Tsao Cheng-Ming, Li Kai-Yi, Chen Shiu-Jen, Ka Shuk-Man, Liaw Wen-Jinn, Huang Hsieh-Chou, Wu Chin-Chen
Department of Anesthesiology, Taipei Veterans General Hospital and National Yang-Ming University, Taipei, Taiwan.
Department of Anesthesiology, Tri-Service General Hospital, National Defence Medical Centre, Taipei, Taiwan.
Crit Care. 2014 Nov 29;18(6):652. doi: 10.1186/s13054-014-0652-4.
The aim of this study was to investigate the effects of levosimendan on rodent septic shock induced by cecal ligation and puncture (CLP).
Three hours after peritonitis-induced sepsis, male Wistar rats were randomly assigned to receive an intravenous infusion of levosimendan (1.2 μg/kg/min for 10 min and then 0.3 μg/kg/min for 6 h) or an equivalent volume of saline and vehicle (5% dextrose) solution.
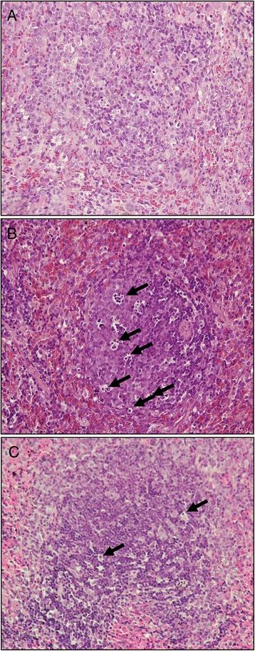
The levosimendan-treated CLP animals had significantly higher arterial pressure and lower biochemical indices of liver and kidney dysfunction compared to the CLP animals (P < 0.05). Plasma interleukin-1β, nitric oxide and organ superoxide levels in the levosimendan-treated CLP group were less than those in CLP rats treated with vehicle (P < 0.05). In addition, the inducible nitric oxide synthase (iNOS) in lung and caspase-3 expressions in spleen were significantly lower in the levosimendan-treated CLP group (P < 0.05). The administration of CLP rats with levosimendan was associated with significantly higher survival (61.9% vs. 40% at 18 h after CLP, P < 0.05). At postmortem examination, the histological changes and neutrophil filtration index in liver and lung were significantly attenuated in the levosimendan-treated CLP group (vs. CLP group, P < 0.05).
In this clinically relevant model of septic shock induced by fecal peritonitis, the administration of levosimendan had beneficial effects on haemodynamic variables, liver and kidney dysfunction, and metabolic acidosis. (1) Lower levels of interleukin-1β, nitric oxide and superoxide, (2) attenuation of iNOS and caspase-3 expressions, and (3) decreases of neutrophil infiltration by levosimendan in peritonitis-induced sepsis animals suggest that anti-inflammation and anti-apoptosis effects of levosimendan contribute to prolonged survival.
本研究旨在探讨左西孟旦对盲肠结扎穿孔(CLP)诱导的啮齿动物脓毒症休克的影响。
在诱导腹膜炎性脓毒症3小时后,将雄性Wistar大鼠随机分为两组,分别接受静脉输注左西孟旦(1.2μg/kg/min,持续10分钟,然后0.3μg/kg/min,持续6小时)或等量的生理盐水和溶媒(5%葡萄糖)溶液。
与CLP组动物相比,接受左西孟旦治疗的CLP动物动脉压显著更高,肝肾功不全的生化指标更低(P<0.05)。左西孟旦治疗的CLP组血浆白细胞介素-1β、一氧化氮和器官超氧化物水平低于接受溶媒治疗的CLP大鼠(P<0.05)。此外,左西孟旦治疗的CLP组肺组织中诱导型一氧化氮合酶(iNOS)和脾脏中半胱天冬酶-3表达显著更低(P<0.05)。给CLP大鼠使用左西孟旦后生存率显著更高(CLP术后18小时,61.9%对40%,P<0.05)。尸检时,左西孟旦治疗的CLP组肝脏和肺组织学变化及中性粒细胞滤过指数显著减轻(与CLP组相比,P<0.05)。
在这种由粪便性腹膜炎诱导的脓毒症休克临床相关模型中,使用左西孟旦对血流动力学变量、肝肾功不全和代谢性酸中毒具有有益作用。(1)左西孟旦使白细胞介素-1β、一氧化氮和超氧化物水平降低,(2)iNOS和半胱天冬酶-3表达减弱,以及(3)在腹膜炎性脓毒症动物中左西孟旦使中性粒细胞浸润减少,提示左西孟旦的抗炎和抗凋亡作用有助于延长生存期。