Choudhury Nila Roy, Nowak Jakub S, Zuo Juan, Rappsilber Juri, Spoel Steven H, Michlewski Gracjan
Cell Rep. 2014 Nov 20;9(4):1265-72. doi: 10.1016/j.celrep.2014.10.017.
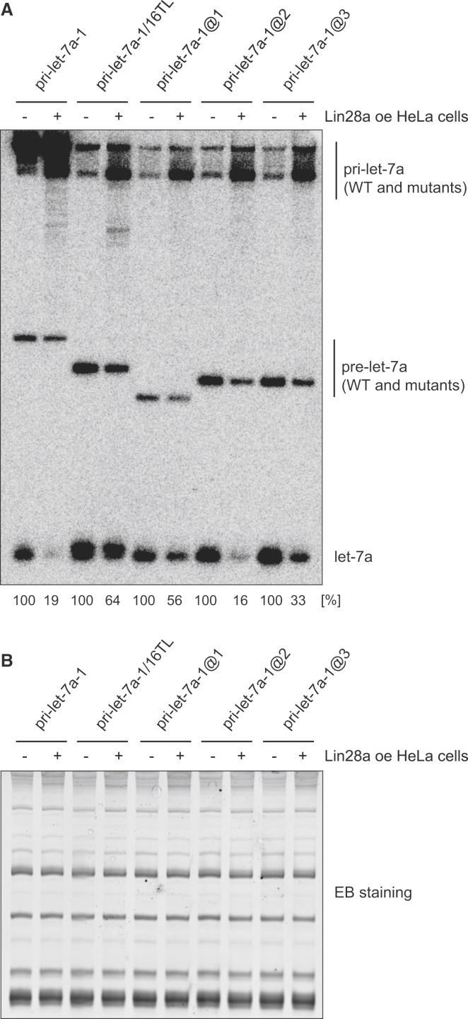
RNA binding proteins have thousands of cellular RNA targets and often exhibit opposite or passive molecular functions. Lin28a is a conserved RNA binding protein involved in pluripotency and tumorigenesis that was previously shown to trigger TuT4-mediated pre-let-7 uridylation, inhibiting its processing and targeting it for degradation. Surprisingly, despite binding to other pre-microRNAs (pre-miRNAs), only pre-let-7 is efficiently uridylated by TuT4. Thus, we hypothesized the existence of substrate-specific cofactors that stimulate Lin28a-mediated pre-let-7 uridylation or restrict its functionality on non-let-7 pre-miRNAs. Through RNA pull-downs coupled with quantitative mass spectrometry, we identified the E3 ligase Trim25 as an RNA-specific cofactor for Lin28a/TuT4-mediated uridylation. We show that Trim25 binds to the conserved terminal loop (CTL) of pre-let-7 and activates TuT4, allowing for more efficient Lin28a-mediated uridylation. These findings reveal that protein-modifying enzymes, only recently shown to bind RNA, can guide the function of canonical ribonucleoprotein (RNP) complexes in cis, thereby providing an additional level of specificity.
RNA结合蛋白有数千个细胞RNA靶点,且常常表现出相反或被动的分子功能。Lin28a是一种保守的RNA结合蛋白,参与多能性和肿瘤发生,此前已证明它能触发TuT4介导的前体let-7尿苷化,抑制其加工并将其靶向降解。令人惊讶的是,尽管Lin28a能与其他前体微小RNA(pre-miRNA)结合,但只有前体let-7能被TuT4有效地尿苷化。因此,我们推测存在底物特异性辅因子,它们能刺激Lin28a介导的前体let-7尿苷化,或限制其在非let-7前体miRNA上的功能。通过RNA下拉结合定量质谱分析,我们鉴定出E3连接酶Trim25是Lin28a/TuT4介导的尿苷化的RNA特异性辅因子。我们发现Trim25与前体let-7的保守末端环(CTL)结合并激活TuT4,从而使Lin28a介导的尿苷化更有效。这些发现揭示,直到最近才显示能结合RNA的蛋白质修饰酶,可以在顺式作用中指导典型核糖核蛋白(RNP)复合物的功能,从而提供额外的特异性水平。