Suppr超能文献

头皮原发性黏液腺癌:一例报告及文献复习

Primary mucinous adenocarcinoma of the scalp: A case report and literature review.

作者信息

Beteddini Osama S Al, Sheikh Salwa, Shareefi Faisal, Shahab Rana

机构信息

Surgery Department, Johns Hopkins Aramco Healthcare/Dhahran Health Center, Saudi Aramco, P.O. Box 76, Dhahran 31311, Eastern Province, Saudi Arabia.

Pathology Department, Johns Hopkins Aramco Healthcare/Dhahran Health Center, Saudi Aramco, P.O. Box 76, Dhahran 31311, Eastern Province, Saudi Arabia.

出版信息

Int J Surg Case Rep. 2015;10:241-4. doi: 10.1016/j.ijscr.2015.02.006. Epub 2015 Feb 7.

Abstract

INTRODUCTION

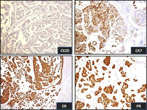
Primary mucinous adenocarcinoma or mucinous eccrine carcinoma of the skin is a rare malignant neoplasm showing predilection to the head and neck. Distinguishing between these primary neoplasms and the more frequent metastatic mucinous deposits on the skin from primaries in the breast and gastrointestinal tract constitutes a diagnostic dilemma.

PRESENTATION OF CASE

We report a case of a 61-year-old lady who presented with a slow-growing, painless scalp nodule. Upon excision, it was diagnosed as "primary mucinous adenocarcinoma". An extensive work-up in search for another primary tumour failed to show a primary malignancy elsewhere and the diagnosis of a primary eccrine mucinous adenocarcinoma of the skin was rendered.

DISCUSSION

A review of the literature on this entity is presented, discussing diagnostic challenges and therapeutic options that of interest to surgeons, pathologists and dermatologists.

CONCLUSION

These tumours are indolent and low-grade, with a tendency for local, sometimes multiple, recurrences. Proper patient counselling and follow-up are important in treatment. Sound collaboration between clinicians and pathologists, for good therapeutic results, is of utmost importance.

摘要

引言

原发性皮肤黏液腺癌或皮肤黏液性小汗腺癌是一种罕见的恶性肿瘤,好发于头颈部。区分这些原发性肿瘤与皮肤表面较常见的、源自乳腺和胃肠道原发性肿瘤的转移性黏液沉积,构成了一个诊断难题。

病例介绍

我们报告一例61岁女性患者,其头皮出现一个生长缓慢、无痛性结节。切除后,诊断为“原发性黏液腺癌”。全面检查以寻找其他原发性肿瘤,但未发现其他部位存在原发性恶性肿瘤,最终诊断为原发性皮肤小汗腺黏液腺癌。

讨论

本文回顾了关于该实体的文献,讨论了外科医生、病理学家和皮肤科医生感兴趣的诊断挑战和治疗选择。

结论

这些肿瘤生长缓慢、恶性程度低,有局部复发倾向,有时会出现多发复发。治疗过程中,对患者进行适当的咨询和随访很重要。临床医生和病理学家之间的良好合作对于取得良好的治疗效果至关重要。

https://cdn.ncbi.nlm.nih.gov/pmc/blobs/730f/4429839/bb15ee7041e2/gr1.jpg

文献AI研究员

20分钟写一篇综述,助力文献阅读效率提升50倍。

立即体验

用中文搜PubMed

大模型驱动的PubMed中文搜索引擎

马上搜索

文档翻译

学术文献翻译模型,支持多种主流文档格式。

立即体验