Suppr超能文献

一名儿童的额叶脑膜瘤导致视力丧失。

A frontal lobe meningioma in a child leading to visual loss.

作者信息

Sahinoglu-Keşkek Nedime, Soker Gokhan, Keşkek Şakir Özgür, Sahinoglu Sehire, Unal Figen, Unal Fikret, Cevher Selim

机构信息

Department of Ophthalmology, Adana Numune Training and Research Hospital, 01240 Adana, Turkey.

Department of Radiology, Adana Numune Training and Research Hospital, 01240 Adana, Turkey.

出版信息

Case Rep Ophthalmol Med. 2015;2015:420964. doi: 10.1155/2015/420964. Epub 2015 Jan 6.

Abstract

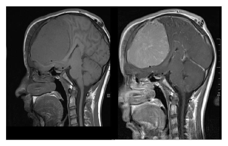
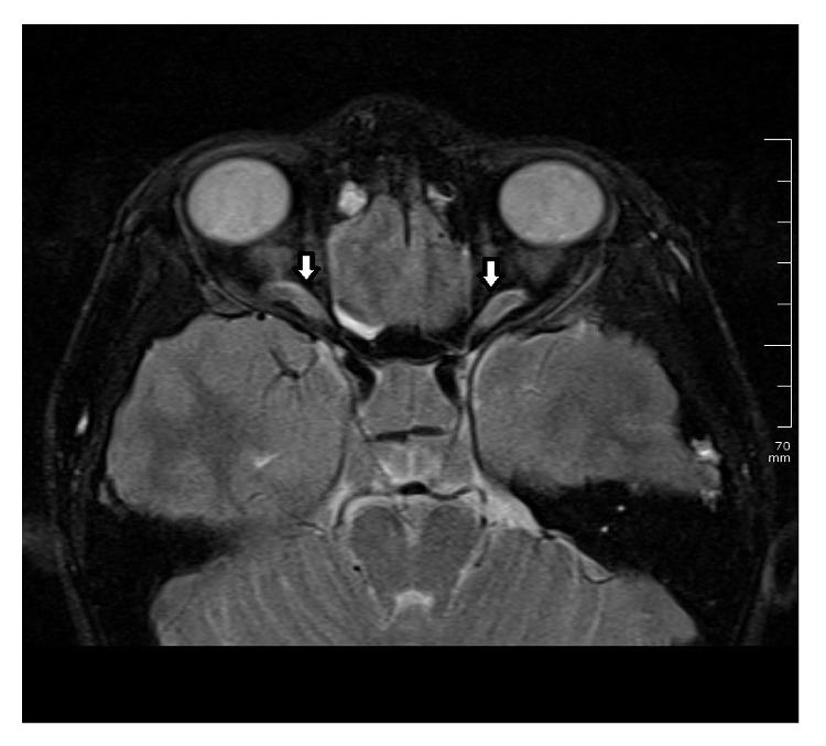
Objective. Meningiomas are benign primary meningeal tumors and are seen rare in children and adolescents. Clinical Presentation and Intervention. A 15-year-old Turkish boy reported a 1-month history of headache and blurred vision in both eyes. His visual acuity was 0.3 in both eyes with papilledema. Magnetic resonance imaging showed a 77 × 97 × 77 mm intracranial-extra-axial frontal lesion which compresses the chiasm. He was diagnosed with intracranial meningioma and referred to neurosurgery clinic. Conclusion. Ophthalmologists should be aware of the fact that papilledema and low vision can be caused by an intracranial tumor which compresses optic chiasm.

摘要

目的。脑膜瘤是原发性良性脑膜肿瘤,在儿童和青少年中罕见。临床表现与干预。一名15岁的土耳其男孩报告有1个月的头痛和双眼视力模糊病史。他双眼视力均为0.3,伴有视乳头水肿。磁共振成像显示一个77×97×77毫米的颅内-轴外额叶病变,压迫视交叉。他被诊断为颅内脑膜瘤,并被转诊至神经外科诊所。结论。眼科医生应意识到视乳头水肿和视力低下可能由压迫视交叉的颅内肿瘤引起。

https://cdn.ncbi.nlm.nih.gov/pmc/blobs/e6d4/4302350/7496be2dfe4a/CRIOPM2015-420964.001.jpg

相似文献

1
A frontal lobe meningioma in a child leading to visual loss.
Case Rep Ophthalmol Med. 2015;2015:420964. doi: 10.1155/2015/420964. Epub 2015 Jan 6.
3
Tuberculum sellae meningioma associated with lymphomatoid papulosis.
Optometry. 2005 Mar;76(3):165-75. doi: 10.1016/s1529-1839(05)70281-5.
4
Hemorrhagic Atypical Planum Sphenoidale Meningioma with Intermittent Vision Loss-Rare Presentation of Apoplexy.
World Neurosurg. 2019 Jan;121:71-76. doi: 10.1016/j.wneu.2018.09.200. Epub 2018 Oct 4.
5
Unilateral papilledema revealing an intracanalicular optic nerve sheath meningioma.
Neuroophthalmology. 2018 Jun 26;43(2):123-125. doi: 10.1080/01658107.2018.1482359. eCollection 2019 Apr.
6
Optic nerve sheath meningiomas: visual improvement after stereotactic radiotherapy.
Neurosurgery. 2002 May;50(5):950-5; discussion 955-7. doi: 10.1097/00006123-200205000-00006.
7
[Intracranial meningioma of an infant: a case report].
No Shinkei Geka. 1987 Jun;15(6):663-8.
8
Young adult patient with headache, fever and blurred vision.
Hormones (Athens). 2016 Oct;15(4):548-550. doi: 10.14310/horm.2002.1701.
9
Solitary Extra-axial Intracranial Primary Meningeal Pleomorphic Xanthoastrocytoma: An Extremely Rare Case.
World Neurosurg. 2019 Oct;130:386-390. doi: 10.1016/j.wneu.2019.06.218. Epub 2019 Jul 8.
10
Anatomic and visual function outcomes in paediatric idiopathic intracranial hypertension.
Br J Ophthalmol. 2016 Apr;100(4):505-9. doi: 10.1136/bjophthalmol-2015-307043. Epub 2015 Aug 12.

本文引用的文献

1
Meningiomas in children and adolescents: a meta-analysis of individual patient data.
Lancet Oncol. 2011 Dec;12(13):1229-39. doi: 10.1016/S1470-2045(11)70275-3. Epub 2011 Nov 15.
2
Pediatric meningioma: current approaches and future direction.
J Neurooncol. 2011 Aug;104(1):1-10. doi: 10.1007/s11060-010-0503-3. Epub 2011 Jan 4.
3
Childhood and adolescent meningiomas: a report of 38 cases and review of literature.
Acta Neurochir (Wien). 2009 Mar;151(3):239-44; discussion 244. doi: 10.1007/s00701-009-0206-8. Epub 2009 Feb 24.
4
Visual outcome after surgery for cavernous sinus meningioma.
Acta Neurochir (Wien). 2008 May;150(5):421-9; discussion 429. doi: 10.1007/s00701-008-1554-5. Epub 2008 Apr 21.
5
Meningiomas in children.
Pediatr Neurosurg. 2008;44(1):9-13. doi: 10.1159/000110656. Epub 2007 Dec 14.
6
Intracranial meningiomas of the first two decades of life.
J Neurosurg. 1994 Mar;80(3):447-53. doi: 10.3171/jns.1994.80.3.0447.
7
Thickening of dura surrounding meningiomas: MR features.
J Comput Assist Tomogr. 1989 Sep-Oct;13(5):763-8. doi: 10.1097/00004728-198909000-00003.

文献AI研究员

20分钟写一篇综述,助力文献阅读效率提升50倍。

立即体验

用中文搜PubMed

大模型驱动的PubMed中文搜索引擎

马上搜索

文档翻译

学术文献翻译模型,支持多种主流文档格式。

立即体验