• 文献检索
  • 文档翻译
  • 深度研究
  • 学术资讯
  • Suppr Zotero 插件Zotero 插件
  • 邀请有礼
  • 套餐&价格
  • 历史记录
应用&插件
Suppr Zotero 插件Zotero 插件浏览器插件Mac 客户端Windows 客户端微信小程序
定价
高级版会员购买积分包购买API积分包
服务
文献检索文档翻译深度研究API 文档MCP 服务
关于我们
关于 Suppr公司介绍联系我们用户协议隐私条款
关注我们

Suppr 超能文献

核心技术专利:CN118964589B侵权必究
粤ICP备2023148730 号-1Suppr @ 2026

文献检索

告别复杂PubMed语法,用中文像聊天一样搜索,搜遍4000万医学文献。AI智能推荐,让科研检索更轻松。

立即免费搜索

文件翻译

保留排版,准确专业,支持PDF/Word/PPT等文件格式,支持 12+语言互译。

免费翻译文档

深度研究

AI帮你快速写综述,25分钟生成高质量综述,智能提取关键信息,辅助科研写作。

立即免费体验

原发性颅内恶性黑色素瘤:1例罕见病例并文献复习

Primary intracranial malignant melanoma: A rare casewith review of literature.

作者信息

Suranagi Vijayalaxmi V, Maste Praful, Malur Prakash R

机构信息

Deprtment of Pathology, J N Medical College and KLEs Dr. Prabhakar Kore Hospital and MRC, Belgaum, Karnataka, India.

出版信息

Asian J Neurosurg. 2015 Jan-Mar;10(1):39-41. doi: 10.4103/1793-5482.151508.

DOI:10.4103/1793-5482.151508
PMID:25767575
原文链接:https://pmc.ncbi.nlm.nih.gov/articles/PMC4352627/
Abstract

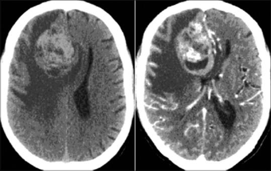
We present a rare case of the primary intracranial melanoma in the right parafalcine frontal region in a 65-year-old male. Computed tomography and magnetic resonance imaging showed a Space occupying lesion in the right parafalcine frontal region with necrosis, vasogenic edema and mass effect. A rather well-defined, dark brown-black tumor was totally removed and histologically diagnosed as malignant melanoma. The patient improved after surgery. In our case, no systemic melanomas were found in close clinical examinations, there was a single nodular tumor attached to the leptomeninges and a favorable outcome was obtained by surgical treatment alone. Primary central nervous system melanomas have rarely been reported, and this case is reported for its rarity.

摘要

我们报告了一例罕见的原发性颅内黑色素瘤病例,发生在一名65岁男性的右侧大脑镰旁额叶区域。计算机断层扫描和磁共振成像显示右侧大脑镰旁额叶区域有一个占位性病变,伴有坏死、血管源性水肿和占位效应。一个边界相当清晰的深棕色至黑色肿瘤被完全切除,组织学诊断为恶性黑色素瘤。患者术后病情好转。在我们的病例中,经过仔细的临床检查未发现全身性黑色素瘤,仅有一个附着于软脑膜的结节状肿瘤,仅通过手术治疗就取得了良好的效果。原发性中枢神经系统黑色素瘤鲜有报道,本病例因其罕见性而被报告。

https://cdn.ncbi.nlm.nih.gov/pmc/blobs/6ec7/4352627/946892447252/AJNS-10-39-g003.jpg
https://cdn.ncbi.nlm.nih.gov/pmc/blobs/6ec7/4352627/0bacf65b4ed1/AJNS-10-39-g001.jpg
https://cdn.ncbi.nlm.nih.gov/pmc/blobs/6ec7/4352627/693d13403cef/AJNS-10-39-g002.jpg
https://cdn.ncbi.nlm.nih.gov/pmc/blobs/6ec7/4352627/946892447252/AJNS-10-39-g003.jpg
https://cdn.ncbi.nlm.nih.gov/pmc/blobs/6ec7/4352627/0bacf65b4ed1/AJNS-10-39-g001.jpg
https://cdn.ncbi.nlm.nih.gov/pmc/blobs/6ec7/4352627/693d13403cef/AJNS-10-39-g002.jpg
https://cdn.ncbi.nlm.nih.gov/pmc/blobs/6ec7/4352627/946892447252/AJNS-10-39-g003.jpg

相似文献

1
Primary intracranial malignant melanoma: A rare casewith review of literature.原发性颅内恶性黑色素瘤:1例罕见病例并文献复习
Asian J Neurosurg. 2015 Jan-Mar;10(1):39-41. doi: 10.4103/1793-5482.151508.
2
Primary intracranial melanoma--case report.原发性颅内黑色素瘤——病例报告
Neurol Med Chir (Tokyo). 1990 Sep;30(9):698-702. doi: 10.2176/nmc.30.698.
3
Primary malignant melanoma in the pineal region.松果体区原发性恶性黑色素瘤。
J Korean Neurosurg Soc. 2014 Dec;56(6):504-8. doi: 10.3340/jkns.2014.56.6.504. Epub 2014 Dec 31.
4
Primary Brain Melanoma in a Pediatric Patient: A Case Report.小儿原发性脑黑色素瘤 1 例报告。
Am J Case Rep. 2021 Mar 9;22:e926749. doi: 10.12659/AJCR.926749.
5
[A case of primary intracranial malignant melanoma with characteristic magnetic resonance imaging].[一例具有特征性磁共振成像表现的原发性颅内恶性黑色素瘤病例]
No Shinkei Geka. 1989 Sep;17(9):887-91.
6
Primary central nervous system malignant melanoma with leptomeningeal melanomatosis: a case report and review of the literature.原发性中枢神经系统恶性黑色素瘤伴软脑膜黑色素瘤病:一例报告并文献复习
Neurosurg Rev. 2018 Jan;41(1):333-339. doi: 10.1007/s10143-017-0914-0. Epub 2017 Oct 6.
7
[A case of primary intracranial malignant melanoma showing leptomeningeal dissemination].一例原发性颅内恶性黑色素瘤伴软脑膜播散
No To Shinkei. 1992 Oct;44(10):935-9.
8
A Rare Case of Primary Intracerebral Malignant Melanoma.原发性脑恶性黑色素瘤1例罕见病例
Cureus. 2023 Aug 12;15(8):e43359. doi: 10.7759/cureus.43359. eCollection 2023 Aug.
9
Microsurgery for the treatment of primary malignant intracranial melanoma: a surgical series and literature review.显微手术治疗原发性恶性颅内黑色素瘤:一项手术病例系列及文献综述
Eur J Surg Oncol. 2014 Sep;40(9):1062-71. doi: 10.1016/j.ejso.2013.11.024. Epub 2013 Dec 14.
10
Primary leptomeningeal melanoma simulating a meningioma.原发性软脑膜黑色素瘤酷似脑膜瘤。
Neurosurg Rev. 1995;18(2):143-7. doi: 10.1007/BF00417673.

引用本文的文献

1
Pigmented Peril: A fatal case of Primary intracranial melanoma in a paediatric patient.色素沉着的危险:一名儿科患者原发性颅内黑色素瘤致死病例
Radiol Case Rep. 2025 May 1;20(7):3484-3496. doi: 10.1016/j.radcr.2025.03.070. eCollection 2025 Jul.
2
Primary intracranial malignant melanomas: A case series with literature review.颅内原发性恶性黑色素瘤:病例系列及文献复习。
Medicine (Baltimore). 2024 Nov 1;103(44):e40334. doi: 10.1097/MD.0000000000040334.
3
A 13-Year-Old Girl Affected by Melanocytic Tumors of the Central Nervous System-The Case.

本文引用的文献

1
A rare case of primary malignant melanoma of clivus with extensive skeletal metastasis demonstrated on 18F-FDG PET/CT.18F-FDG PET/CT显示的一例罕见的斜坡原发性恶性黑色素瘤伴广泛骨转移。
Indian J Nucl Med. 2013 Oct;28(4):234-6. doi: 10.4103/0972-3919.121971.
2
Microsurgery for the treatment of primary malignant intracranial melanoma: a surgical series and literature review.显微手术治疗原发性恶性颅内黑色素瘤:一项手术病例系列及文献综述
Eur J Surg Oncol. 2014 Sep;40(9):1062-71. doi: 10.1016/j.ejso.2013.11.024. Epub 2013 Dec 14.
3
Primary intracranial malignant melanoma.
一位 13 岁女孩受中枢神经系统黑色素细胞瘤影响——病例报告。
Int J Mol Sci. 2024 Sep 5;25(17):9628. doi: 10.3390/ijms25179628.
4
Primary Malignant Meningeal Melanoma Complicated by Cerebral Venous Sinus Thrombosis: An Illustrative Case With a Systematic Review of the Literature.原发性恶性脑膜黑色素瘤合并脑静脉窦血栓形成:一例说明性病例及文献系统综述
Cureus. 2024 Aug 12;16(8):e66710. doi: 10.7759/cureus.66710. eCollection 2024 Aug.
5
Primary leptomeningeal melanoma in association with neurocutaneous melanosis: A case report.原发性软脑膜黑色素瘤合并神经皮肤黑色素沉着症:一例报告。
Surg Neurol Int. 2022 Nov 25;13:547. doi: 10.25259/SNI_856_2022. eCollection 2022.
6
Sudden Death from Primary Cerebral Melanoma: Clinical Signs and Pathological Observations.原发性脑黑色素瘤猝死:临床体征与病理观察
Healthcare (Basel). 2021 Mar 17;9(3):341. doi: 10.3390/healthcare9030341.
7
Aggressive Primary Pediatric Intracranial Malignant Melanoma: Sphinx of the Tissue Diagnosis.侵袭性原发性小儿颅内恶性黑色素瘤:组织诊断之谜。
Asian J Neurosurg. 2019 Jan-Mar;14(1):275-279. doi: 10.4103/ajns.AJNS_253_17.
8
Endometrial metastasis of primary malignant melanoma of the brain.
BMJ Case Rep. 2018 May 30;2018:bcr-2018-224435. doi: 10.1136/bcr-2018-224435.
9
Management of intracranial melanomas in the era of precision medicine.精准医学时代颅内黑色素瘤的管理
Oncotarget. 2017 Jul 13;8(51):89326-89347. doi: 10.18632/oncotarget.19223. eCollection 2017 Oct 24.
10
Primary cerebral malignant melanoma: A case report with literature review.原发性脑恶性黑色素瘤:一例病例报告并文献复习
Medicine (Baltimore). 2017 Jan;96(4):e5805. doi: 10.1097/MD.0000000000005805.
原发性颅内恶性黑色素瘤。
J Coll Physicians Surg Pak. 2013 Feb;23(2):157-9.
4
Primary cerebellopontine angle melanoma: a case report and review.
Turk Neurosurg. 2012;22(4):469-74. doi: 10.5137/1019-5149.JTN.3632-10.2.
5
Pigmented lesions of the central nervous system: radiologic-pathologic correlation.中枢神经系统色素沉着病变:放射学与病理学的相关性
Radiographics. 2009 Sep-Oct;29(5):1503-24. doi: 10.1148/rg.295095109.
6
[Intracranial melanoma].[颅内黑色素瘤]
No To Shinkei. 1968 Oct;20(10):991-9.
7
Malignant melanoma of the cerebello-pontine angle region.小脑桥脑角区恶性黑色素瘤
Arq Neuropsiquiatr. 1989 Dec;47(4):496-500. doi: 10.1590/s0004-282x1989000400020.
8
Long-term survival after removal of primary intracranial malignant melanoma. Case report.原发性颅内恶性黑色素瘤切除术后的长期生存。病例报告。
Acta Neurochir (Wien). 1989;101(1-2):84-8. doi: 10.1007/BF01410075.
9
Primary intracranial melanoma--case report.原发性颅内黑色素瘤——病例报告
Neurol Med Chir (Tokyo). 1990 Sep;30(9):698-702. doi: 10.2176/nmc.30.698.
10
[Primary intracranial melanoma: a case report].[原发性颅内黑色素瘤:一例报告]
No Shinkei Geka. 1992 Nov;20(11):1211-5.