Suppr超能文献

SKI2162,一种转化生长因子-β I 型受体(ALK5)抑制剂,可抑制小鼠的辐射诱导纤维化。

SKI2162, an inhibitor of the TGF-β type I receptor (ALK5), inhibits radiation-induced fibrosis in mice.

作者信息

Park Jin-hong, Ryu Seung-Hee, Choi Eun Kyung, Ahn Seung Do, Park Euisun, Choi Kyung-Chul, Lee Sang-wook

机构信息

Department of Radiation Oncology, University of Ulsan College of Medicine, Asan Medical Center, Seoul, Korea.

Life Science Research Center, SK Chemicals, Seongnam-si, Korea.

出版信息

Oncotarget. 2015 Feb 28;6(6):4171-9. doi: 10.18632/oncotarget.2878.

Abstract

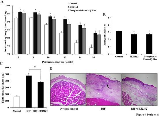
Here we demonstrated that SKI2162, a small-molecule inhibitor of the TGF-β type I receptor (ALK5), prevented radiation-induced fibrosis (RIF) in mice. SKI2162 inhibited phosphorylation of Smad and induction of RIF-related genes in vitro. In RIF a mouse model, SKI2162 reduced late skin reactions and leg-contracture without jeopardizing the acute skin reaction. Irradiation of mouse tissue increased COL1A2 mRNA levels, and topical administration of SKI2162 significantly inhibited this effect. Thus, these findings support that SKI2162 has potential value as novel RIF-protective agent, and could be candidate for clinical trials.

摘要

在此我们证明,TGF-β I型受体(ALK5)的小分子抑制剂SKI2162可预防小鼠的放射性纤维化(RIF)。SKI2162在体外可抑制Smad磷酸化及RIF相关基因的诱导。在RIF小鼠模型中,SKI2162可减轻晚期皮肤反应和腿部挛缩,而不影响急性皮肤反应。照射小鼠组织会增加COL1A2 mRNA水平,局部应用SKI2162可显著抑制这一效应。因此,这些发现支持SKI2162作为新型RIF保护剂具有潜在价值,可能成为临床试验的候选药物。

https://cdn.ncbi.nlm.nih.gov/pmc/blobs/e416/4414180/bda2e8c72bb3/oncotarget-06-4171-g001.jpg

文献AI研究员

20分钟写一篇综述,助力文献阅读效率提升50倍。

立即体验

用中文搜PubMed

大模型驱动的PubMed中文搜索引擎

马上搜索

文档翻译

学术文献翻译模型,支持多种主流文档格式。

立即体验