Woo Sungmin, Cho Jeong Yeon
Department of Radiology, Seoul National University College of Medicine, Seoul 110-744, Korea.
Department of Radiology, Seoul National University College of Medicine, Seoul 110-744, Korea. ; Institute of Radiation Medicine and Kidney Research Institute, Seoul National University Medical Research Center, Seoul 110-744, Korea.
Korean J Radiol. 2015 Jan-Feb;16(1):99-113. doi: 10.3348/kjr.2015.16.1.99. Epub 2015 Jan 9.
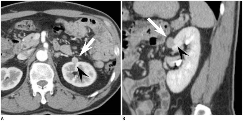
The prevalence of small renal masses (SRM) has risen, paralleling the increased usage of cross-sectional imaging. A large proportion of these SRMs are not malignant, and do not require invasive treatment such as nephrectomy. Therefore, differentiation between early renal cell carcinoma (RCC) and benign SRM is critical to achieve proper management. This article reviews the radiological features of benign SRMs, with focus on two of the most common benign entities, angiomyolipoma and oncocytoma, in terms of their common imaging findings and differential features from RCC. Furthermore, the role of percutaneous biopsy is discussed as imaging is yet imperfect, therefore necessitating biopsy in certain circumstances to confirm the benignity of SRMs.
随着横断面成像技术使用的增加,小肾肿块(SRM)的患病率也在上升。这些SRM中的很大一部分并非恶性,不需要诸如肾切除术等侵入性治疗。因此,早期肾细胞癌(RCC)与良性SRM之间的鉴别对于实现恰当的治疗至关重要。本文回顾了良性SRM的放射学特征,重点关注两种最常见的良性病变,即血管平滑肌脂肪瘤和嗜酸细胞瘤,从它们的常见影像学表现以及与RCC的鉴别特征方面进行阐述。此外,鉴于成像技术仍存在不足,在某些情况下需要活检以确认SRM的良性性质,因此还讨论了经皮活检的作用。