Rao Ram Nawal, Bansal Megha, Raghuvanshi Shiwanjali, Ansari M S, Neyaz Zafar
Department of Pathology, Sanjay Gandhi Postgraduate Institute of Medical Sciences, Lucknow, Uttar Pradesh, India.
Department of Urology, Sanjay Gandhi Postgraduate Institute of Medical Sciences, Lucknow, Uttar Pradesh, India.
Urol Ann. 2015 Jan-Mar;7(1):100-3. doi: 10.4103/0974-7796.148637.
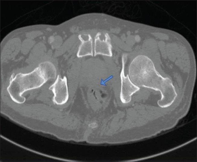
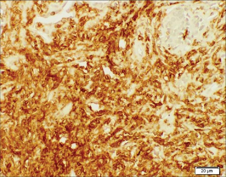
Large B-cell non-Hodgkin lymphoma involving the prostate accounts for 0.09% and 0.1% of non-Hodgkin lymphoma. We report a case of prostatic large B-cell non-Hodgkin lymphoma in a 77-year-old male with symptoms of urinary retention most probably due to benign prostate hyperplasia. He underwent multiple needle core biopsies through transrectal ultrasound of the prostate. Histopathological examination of the core biopsies revealed diffuse infiltration by atypical lymphoid cells in the prostatic stroma, which was strongly positive for leukocyte common antigen and CD20. CD3, CK, PSA, BCL2, k-light chain, Cyclin D1 and synaptophysin were negative. Histopathology and immunohistochemical profile in the case was consistent with the diagnosis of diffuse large B-cell non-Hodgkin lymphoma of the prostate.
累及前列腺的大B细胞非霍奇金淋巴瘤占非霍奇金淋巴瘤的0.09%和0.1%。我们报告一例77岁男性前列腺大B细胞非霍奇金淋巴瘤病例,该患者有尿潴留症状,最可能是由良性前列腺增生引起。他接受了经直肠超声引导下的多次前列腺穿刺活检。穿刺活检的组织病理学检查显示前列腺间质中有非典型淋巴细胞弥漫浸润,白细胞共同抗原和CD20呈强阳性。CD3、细胞角蛋白、前列腺特异性抗原、BCL2、κ轻链、细胞周期蛋白D1和突触素均为阴性。该病例的组织病理学和免疫组化特征与前列腺弥漫性大B细胞非霍奇金淋巴瘤的诊断一致。