Suppr超能文献

磁铁矿纳米颗粒抑制艾氏实体癌荷瘤小鼠的肿瘤生长并上调p53/p16的表达。

Magnetite nanoparticles inhibit tumor growth and upregulate the expression of p53/p16 in Ehrlich solid carcinoma bearing mice.

作者信息

Bassiony Heba, Sabet Salwa, Salah El-Din Taher A, Mohamed Mona M, El-Ghor Akmal A

机构信息

Department of Zoology, Faculty of Science, Cairo University, Giza, Egypt.

Nanotechnology & Advanced Materials Central Lab, Agriculture Research Center, Giza, Egypt.

出版信息

PLoS One. 2014 Nov 6;9(11):e111960. doi: 10.1371/journal.pone.0111960. eCollection 2014.

Abstract

BACKGROUND

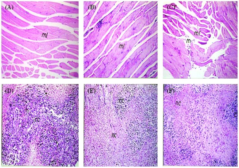
Magnetite nanoparticles (MNPs) have been widely used as contrast agents and have promising approaches in cancer treatment. In the present study we used Ehrlich solid carcinoma (ESC) bearing mice as a model to investigate MNPs antitumor activity, their effect on expression of p53 and p16 genes as an indicator for apoptotic induction in tumor tissues.

METHOD

MNPs coated with ascorbic acid (size: 25.0±5.0 nm) were synthesized by co-precipitation method and characterized. Ehrlich mice model were treated with MNPs using 60 mg/Kg day by day for 14 injections; intratumorally (IT) or intraperitoneally (IP). Tumor size, pathological changes and iron content in tumor and normal muscle tissues were assessed. We also assessed changes in expression levels of p53 and p16 genes in addition to p53 protein level by immunohistochemistry.

RESULTS

Our results revealed that tumor growth was significantly reduced by IT and IP MNPs injection compared to untreated tumor. A significant increase in p53 and p16 mRNA expression was detected in Ehrlich solid tumors of IT and IP treated groups compared to untreated Ehrlich solid tumor. This increase was accompanied with increase in p53 protein expression. It is worth mentioning that no significant difference in expression of p53 and p16 could be detected between IT ESC and control group.

CONCLUSION

MNPs might be more effective in breast cancer treatment if injected intratumorally to be directed to the tumor tissues.

摘要

背景

磁铁矿纳米颗粒(MNPs)已被广泛用作造影剂,并且在癌症治疗方面有着广阔的应用前景。在本研究中,我们以荷艾氏实体癌(ESC)小鼠为模型,研究MNPs的抗肿瘤活性,以及它们对p53和p16基因表达的影响,以此作为肿瘤组织中凋亡诱导的指标。

方法

采用共沉淀法合成了包覆抗坏血酸的MNPs(尺寸:25.0±5.0纳米)并进行了表征。对艾氏小鼠模型每天以60毫克/千克的剂量注射MNPs,共注射14次;注射途径为瘤内(IT)或腹腔内(IP)。评估肿瘤大小、病理变化以及肿瘤和正常肌肉组织中的铁含量。我们还通过免疫组织化学评估了p53和p16基因表达水平以及p53蛋白水平的变化。

结果

我们的结果显示,与未治疗的肿瘤相比,IT和IP注射MNPs可显著抑制肿瘤生长。与未治疗的艾氏实体瘤相比,IT和IP治疗组的艾氏实体瘤中p53和p16 mRNA表达显著增加。这种增加伴随着p53蛋白表达的增加。值得一提的是,IT ESC组和对照组之间p53和p16的表达没有显著差异。

结论

如果瘤内注射MNPs使其靶向肿瘤组织,那么MNPs在乳腺癌治疗中可能更有效。

https://cdn.ncbi.nlm.nih.gov/pmc/blobs/148d/4222961/af1a2c02d740/pone.0111960.g001.jpg

文献AI研究员

20分钟写一篇综述,助力文献阅读效率提升50倍。

立即体验

用中文搜PubMed

大模型驱动的PubMed中文搜索引擎

马上搜索

文档翻译

学术文献翻译模型,支持多种主流文档格式。

立即体验