Suppr超能文献

Churg-strauss syndrome presented with hearing impairment and facial palsy.

作者信息

Byun Jeong-Hyun, Lee Jong-Hoo, Choi In-Sung

机构信息

Department of Physical & Rehabilitation Medicine, Regional Cardiocerebrovascular Center, Chonnam National University Hospital, Chonnam National University Medical School, Gwangju, Korea.

出版信息

Ann Rehabil Med. 2014 Dec;38(6):852-5. doi: 10.5535/arm.2014.38.6.852. Epub 2014 Dec 24.

Abstract

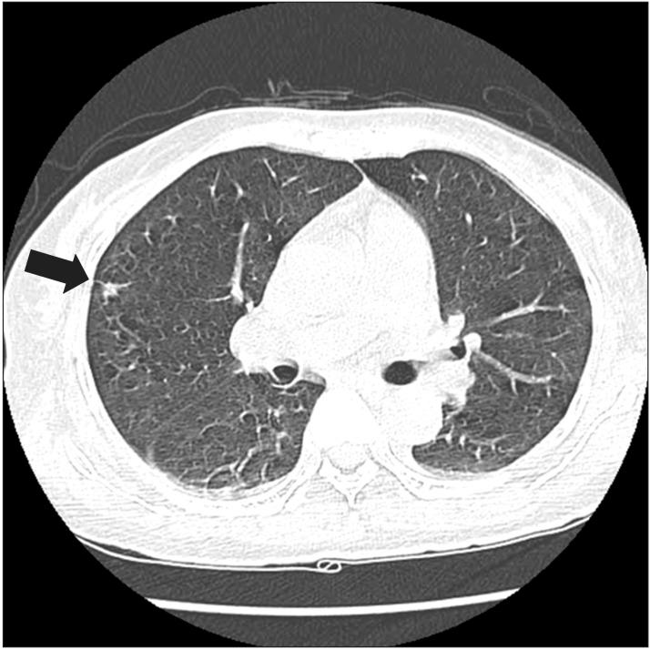
Churg-Strauss syndrome (CSS) is a rare systemic necrotizing vasculitis. Cranial nerve involvement is very rare in CSS. A 59-year-old woman had complained of both hearing impairments for eight months and left facial palsy for three months. Left facial and cochlear neuropathies were detected in electrodiagnostic studies. Paranasal sinus computed tomography (CT) showed chronic pansinusitis. Chest CT revealed eosinophilic infiltration in the right upper lobe. Tissue biopsy of the right inferior turbinate displayed necrotizing vasculitis with eosinophilic infiltration. She was diagnosed as CSS, based on the presence of eosinophilia, pulmonary infiltration, paranasal sinusitis, and biopsy containing blood vessels with extravascular eosinophils. She was treated with intravenous and oral steroids and azathioprine, showing relatively good prognosis on facial palsy and hearing impairment. We report a very rare case of CSS presented with hearing impairment and facial palsy.

摘要
https://cdn.ncbi.nlm.nih.gov/pmc/blobs/89f6/4280384/22840a408d1e/arm-38-852-g001.jpg

文献AI研究员

20分钟写一篇综述,助力文献阅读效率提升50倍。

立即体验

用中文搜PubMed

大模型驱动的PubMed中文搜索引擎

马上搜索

文档翻译

学术文献翻译模型,支持多种主流文档格式。

立即体验