologically, the myxedematous area consisted of bland spindle-shaped cells in the background of blood vessels of varying calibers, and the nodule was composed of tumor cells with epithelioid features. In the nodule, cellularity was increased and nuclear enlargement was observed, but nuclear atypia was not significant and mitotic figures were scarce. Immunohistochemically, both components were positive for desim, αSMA, estrogen receptors, and progesterone receptors. However, they were negative for AE1/3, EMA, S100, CD34, HMB45, and Melan A. The MIB-1 labeling index was 5.8% in the nodule and 1ess than 1% outside it. The nodule was therefore considered a benign component of AAM. To the best of our knowledge, the presence of such a nodule in AAM has not been reported previously.

摘要
https://cdn.ncbi.nlm.nih.gov/pmc/blobs/087d/4178276/9e73ebbc802e/rt-2014-3-5397-g001.jpg

文献AI研究员

20分钟写一篇综述,助力文献阅读效率提升50倍。

立即体验

用中文搜PubMed

大模型驱动的PubMed中文搜索引擎

马上搜索

文档翻译

学术文献翻译模型,支持多种主流文档格式。

立即体验