Suppr超能文献

负责不健康食物决策的神经系统子系统之间的动态变化。

Altered dynamics between neural systems sub-serving decisions for unhealthy food.

作者信息

He Qinghua, Xiao Lin, Xue Gui, Wong Savio, Ames Susan L, Xie Bin, Bechara Antoine

机构信息

Faculty of Psychology, Southwest University Chongqing, China ; Department of Psychology and Brain and Creativity Institute, University of Southern California Los Angeles, CA, USA.

Department of Psychology and Brain and Creativity Institute, University of Southern California Los Angeles, CA, USA.

出版信息

Front Neurosci. 2014 Nov 4;8:350. doi: 10.3389/fnins.2014.00350. eCollection 2014.

Abstract

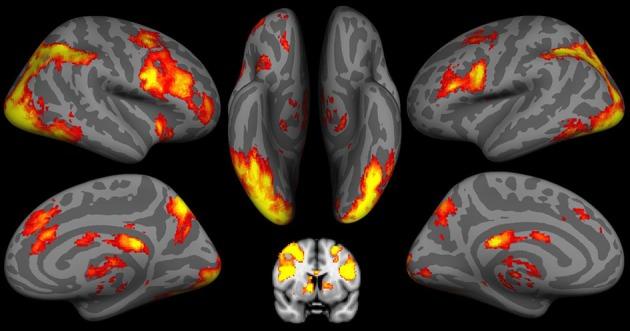
Using BOLD functional magnetic resonance imaging (fMRI) techniques, we examined the relationships between activities in the neural systems elicited by the decision stage of the Iowa Gambling Task (IGT), and food choices of either vegetables or snacks high in fat and sugar. Twenty-three healthy normal weight adolescents and young adults, ranging in age from 14 to 21, were studied. Neural systems implicated in decision-making and inhibitory control were engaged by having participants perform the IGT during fMRI scanning. The Youth/Adolescent Questionnaire, a food frequency questionnaire, was used to obtain daily food choices. Higher consumption of vegetables correlated with higher activity in prefrontal cortical regions, namely the left superior frontal gyrus (SFG), and lower activity in sub-cortical regions, namely the right insular cortex. In contrast, higher consumption of fatty and sugary snacks correlated with lower activity in the prefrontal regions, combined with higher activity in the sub-cortical, insular cortex. These results provide preliminary support for our hypotheses that unhealthy food choices in real life are reflected by neuronal changes in key neural systems involved in habits, decision-making and self-control processes. These findings have implications for the creation of decision-making based intervention strategies that promote healthier eating.

摘要

我们运用功能磁共振成像(fMRI)的BOLD技术,研究了爱荷华赌博任务(IGT)决策阶段引发的神经系统活动与蔬菜或高脂肪高糖零食的食物选择之间的关系。我们对23名年龄在14至21岁之间的健康正常体重青少年和青年进行了研究。在fMRI扫描期间,让参与者执行IGT,从而使涉及决策和抑制控制的神经系统被激活。使用青少年食物频率问卷来获取日常食物选择。蔬菜摄入量较高与前额叶皮质区域(即左侧额上回,SFG)的较高活动以及皮质下区域(即右侧岛叶皮质)的较低活动相关。相反,高脂肪和高糖零食的较高摄入量与前额叶区域的较低活动以及皮质下岛叶皮质的较高活动相关。这些结果为我们的假设提供了初步支持,即现实生活中不健康的食物选择通过参与习惯、决策和自我控制过程的关键神经系统中的神经元变化得以体现。这些发现对于制定促进更健康饮食的基于决策的干预策略具有启示意义。

https://cdn.ncbi.nlm.nih.gov/pmc/blobs/1105/4220120/e982111e3e39/fnins-08-00350-g0001.jpg

文献AI研究员

20分钟写一篇综述,助力文献阅读效率提升50倍。

立即体验

用中文搜PubMed

大模型驱动的PubMed中文搜索引擎

马上搜索

文档翻译

学术文献翻译模型,支持多种主流文档格式。

立即体验