Suppr超能文献

巨大无功能肾上腺皮质癌:一例报告并文献复习

Giant nonfunctioning adrenocortical carcinoma: a case report and review of the literature.

作者信息

Almarzouq Ahmad, Asfar Sami, Hussain Sundus, Al-Hunayan Adel, Aldousari Saad

机构信息

Urology Unit, Department of Surgery, Faculty of Medicine, Kuwait University, PO Box 24923, Safat 13110, Kuwait.

出版信息

BMC Res Notes. 2014 Oct 31;7:769. doi: 10.1186/1756-0500-7-769.

Abstract

BACKGROUND

Adrenocortical carcinoma is a rare and aggressive malignancy. Patients usually present early with manifestation of abnormal hormone secretion. However, adrenocortical carcinoma can also be nonfunctioning, and such patients present late with a mass effect or distant metastases.

CASE PRESENTATION

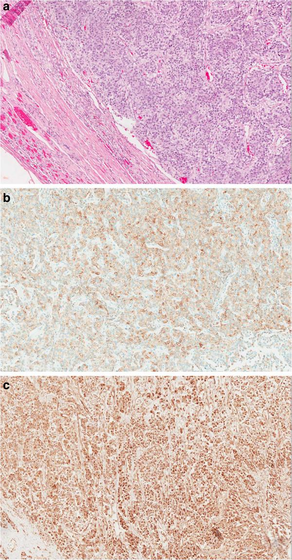
We herein report a case of a 30-year-old Sri-Lankan woman who presented with a 3-month history of left flank pain associated with nausea, vomiting, and weight loss. Imaging revealed a large left upper quadrant mass with a 1.8-cm left lung nodule. The differential diagnoses included a left adrenal mass, left upper pole renal mass, and retroperitoneal sarcoma. A functional adrenal work-up revealed no abnormal findings. Surgical excision of the mass was uneventful with no postoperative complications. Pathological analysis revealed a nonfunctioning adrenocortical carcinoma measuring 16 × 14 × 10 cm. To our knowledge, a mass of this size is among the largest nonfunctioning adrenocortical carcinomas reported in the published literature. The investigations and approach to treatment were consistent with those in the published literature.

CONCLUSION

Large nonfunctioning adrenocortical carcinomas pose a diagnostic and therapeutic challenge, and most are diagnosed at a late stage. Appropriate imaging and functional work-up of the mass are vital before treatment. Surgical excision is safe, even for large adrenocortical carcinomas; excision in patients with advanced disease has been shown to have the best outcomes.

摘要

背景

肾上腺皮质癌是一种罕见的侵袭性恶性肿瘤。患者通常早期表现为激素分泌异常。然而,肾上腺皮质癌也可能无功能,此类患者晚期表现为占位效应或远处转移。

病例报告

我们在此报告一例30岁的斯里兰卡女性患者,她有3个月的左侧胁腹疼痛病史,伴有恶心、呕吐和体重减轻。影像学检查发现左上腹有一个大肿块,左肺有一个1.8厘米的结节。鉴别诊断包括左肾上腺肿块、左肾上极肿块和腹膜后肉瘤。肾上腺功能检查未发现异常。肿块手术切除过程顺利,无术后并发症。病理分析显示为一个无功能的肾上腺皮质癌,大小为16×14×10厘米。据我们所知,这么大尺寸的肿块是已发表文献中报道的最大的无功能肾上腺皮质癌之一。检查和治疗方法与已发表文献一致。

结论

巨大无功能肾上腺皮质癌带来诊断和治疗挑战,大多数在晚期才被诊断出来。在治疗前,对肿块进行适当的影像学检查和功能评估至关重要。手术切除是安全的,即使对于巨大肾上腺皮质癌也是如此;对晚期疾病患者进行切除已显示出最佳效果。

https://cdn.ncbi.nlm.nih.gov/pmc/blobs/24b8/4223740/932e9a9110cc/13104_2014_3289_Fig1_HTML.jpg

文献AI研究员

20分钟写一篇综述,助力文献阅读效率提升50倍。

立即体验

用中文搜PubMed

大模型驱动的PubMed中文搜索引擎

马上搜索

文档翻译

学术文献翻译模型,支持多种主流文档格式。

立即体验