Suppr超能文献

Fcp1-Wee1-Cdk1轴影响纺锤体组装检查点的稳健性以及对抗微管抗癌药物的敏感性。

The Fcp1-Wee1-Cdk1 axis affects spindle assembly checkpoint robustness and sensitivity to antimicrotubule cancer drugs.

作者信息

Visconti R, Della Monica R, Palazzo L, D'Alessio F, Raia M, Improta S, Villa M R, Del Vecchio L, Grieco D

机构信息

1] CEINGE Biotecnologie Avanzate, Gaetano Salvatore 486, Naples 80145, Italy [2] IEOS, CNR, S. Pansini 5, Naples 80131, Italy.

1] CEINGE Biotecnologie Avanzate, Gaetano Salvatore 486, Naples 80145, Italy [2] DMMBM, University of Naples "Federico II", S. Pansini 5, Naples 80131, Italy.

出版信息

Cell Death Differ. 2015 Sep;22(9):1551-60. doi: 10.1038/cdd.2015.13. Epub 2015 Mar 6.

Abstract

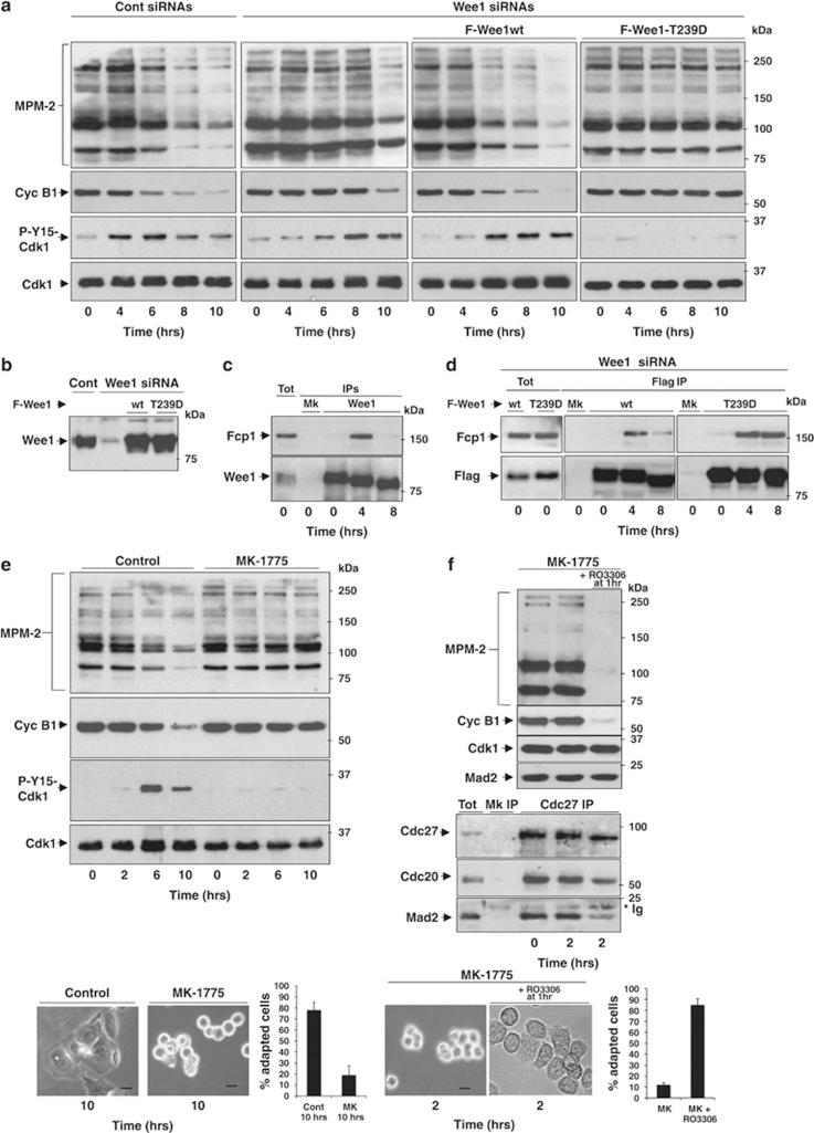
To grant faithful chromosome segregation, the spindle assembly checkpoint (SAC) delays mitosis exit until mitotic spindle assembly. An exceedingly prolonged mitosis, however, promotes cell death and by this means antimicrotubule cancer drugs (AMCDs), that impair spindle assembly, are believed to kill cancer cells. Despite malformed spindles, cancer cells can, however, slip through SAC, exit mitosis prematurely and resist killing. We show here that the Fcp1 phosphatase and Wee1, the cyclin B-dependent kinase (cdk) 1 inhibitory kinase, play a role for this slippage/resistance mechanism. During AMCD-induced prolonged mitosis, Fcp1-dependent Wee1 reactivation lowered cdk1 activity, weakening SAC-dependent mitotic arrest and leading to mitosis exit and survival. Conversely, genetic or chemical Wee1 inhibition strengthened the SAC, further extended mitosis, reduced antiapoptotic protein Mcl-1 to a minimum and potentiated killing in several, AMCD-treated cancer cell lines and primary human adult lymphoblastic leukemia cells. Thus, the Fcp1-Wee1-Cdk1 (FWC) axis affects SAC robustness and AMCDs sensitivity.

摘要

为确保染色体准确分离,纺锤体组装检查点(SAC)会延迟有丝分裂退出,直至有丝分裂纺锤体组装完成。然而,过长时间的有丝分裂会促进细胞死亡,因此,那些破坏纺锤体组装的抗微管抗癌药物(AMCDs)被认为可杀死癌细胞。尽管纺锤体畸形,但癌细胞仍可通过SAC监测,过早退出有丝分裂并产生耐药性。我们在此表明,Fcp1磷酸酶和Wee1(细胞周期蛋白B依赖性激酶(cdk)1抑制激酶)在这种逃逸/耐药机制中发挥作用。在AMCD诱导的有丝分裂延长过程中,Fcp1依赖性的Wee1重新激活降低了cdk1活性,削弱了SAC依赖性的有丝分裂阻滞,导致有丝分裂退出和细胞存活。相反,基因或化学方法抑制Wee1可增强SAC,进一步延长有丝分裂,将抗凋亡蛋白Mcl-1降至最低,并增强了几种经AMCD处理的癌细胞系和原代成人淋巴细胞白血病细胞的杀伤作用。因此,Fcp1-Wee1-Cdk1(FWC)轴影响SAC的稳健性和AMCDs敏感性。

https://cdn.ncbi.nlm.nih.gov/pmc/blobs/8908/4532778/e465084ac17e/cdd201513f1a.jpg

文献检索

告别复杂PubMed语法,用中文像聊天一样搜索,搜遍4000万医学文献。AI智能推荐,让科研检索更轻松。

立即免费搜索

文件翻译

保留排版,准确专业,支持PDF/Word/PPT等文件格式,支持 12+语言互译。

免费翻译文档

深度研究

AI帮你快速写综述,25分钟生成高质量综述,智能提取关键信息,辅助科研写作。

立即免费体验