Suppr超能文献

组织蛋白酶L在特应性皮炎和扁平苔藓中的免疫组化表达。

Immunohistochemical expression of cathepsin L in atopic dermatitis and lichen planus.

作者信息

Ibrahim Zeinab A, El Ashmawy Amal A, Abd El-Naby Naeim M, Ghoraba Hussein M

机构信息

Department of Dermatology and Venereology, Faculty of Medicine, Tanta University, Tanta, Gharbia, Egypt.

Department of Pathology, Faculty of Medicine, Tanta University, Tanta, Gharbia, Egypt.

出版信息

Indian J Dermatol. 2015 Jan-Feb;60(1):13-20. doi: 10.4103/0019-5154.147779.

Abstract

BACKGROUND

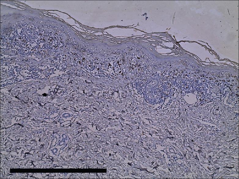
Cathepsin L is a member of papain superfamily. It seems to promote T-cell survival, selection maturation in the thymus and enhance the antigen presentation. Cathepsin L plays an important role in tumor necrosis factors (TNF-α) induced cell death. Also it degrades the tight junction between cornedesomses in the epidermis. Elevated expression of cathepsin L has been found in many inflammatory and neoplastic diseases.

OBJECTIVE

The aim of this study was to determine immunohistochemical expression of cathepsin L in atopic dermatitis (AD) and lichen planus (LP) patients in order to evaluate its role in the pathogenesis of both diseases.

MATERIALS AND METHODS

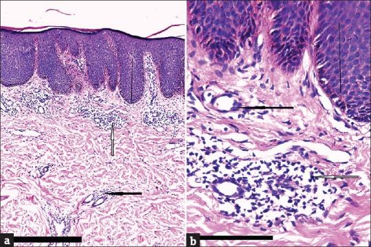
This study included 15 patients with AD (Group I), 15 patients with LP (Group II), in addition to 10 healthy skin specimens served as controls (Group III). Punch biopsies were taken from lesional skin of the patients and controls for immunohistochemical detection of cathepsin L expression.

RESULTS

Highly significant increase was found in cathepsin L expression in AD and LP patients compared to controls [P = 0.001].

CONCLUSION

Cathepsin L could be implicated as an important protease in the pathogenesis of AD and LP. It could be a useful marker for assessing AD severity.

摘要

背景

组织蛋白酶L是木瓜蛋白酶超家族的成员。它似乎能促进T细胞存活、在胸腺中进行选择成熟并增强抗原呈递。组织蛋白酶L在肿瘤坏死因子(TNF-α)诱导的细胞死亡中起重要作用。此外,它还能降解表皮中角质形成细胞间桥粒的紧密连接。在许多炎症性和肿瘤性疾病中都发现组织蛋白酶L的表达升高。

目的

本研究旨在确定组织蛋白酶L在特应性皮炎(AD)和扁平苔藓(LP)患者中的免疫组化表达,以评估其在这两种疾病发病机制中的作用。

材料和方法

本研究包括15例AD患者(第一组)、15例LP患者(第二组),另外10例健康皮肤标本作为对照(第三组)。从患者和对照的皮损处取打孔活检组织,用于免疫组化检测组织蛋白酶L的表达。

结果

与对照组相比,AD和LP患者组织蛋白酶L的表达显著升高[P = 0.001]。

结论

组织蛋白酶L可能是AD和LP发病机制中的一种重要蛋白酶。它可能是评估AD严重程度的一个有用标志物。

https://cdn.ncbi.nlm.nih.gov/pmc/blobs/5e62/4318056/6b05bf11faa6/IJD-60-13-g003.jpg

文献AI研究员

20分钟写一篇综述,助力文献阅读效率提升50倍。

立即体验

用中文搜PubMed

大模型驱动的PubMed中文搜索引擎

马上搜索

文档翻译

学术文献翻译模型,支持多种主流文档格式。

立即体验