Bandyopadhyay Debabrata, Saha Abanti, Mishra Vivek
Department of Dermatology, Medical College, Kolkata, West Bengal, India.
Indian Dermatol Online J. 2015 Jan-Feb;6(1):39-41. doi: 10.4103/2229-5178.148939.
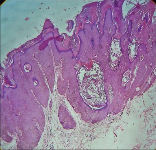
Seborrheic keratosis (SK) is a very common benign epidermal proliferation that is prevalent in all races. Most commonly occurring on the trunk, face, scalp, and the extremities, they can occur anywhere on the body except the palms and soles. The most common appearance is that of a very superficial verrucous plaque which appears to be stuck on the surface. Giant lesions are very rare, and their location on the genital area is rarer still. We report here a case of multiple giant SK lesions in a 59-year-old man.
脂溢性角化病(SK)是一种非常常见的良性表皮增生,在所有种族中都很普遍。最常发生于躯干、面部、头皮和四肢,除手掌和脚底外,身体的任何部位都可能出现。最常见的表现是非常浅表的疣状斑块,看起来像是贴在表面。巨大损害非常罕见,而其发生于生殖器部位则更为罕见。我们在此报告一例59岁男性患有多发性巨大SK损害的病例。