Suppr超能文献

阿片受体及相关G蛋白信号调节因子参与大鼠泻剂性结肠的形成。

Opioid receptors and associated regulator of G protein signaling are involved in the cathartic colon of rats.

作者信息

Wu Jinsong, Liu Baohua, Tong Weidong, Zhang Anping, Li Fan, Lin Jing, Wang L I

机构信息

Department of General Surgery, Institute of Surgery Research, Daping Hospital, Third Military Medical University, Chongqing 400042, P.R. China ; Second Department of General Surgery, Bethune International Peace Hospital of People's Liberty Army, Shijiazhuang, Hebei 050082, P.R. China.

Department of General Surgery, Institute of Surgery Research, Daping Hospital, Third Military Medical University, Chongqing 400042, P.R. China.

出版信息

Exp Ther Med. 2015 Apr;9(4):1229-1234. doi: 10.3892/etm.2015.2233. Epub 2015 Jan 29.

Abstract

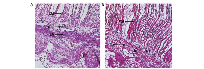
A cathartic colon is characteristic of slow transit constipation (STC), which can result following the long-term use of irritant laxatives. In the present study, the involvement of three opioid receptor subtypes (μ, MOR; δ, DOR; and κ, KOR), regulator of G protein signaling 4 (RGS-4) and β-arrestin-2 were investigated in the cathartic colon of rats. A rat model of a cathartic colon was established by feeding the animals with phenolphthalein, while normal rats were used as a control. The mRNA and protein expression levels of the opioid receptors, RGS-4 and β-arrestin-2 were detected in the rat colon using semi-quantitative reverse transcription polymerase chain reaction and western blot analysis, respectively. The rat model of a cathartic colon was successfully established using the phenolphthalein stimulus, and was shown to result in shrunken myenteric neurons and loose muscle fibers in the intestinal wall. The mRNA and protein expression levels of the three opioid receptor subtypes, RGS-4 and β-arrestin-2 were significantly higher in the cathartic colon group when compared with the levels in the normal control group (all P<0.01). With regard to the protein expression levels, MOR protein increased 2.4 fold, DOR expression increased 1.5 fold, KOR levels increased 1.5 fold, RGS-4 protein increased 3.5 fold and β-arrestin-2 expression increased 2.0 fold. Therefore, the expression levels of opioid receptors were found to increase in the cathartic colons of the rats, indicating that opioid receptors and downstream RGS-4 and β-arrestin-2 signaling may play an important role in the pathogenesis of STC.

摘要

泻剂性结肠是慢传输型便秘(STC)的特征,长期使用刺激性泻药可能导致这种情况。在本研究中,对大鼠泻剂性结肠中三种阿片受体亚型(μ,MOR;δ,DOR;和κ,KOR)、G蛋白信号调节因子4(RGS - 4)和β - 抑制蛋白2的参与情况进行了研究。通过给动物喂食酚酞建立大鼠泻剂性结肠模型,而正常大鼠作为对照。分别使用半定量逆转录聚合酶链反应和蛋白质印迹分析检测大鼠结肠中阿片受体、RGS - 4和β - 抑制蛋白2的mRNA和蛋白表达水平。使用酚酞刺激成功建立了大鼠泻剂性结肠模型,结果显示该模型导致肠肌间神经元萎缩和肠壁肌肉纤维松弛。与正常对照组相比,泻剂性结肠组中三种阿片受体亚型、RGS - 4和β - 抑制蛋白2的mRNA和蛋白表达水平均显著升高(所有P<0.01)。就蛋白表达水平而言,MOR蛋白增加2.4倍,DOR表达增加1.5倍,KOR水平增加1.5倍,RGS - 4蛋白增加3.5倍,β - 抑制蛋白2表达增加2.0倍。因此,发现大鼠泻剂性结肠中阿片受体的表达水平升高,表明阿片受体以及下游的RGS - 4和β - 抑制蛋白2信号可能在STC的发病机制中起重要作用。

https://cdn.ncbi.nlm.nih.gov/pmc/blobs/d656/4353748/58f7dacf5f7d/ETM-09-04-1229-g00.jpg

文献AI研究员

20分钟写一篇综述,助力文献阅读效率提升50倍。

立即体验

用中文搜PubMed

大模型驱动的PubMed中文搜索引擎

马上搜索

文档翻译

学术文献翻译模型,支持多种主流文档格式。

立即体验