Suppr超能文献

鼠埃立克体样病原体在蜱传媒介中的组织分布

Tissue distribution of the Ehrlichia muris-like agent in a tick vector.

作者信息

Lynn Geoffrey E, Oliver Jonathan D, Nelson Curtis M, Felsheim Roderick F, Kurtti Timothy J, Munderloh Ulrike G

机构信息

Department of Entomology, University of Minnesota, 219 Hodson Hall, 1980 Folwell Ave., St. Paul, MN 55108, United States of America.

出版信息

PLoS One. 2015 Mar 17;10(3):e0122007. doi: 10.1371/journal.pone.0122007. eCollection 2015.

Abstract

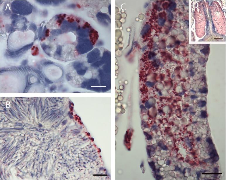
Human pathogens transmitted by ticks undergo complex life cycles alternating between the arthropod vector and a mammalian host. While the latter has been investigated to a greater extent, examination of the biological interactions between microbes and the ticks that carry them presents an equally important opportunity for disruption of the disease cycle. In this study, we used in situ hybridization to demonstrate infection by the Ehrlichia muris-like organism, a newly recognized human pathogen, of Ixodes scapularis ticks, a primary vector for several important human disease agents. This allowed us to assess whole sectioned ticks for the patterns of tissue invasion, and demonstrate generalized dissemination of ehrlichiae in a variety of cell types and organs within ticks infected naturally via blood feeding. Electron microscopy was used to confirm these results. Here we describe a strong ehrlichial affinity for epithelial cells, neuronal cells of the synganglion, salivary glands, and male accessory glands.

摘要

由蜱传播的人类病原体经历复杂的生命周期,在节肢动物媒介和哺乳动物宿主之间交替。虽然对后者的研究更为深入,但研究微生物与携带它们的蜱之间的生物相互作用,同样为破坏疾病循环提供了重要契机。在本研究中,我们使用原位杂交技术证明,一种新发现的人类病原体——鼠埃立克体样生物,感染了肩突硬蜱,肩突硬蜱是几种重要人类病原体的主要传播媒介。这使我们能够评估蜱的整个切片的组织侵袭模式,并证明通过血液摄食自然感染的蜱体内,埃立克体在多种细胞类型和器官中的广泛传播。电子显微镜用于证实这些结果。在此,我们描述了埃立克体对上皮细胞、交感神经节的神经元细胞、唾液腺和雄性附腺具有很强的亲和力。

https://cdn.ncbi.nlm.nih.gov/pmc/blobs/4d96/4363788/bd64ede90768/pone.0122007.g001.jpg

相似文献

1
Tissue distribution of the Ehrlichia muris-like agent in a tick vector.
PLoS One. 2015 Mar 17;10(3):e0122007. doi: 10.1371/journal.pone.0122007. eCollection 2015.
3
A Tick Vector Transmission Model of Monocytotropic Ehrlichiosis.
J Infect Dis. 2015 Sep 15;212(6):968-77. doi: 10.1093/infdis/jiv134. Epub 2015 Mar 3.
4
Co-Feeding Transmission of the Ehrlichia muris-Like Agent to Mice (Mus musculus).
Vector Borne Zoonotic Dis. 2016 Mar;16(3):145-50. doi: 10.1089/vbz.2015.1878. Epub 2016 Jan 29.
5
Isolate from a Minnesota Tick: Characterization and Genetic Transformation.
Appl Environ Microbiol. 2019 Jul 1;85(14). doi: 10.1128/AEM.00866-19. Print 2019 Jul 15.
7
Identification of Ehrlichia spp. and Borrelia burgdorferi in Ixodes ticks in the Baltic regions of Russia.
J Clin Microbiol. 2001 Jun;39(6):2237-42. doi: 10.1128/JCM.39.6.2237-2242.2001.
8
High prevalence of granulocytic Ehrlichiae and Borrelia burgdorferi sensu lato in Ixodes ricinus ticks from Bulgaria.
J Clin Microbiol. 2001 Nov;39(11):4172-4. doi: 10.1128/JCM.39.11.4172-4174.2001.
9
An Ixodes scapularis protein required for survival of Anaplasma phagocytophilum in tick salivary glands.
J Exp Med. 2006 Jun 12;203(6):1507-17. doi: 10.1084/jem.20060208. Epub 2006 May 22.

引用本文的文献

1
Behavioral manipulation of by : implications for tick-borne disease transmission.
mBio. 2025 May 27:e0075825. doi: 10.1128/mbio.00758-25.
2
Behavioral Manipulation of by : Implications for Tick-Borne Disease Transmission.
bioRxiv. 2025 Mar 5:2025.03.04.641579. doi: 10.1101/2025.03.04.641579.
3
Tick extracellular vesicles in host skin immunity and pathogen transmission.
Trends Parasitol. 2023 Oct;39(10):873-885. doi: 10.1016/j.pt.2023.07.009. Epub 2023 Aug 16.
4
A practical protocol to prepare paraffin-embedded whole tick histology sections.
Ticks Tick Borne Dis. 2023 Jul;14(4):102162. doi: 10.1016/j.ttbdis.2023.102162. Epub 2023 Mar 23.
5
Identification of a rickettsial endosymbiont in a soft tick Ornithodoros turicata americanus.
PLoS One. 2022 Dec 6;17(12):e0278582. doi: 10.1371/journal.pone.0278582. eCollection 2022.
6
A comparison of horizontal and transovarial transmission efficiency of Borrelia miyamotoi by Ixodes scapularis.
Ticks Tick Borne Dis. 2022 Sep;13(5):102003. doi: 10.1016/j.ttbdis.2022.102003. Epub 2022 Jul 14.
8
Ticks infesting dogs and cats in North America: Biology, geographic distribution, and pathogen transmission.
Vet Parasitol. 2021 Jun;294:109392. doi: 10.1016/j.vetpar.2021.109392. Epub 2021 Feb 19.
10
Putative morphology of Neoehrlichia mikurensis in salivary glands of Ixodes ricinus.
Sci Rep. 2020 Sep 29;10(1):15987. doi: 10.1038/s41598-020-72953-0.

本文引用的文献

1
Rickettsia buchneri sp. nov., a rickettsial endosymbiont of the blacklegged tick Ixodes scapularis.
Int J Syst Evol Microbiol. 2015 Mar;65(Pt 3):965-970. doi: 10.1099/ijs.0.000047. Epub 2015 Jan 6.
3
An animal model of a newly emerging human ehrlichiosis.
J Infect Dis. 2015 Feb 1;211(3):452-61. doi: 10.1093/infdis/jiu372. Epub 2014 Jul 2.
5
Prokka: rapid prokaryotic genome annotation.
Bioinformatics. 2014 Jul 15;30(14):2068-9. doi: 10.1093/bioinformatics/btu153. Epub 2014 Mar 18.
6
Estimated effects of projected climate change on the basic reproductive number of the Lyme disease vector Ixodes scapularis.
Environ Health Perspect. 2014 Jun;122(6):631-8. doi: 10.1289/ehp.1307799. Epub 2014 Mar 14.
7
Motility characteristics are altered for Rickettsia bellii transformed to overexpress a heterologous rickA gene.
Appl Environ Microbiol. 2014 Feb;80(3):1170-6. doi: 10.1128/AEM.03352-13. Epub 2013 Dec 2.
8
Dissemination of bloodmeal acquired Rickettsia felis in cat fleas, Ctenocephalides felis.
Parasit Vectors. 2013 May 24;6:149. doi: 10.1186/1756-3305-6-149.
9
Drivers, dynamics, and control of emerging vector-borne zoonotic diseases.
Lancet. 2012 Dec 1;380(9857):1946-55. doi: 10.1016/S0140-6736(12)61151-9.
10
Deer, predators, and the emergence of Lyme disease.
Proc Natl Acad Sci U S A. 2012 Jul 3;109(27):10942-7. doi: 10.1073/pnas.1204536109. Epub 2012 Jun 18.

文献AI研究员

20分钟写一篇综述,助力文献阅读效率提升50倍。

立即体验

用中文搜PubMed

大模型驱动的PubMed中文搜索引擎

马上搜索

文档翻译

学术文献翻译模型,支持多种主流文档格式。

立即体验