Suppr超能文献

超声弹性成像——慢性炎症患者腮腺超声评估的有用辅助手段。

Sonoelastography--a useful adjunct for parotid gland ultrasound assessment in patients suffering from chronic inflammation.

作者信息

Wierzbicka Małgorzata, Kałużny Jarosław, Ruchała Marek, Stajgis Marek, Kopeć Tomasz, Szyfter Witold

机构信息

Department of Otolaryngology, Head and Neck Surgery, Poznań University of Medical Sciences, Poznań, Poland.

Department of Endocrinology, Metabolism and Internal Medicine, Poznań University of Medical Sciences, Poznań, Poland.

出版信息

Med Sci Monit. 2014 Nov 15;20:2311-7. doi: 10.12659/MSM.890678.

Abstract

BACKGROUND

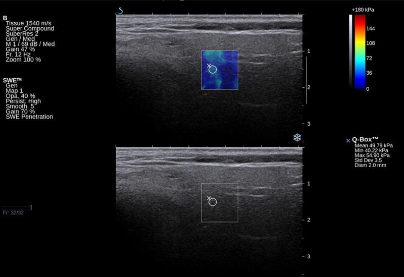
Shear wave elastography (SWE) is widely used in breast, liver, prostate and thyroid evaluations. Elastography provides additional information if used to assess parotid gland pathology. We assessed parotid glands by means of SWE to compare the parenchyma properties in different types of inflammation.

MATERIAL/METHODS: Prospective analysis included 78 consecutive patients with parotid gland pathology: sialolithiasis (33), Stensen's duct stenosis (15), chronic inflammation (10), and primary Sjögren syndrome (pSS) (20) treated at the Department of Otolaryngology, Head and Neck Surgery of PUMS. The primary predictor variable was type of parotid pathology, and secondary predictor variables were patient age and the duration and intensity of complaints. Ultrasound pictures were compared with elastography values of parotid parenchyma.

RESULTS

Mean elasticity values for pSS (111 Kilopascals (kPa), Stensen's duct stenosis (63 kPa), sialolithiasis (82 kPa), and chronic inflammation (77 kPa) were significantly higher than the mean value for healthy patients (24 kPa). Elasticity increased proportionally to the intensity of complaints: mild (51 kPa), moderate (78 kPa), and strong (90 kPa). Increased elasticity did not correspond with ultrasonographic pictures. In pSS the parenchyma was almost twice as stiff as in chronic inflammation (p=0.02), although subjective complaints were mostly mild or moderate, and the ultrasonographic picture did not present features of fibrosis.

CONCLUSIONS

Sonoelastography, by improving routine ultrasonographic assessment, might be a useful tool for parotid evaluations during the course of chronic inflammation. An extraordinarily high degree of stiffness was revealed in pSS despite lack of fibrosis by ultrasonography and moderate subjective complaints, suggesting that sonoelastography could be a valuable diagnostic tool.

摘要

背景

剪切波弹性成像(SWE)广泛应用于乳腺、肝脏、前列腺和甲状腺的评估。如果用于评估腮腺病变,弹性成像可提供额外信息。我们通过SWE评估腮腺,以比较不同类型炎症中的实质特性。

材料/方法:前瞻性分析纳入了78例连续的腮腺病变患者,这些患者在PUMS头颈外科耳鼻喉科接受治疗,其中包括涎石病(33例)、腮腺导管狭窄(15例)、慢性炎症(10例)和原发性干燥综合征(pSS)(20例)。主要预测变量是腮腺病变类型,次要预测变量是患者年龄、症状持续时间和强度。将超声图像与腮腺实质的弹性成像值进行比较。

结果

pSS的平均弹性值(111千帕斯卡(kPa))、腮腺导管狭窄(63 kPa))、涎石病(82 kPa))和慢性炎症(77 kPa))显著高于健康患者的平均值(24 kPa)。弹性与症状强度成比例增加:轻度(51 kPa)、中度(78 kPa)和重度(90 kPa)。弹性增加与超声图像不相符。在pSS中,实质硬度几乎是慢性炎症的两倍(p = 0.02),尽管主观症状大多为轻度或中度,且超声图像未显示纤维化特征。

结论

超声弹性成像通过改进常规超声评估,可能是慢性炎症过程中腮腺评估的有用工具。尽管超声检查未发现纤维化且主观症状为中度,但pSS中显示出极高的硬度,这表明超声弹性成像可能是一种有价值的诊断工具。

https://cdn.ncbi.nlm.nih.gov/pmc/blobs/31ea/4245104/24a38c2246cf/medscimonit-20-2311-g001.jpg

文献AI研究员

20分钟写一篇综述,助力文献阅读效率提升50倍。

立即体验

用中文搜PubMed

大模型驱动的PubMed中文搜索引擎

马上搜索

文档翻译

学术文献翻译模型,支持多种主流文档格式。

立即体验