Suppr超能文献

体外互补试验的证据表明,U5 小核核糖核蛋白(snRNP)是 mRNA 剪接两个步骤所必需的。

Evidence from complementation assays in vitro that U5 snRNP is required for both steps of mRNA splicing.

作者信息

Winkelmann G, Bach M, Lührmann R

机构信息

Max-Planck-Institut für Molekulare Genetik, Otto-Warburg-Laboratorium, Berlin, FRG.

出版信息

EMBO J. 1989 Oct;8(10):3105-12. doi: 10.1002/j.1460-2075.1989.tb08462.x.

Abstract

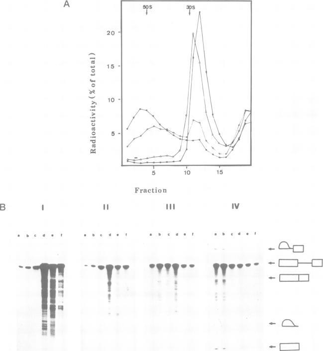
We have established an in vitro complementation system that has allowed us to investigate the role of individual purified snRNPs in the splicing of pre-mRNA molecules. For the preparation of snRNP-depleted nuclear extracts we have first removed the majority of endogenous snRNPs from the nuclear extracts by one passage over an anti-m3G column and then degraded the remaining snRNPs with micrococcal nuclease. The mixture of snRNPs U1, U2, U4/U6 and U5, obtained by anti-m3G immuno-affinity chromatography, was functionally active and able to restore the splicing of snRNP-depleted nuclear extracts. Mono-Q chromatography was used for further fractionation of the snRNPs U1-U6. This produced three fractions that were highly enriched in snRNPs U1 and U2, U5 and U4/U6 respectively. Conditions were found where addition of the [U1, U2] and the U4/U6 snRNP fractions to the snRNP-depleted nuclear extracts gave rise to the formation of splice intermediates in the absence of any 3' cleavage/exon 1-exon 2 product formation. Only when purified 20S U5 snRNPs were added did both steps of the splicing reaction occur efficiently. Our data suggest that U5 snRNP is absolutely required for the second step of splicing and is needed further for efficient initiation of the splicing reaction. The requirement for U5 snRNPs for splicing was corroborated by glycerol gradient sedimentation analysis of the respective reconstituted pre-mRNP complexes. Stable and efficient formation of 50-60S spliceosomes was observed only in the presence of all snRNPs.

摘要

我们建立了一个体外互补系统,该系统使我们能够研究单个纯化的小核核糖核蛋白(snRNP)在mRNA前体(pre-mRNA)分子剪接中的作用。为了制备去除snRNP的核提取物,我们首先通过在抗m3G柱上进行一次过柱,从核提取物中去除了大部分内源性snRNP,然后用微球菌核酸酶降解剩余的snRNP。通过抗m3G免疫亲和层析获得的snRNP U1、U2、U4/U6混合物具有功能活性,能够恢复去除snRNP的核提取物的剪接。使用单Q层析对snRNP U1-U6进行进一步分级分离。这产生了三个级分,分别高度富集snRNP U1和U2、U5以及U4/U6。我们发现,在去除snRNP的核提取物中添加[U1,U2]和U4/U6 snRNP级分的条件下,在没有任何3'切割/外显子1-外显子2产物形成的情况下会形成剪接中间体。只有当添加纯化的20S U5 snRNP时,剪接反应的两个步骤才会有效发生。我们的数据表明,U5 snRNP对于剪接的第二步是绝对必需的,并且对于剪接反应的有效起始也是进一步需要的。通过对各自重构的前体mRNA-核糖核蛋白复合物进行甘油梯度沉降分析证实了剪接对U5 snRNP的需求。仅在所有snRNP都存在的情况下,才观察到50-60S剪接体的稳定和有效形成。

https://cdn.ncbi.nlm.nih.gov/pmc/blobs/4b30/401390/a1643f0b1dd5/emboj00134-0319-a.jpg

文献检索

告别复杂PubMed语法,用中文像聊天一样搜索,搜遍4000万医学文献。AI智能推荐,让科研检索更轻松。

立即免费搜索

文件翻译

保留排版,准确专业,支持PDF/Word/PPT等文件格式,支持 12+语言互译。

免费翻译文档

深度研究

AI帮你快速写综述,25分钟生成高质量综述,智能提取关键信息,辅助科研写作。

立即免费体验