Green L S, Laudenbach D E, Grossman A R
Division of Molecular Plant Biology, University of California, Berkeley 94720.
Proc Natl Acad Sci U S A. 1989 Mar;86(6):1949-53. doi: 10.1073/pnas.86.6.1949.
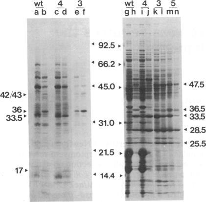
Using the cysA locus of Salmonella typhimurium as a heterologous probe, we have cloned a region of the Anacystis nidulans R2 (Synechococcus PCC 7942) genome involved in sulfate assimilation. The 8.3-kilobase-pair region encodes at least five transcripts that cannot be detected unless the cells are deprived of sulfur. One of the genes in this region has been sequenced, and the protein that it encodes is homologous to a polypeptide component of other permease systems of Escherichia coli and Salmonella. Insertional inactivation of the putative sulfate permease gene, designated cysA, as well as of other genes within this region, results in cysteine auxotrophy, reduced sulfate uptake, and altered expression of soluble and cytoplasmic-membrane polypeptides associated with sulfur starvation.
利用鼠伤寒沙门氏菌的cysA基因座作为异源探针,我们克隆了集胞藻6803(聚球藻PCC 7942)基因组中参与硫酸盐同化的一个区域。这个8.3千碱基对的区域编码至少五种转录本,除非细胞被剥夺硫,否则无法检测到这些转录本。该区域中的一个基因已被测序,其编码的蛋白质与大肠杆菌和沙门氏菌其他通透酶系统的一种多肽成分同源。假定的硫酸盐通透酶基因(命名为cysA)以及该区域内的其他基因的插入失活,导致半胱氨酸营养缺陷、硫酸盐摄取减少,以及与硫饥饿相关的可溶性和细胞质膜多肽的表达改变。