Suppr超能文献

淀粉样蛋白PET成像:阿尔茨海默病之外的应用

Amyloid PET imaging: applications beyond Alzheimer's disease.

作者信息

Catafau Ana M, Bullich Santiago

机构信息

Clinical R&D Neurosciences, Piramal Imaging GmbH, Tegeler Straße 6-7, 13353 Berlin, Germany.

出版信息

Clin Transl Imaging. 2015;3(1):39-55. doi: 10.1007/s40336-014-0098-3. Epub 2015 Jan 21.

Abstract

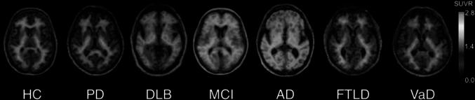
As a biomarker of beta-amyloid, positron emission tomography (PET) amyloid imaging offers a unique opportunity to detect the presence of this protein in the human body during life. Besides Alzheimer's disease (AD), deposits of beta-amyloid in the brain are also present in other neurodegenerative diseases associated to dementia, such as Parkinson's disease and dementia with Lewy bodies, as well as in other processes affecting brain function, such as cerebral amyloid angiopathy, brain trauma, Down's syndrome and meningiomas, as shown by post-mortem pathology studies. Furthermore, in systemic amyloidosis other organs besides the brain are affected, and amyloid PET imaging may be suitable for the identification of these extra-cerebral amyloid depositions. Finally, the potential use of amyloid PET tracer accumulation in cerebral white matter (WM) as a marker of myelin is being investigated, leading to some promising results in patients with WM lesions and multiple sclerosis. In this article, a review of the ongoing research pointing to a broader application of amyloid PET imaging in clinical practice beyond AD is provided.

摘要

作为β-淀粉样蛋白的生物标志物,正电子发射断层扫描(PET)淀粉样蛋白成像提供了一个独特的机会,可在活体中检测人体中这种蛋白质的存在。除阿尔茨海默病(AD)外,大脑中β-淀粉样蛋白沉积也存在于其他与痴呆相关的神经退行性疾病中,如帕金森病和路易体痴呆,以及其他影响脑功能的过程中,如脑淀粉样血管病、脑外伤、唐氏综合征和脑膜瘤,尸检病理学研究已证实这一点。此外,在系统性淀粉样变性中,除大脑外的其他器官也会受到影响,淀粉样蛋白PET成像可能适用于识别这些脑外淀粉样蛋白沉积。最后,正在研究将淀粉样蛋白PET示踪剂在脑白质(WM)中的积聚作为髓鞘标志物的潜在用途,这在患有WM病变和多发性硬化症的患者中已取得了一些有前景的结果。本文对正在进行的研究进行综述,这些研究表明淀粉样蛋白PET成像在临床实践中的应用范围将超越AD而得到更广泛的应用。

https://cdn.ncbi.nlm.nih.gov/pmc/blobs/89bb/4339781/e95ed614ba42/40336_2014_98_Fig1_HTML.jpg

文献AI研究员

20分钟写一篇综述,助力文献阅读效率提升50倍。

立即体验

用中文搜PubMed

大模型驱动的PubMed中文搜索引擎

马上搜索

文档翻译

学术文献翻译模型,支持多种主流文档格式。

立即体验