Suppr超能文献

两种胆管癌细胞系在体外形成多细胞肿瘤球体过程中蛋白质表达的变化。

Changes in protein expression in two cholangiocarcinoma cell lines undergoing formation of multicellular tumor spheroids in vitro.

作者信息

Mischiati Carlo, Ura Blendi, Roncoroni Leda, Elli Luca, Cervellati Carlo, Squerzanti Monica, Conte Dario, Doneda Luisa, Polverino de Laureto Patrizia, de Franceschi Giorgia, Calza Roberta, Barrero Carlos A, Merali Salim, Ferrari Carlo, Bergamini Carlo M, Agostinelli Enzo

机构信息

Department of Biomedical and Surgical Sciences, University of Ferrara, Ferrara, Italy.

Institute for Maternal and Child Health, IRCCS Burlo Garofalo, University of Trieste, Trieste, Italy.

出版信息

PLoS One. 2015 Mar 10;10(3):e0118906. doi: 10.1371/journal.pone.0118906. eCollection 2015.

Abstract

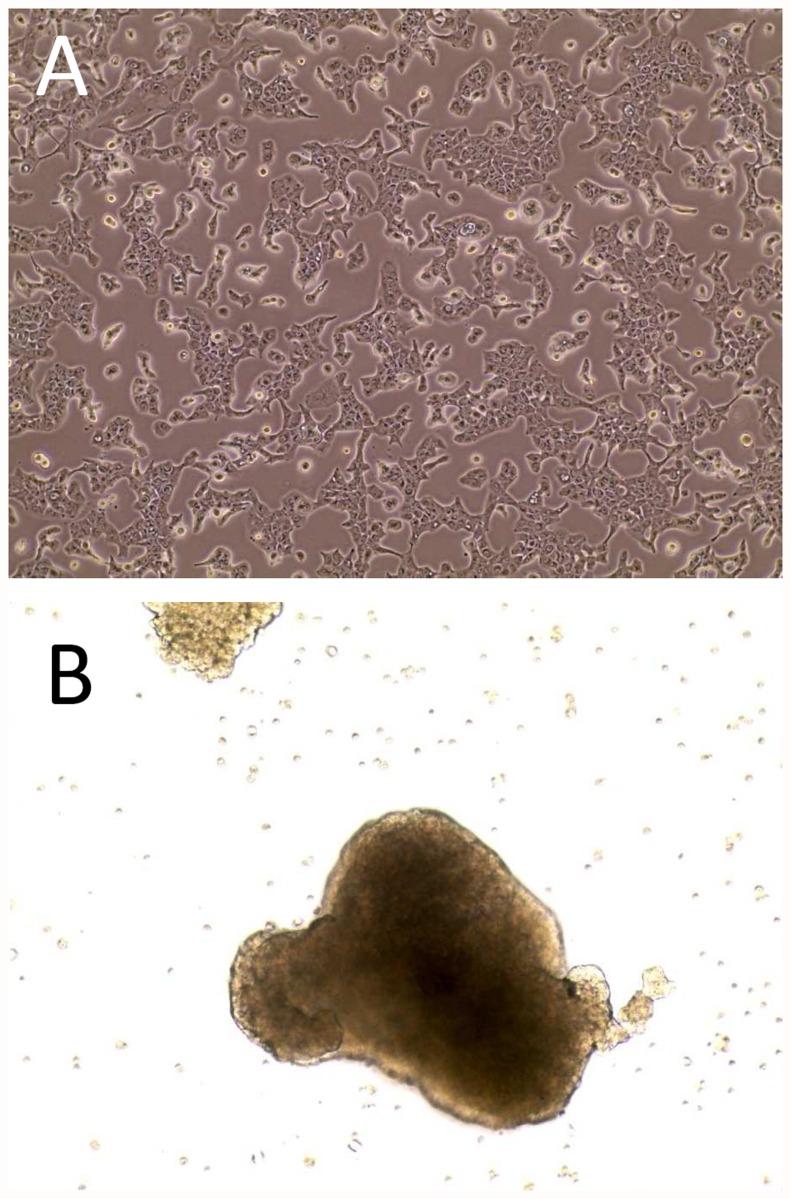
Epithelial-to-Mesenchymal Transition (EMT) is relevant in malignant growth and frequently correlates with worsening disease progression due to its implications in metastases and resistance to therapeutic interventions. Although EMT is known to occur in several types of solid tumors, the information concerning tumors arising from the epithelia of the bile tract is still limited. In order to approach the problem of EMT in cholangiocarcinoma, we decided to investigate the changes in protein expression occurring in two cell lines under conditions leading to growth as adherent monolayers or to formation of multicellular tumor spheroids (MCTS), which are considered culture models that better mimic the growth characteristics of in-vivo solid tumors. In our system, changes in phenotypes occur with only a decrease in transmembrane E-cadherin and vimentin expression, minor changes in the transglutaminase protein/activity but with significant differences in the proteome profiles, with declining and increasing expression in 6 and in 16 proteins identified by mass spectrometry. The arising protein patterns were analyzed based on canonical pathways and network analysis. These results suggest that significant metabolic rearrangements occur during the conversion of cholangiocarcinomas cells to the MCTS phenotype, which most likely affect the carbohydrate metabolism, protein folding, cytoskeletal activity, and tissue sensitivity to oxygen.

摘要

上皮-间质转化(EMT)与恶性生长相关,且由于其在转移和对治疗干预的抗性方面的影响,常与疾病进展恶化相关。尽管已知EMT发生于多种实体瘤中,但关于胆管上皮来源肿瘤的相关信息仍然有限。为了解决胆管癌中的EMT问题,我们决定研究两种细胞系在形成贴壁单层生长或多细胞肿瘤球体(MCTS)的条件下蛋白质表达的变化,MCTS被认为是能更好模拟体内实体瘤生长特征的培养模型。在我们的系统中,表型变化仅表现为跨膜E-钙黏蛋白和波形蛋白表达降低,转谷氨酰胺酶蛋白/活性有微小变化,但蛋白质组图谱存在显著差异,质谱鉴定出的6种和16种蛋白质表达分别下降和增加。基于经典通路和网络分析对产生的蛋白质模式进行了分析。这些结果表明胆管癌细胞向MCTS表型转化过程中发生了显著的代谢重排,这很可能影响碳水化合物代谢、蛋白质折叠、细胞骨架活性以及组织对氧的敏感性。

https://cdn.ncbi.nlm.nih.gov/pmc/blobs/2b16/4355290/fc2ef6593839/pone.0118906.g001.jpg

文献检索

告别复杂PubMed语法,用中文像聊天一样搜索,搜遍4000万医学文献。AI智能推荐,让科研检索更轻松。

立即免费搜索

文件翻译

保留排版,准确专业,支持PDF/Word/PPT等文件格式,支持 12+语言互译。

免费翻译文档

深度研究

AI帮你快速写综述,25分钟生成高质量综述,智能提取关键信息,辅助科研写作。

立即免费体验