Suppr超能文献

牛脑苷脂和尼可汀注射液可改善 APPswe/PS1dE9 小鼠的认知障碍,可作为多靶点抗阿尔茨海默病候选药物。

Cattle encephalon glycoside and ignotin injection improves cognitive impairment in APPswe/PS1dE9 mice used as multitarget anti-Alzheimer's drug candidates.

机构信息

Institute of Geriatrics, Chinese PLA General Hospital, Beijing Key Lab of Normal Aging and Geriatrics, Beijing, People's Republic of China.

Research and Technology Service Center, PLA 302 Hospital, Beijing, People's Republic of China.

出版信息

Neuropsychiatr Dis Treat. 2015 Feb 27;11:537-48. doi: 10.2147/NDT.S78025. eCollection 2015.

Abstract

BACKGROUND

Cattle encephalon glycoside and ignotin injection (CEGI), a multitargeted neurotrophic drug, has been widely used in the treatment of central and peripheral nerve injuries, such as stroke, hypoxic ischemic encephalopathy, and diabetic neuropathy in the People's Republic of China. However, data regarding the effect of CEGI on Alzheimer's disease (AD) remain scarce. The present study aimed to investigate the effect of CEGI on learning and memory in an APPswe/PS1dE9 double-transgenic mouse model, a suitable animal model of AD, and elucidate its possible mechanisms.

MATERIALS AND METHODS

Five-month-old APP/PS1 mice were intraperitoneally administered 6.6 mL/kg or 13.2 mL/kg of CEGI for 1 month. After 1 month of administration, all mice received Morris water maze training and a probe test. Mouse brain sections were detected by standard biochemical and immunohistochemical measures.

RESULTS

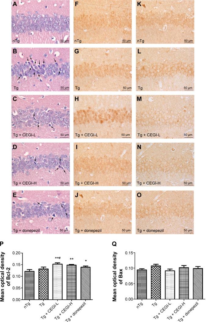
CEGI treatment significantly improved the spatial learning and memory deficits and decreased cerebral amyloid-β42 levels in brain homogenates of APP/PS1 mice. CEGI treatment elevated the activities of superoxide dismutase, and reduced the levels of malondialdehyde. CEGI attenuated neuronal damage in the hippocampus of APP/PS1 mice and upregulated protein and gene expression of Bcl-2 and the ratio of Bcl-2/Bax. CEGI treatment decreased the number of Iba1(+) activated microglia in the cortex of the APP/PS1 mice.

CONCLUSION

Our results showed that CEGI prevents memory impairment, possibly by decreasing the amyloid-β42 levels in APP/PS1 mice and inhibiting oxidative stress, apoptosis, and inflammation, making CEGI a promising therapeutic agent for AD.

摘要

背景

牛脑苷脂和依诺苷注射液(CEGI)是一种多靶点神经营养药物,已广泛用于治疗中风、缺氧缺血性脑病和糖尿病周围神经病变等中枢和周围神经损伤。然而,关于 CEGI 对阿尔茨海默病(AD)的影响的数据仍然很少。本研究旨在探讨 CEGI 对 APPswe/PS1dE9 双转基因小鼠模型(AD 的合适动物模型)学习和记忆的影响,并阐明其可能的机制。

材料和方法

将 5 个月大的 APP/PS1 小鼠腹腔内给予 6.6 mL/kg 或 13.2 mL/kg 的 CEGI 治疗 1 个月。给药 1 个月后,所有小鼠均接受 Morris 水迷宫训练和探针测试。通过标准生化和免疫组织化学方法检测小鼠脑切片。

结果

CEGI 治疗可显著改善 APP/PS1 小鼠的空间学习和记忆缺陷,并降低脑匀浆中脑淀粉样蛋白-β42 的水平。CEGI 治疗可提高超氧化物歧化酶的活性,降低丙二醛的水平。CEGI 减轻了 APP/PS1 小鼠海马神经元损伤,上调了 Bcl-2 蛋白和基因表达,并增加了 Bcl-2/Bax 的比值。CEGI 治疗可减少 APP/PS1 小鼠皮质中 Iba1(+)激活的小胶质细胞数量。

结论

我们的研究结果表明,CEGI 可预防记忆障碍,可能是通过降低 APP/PS1 小鼠的淀粉样蛋白-β42 水平并抑制氧化应激、细胞凋亡和炎症来实现的,这使得 CEGI 成为治疗 AD 的一种有前途的治疗药物。

https://cdn.ncbi.nlm.nih.gov/pmc/blobs/592d/4356454/22474c4b423b/ndt-11-537Fig1.jpg

文献AI研究员

20分钟写一篇综述,助力文献阅读效率提升50倍。

立即体验

用中文搜PubMed

大模型驱动的PubMed中文搜索引擎

马上搜索

文档翻译

学术文献翻译模型,支持多种主流文档格式。

立即体验