Suppr超能文献

Radiographic findings following irrigation of chronic perineal drain with hydrogen peroxide.

作者信息

Melin Alyson A, Heckman Andrew M, Hussain Shahid, Thompson Jon S

机构信息

University of Nebraska Medical Center, Department of Surgery, United States.

University of Nebraska Medical Center, Department of Radiology, United States.

出版信息

Int J Surg Case Rep. 2015;6C:263-5. doi: 10.1016/j.ijscr.2014.10.052. Epub 2014 Dec 3.

Abstract

INTRODUCTION

Hydrogen peroxide is a widely available agent used for irrigation and disinfecting. With misuse, significant side effects have been noted ranging from nausea to abdominal cramping to portal venous gas, air embolism and death.

PRESENTATION OF CASE

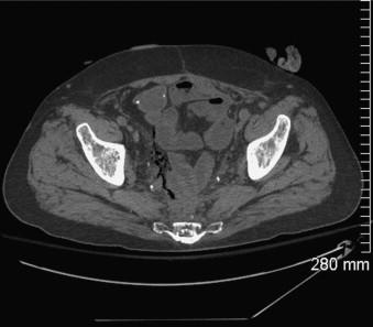
We present an 81 year old male who developed a rectovesicular fistula following radiation for metastatic prostate cancer. He had recurrent bleeding and infections and underwent a pelvic exenteration which was complicated by a persistent pelvic abscess requiring placement of a transperineal drainage catheter. After months of persistent drainage, he noted decreased output and irrigated the catheter with 3% hydrogen peroxide. He presented to the emergency room with fever, diarrhea and abdominal cramping but no rebound or guarding. CT depicted free air in the pre-sacral space extending into the retroperitoneum and diffusely throughout the peritoneum. Given his clinical exam and upon review of imaging, we assumed his radiographic findings were related to the direct instillation of hydrogen peroxide into his chronic pelvic cavity.

DISCUSSION

Hydrogen peroxide has been used therapeutically for over 100 years. Hydrogen peroxide exerts direct cytotoxicity by corrosion and lipid peroxidation and indirectly by oxygen gas formation. When the oxygen produced exceeds the solubility in the blood, arterial and venous gas embolism occur. It is this sequelae of hydrogen peroxide that is described most frequently in the literature.

CONCLUSION

Instillation of hydrogen peroxide into a chronic pelvic cavity resulted in a benign pneumoperitoneum. This effect of hydrogen peroxide is a significant and potentially treatment altering radiographic finding.

摘要
https://cdn.ncbi.nlm.nih.gov/pmc/blobs/5506/4334493/9c2c3bf324fd/gr1.jpg

文献AI研究员

20分钟写一篇综述,助力文献阅读效率提升50倍。

立即体验

用中文搜PubMed

大模型驱动的PubMed中文搜索引擎

马上搜索

文档翻译

学术文献翻译模型,支持多种主流文档格式。

立即体验