Suppr超能文献

NHE8对视网膜色素上皮(RPE)细胞极性和光感受器存活至关重要。

NHE8 is essential for RPE cell polarity and photoreceptor survival.

作者信息

Xia Chun-hong, Liu Haiquan, Cheung Debra, Tang Felicia, Chang Bo, Li Mei, Gong Xiaohua

机构信息

School of Optometry and Vision Science Program, University of California, Berkeley, Berkeley, CA 94720, USA.

The Jackson Laboratory, Bar Harbor, ME 04609, USA.

出版信息

Sci Rep. 2015 Mar 20;5:9358. doi: 10.1038/srep09358.

Abstract

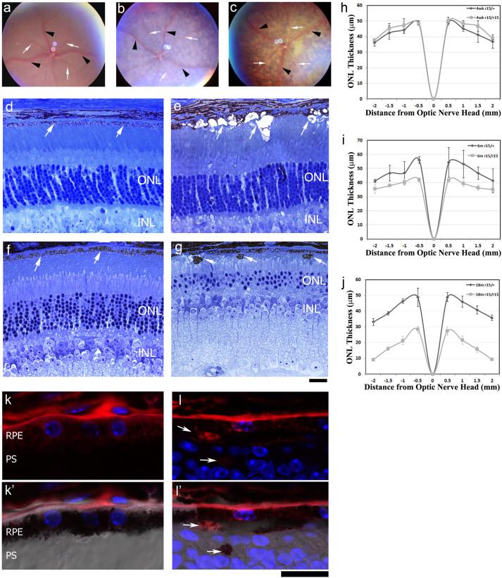
A new N-ethyl-N-nitrosourea (ENU)-induced mouse recessive mutation, identified by fundus examination of the eye, develops depigmented patches, indicating retinal disorder. Histology data show aberrant retinal pigment epithelium (RPE) and late-onset photoreceptor cell loss in the mutant retina. Chromosomal mapping and DNA sequencing reveal a point mutation (T to A) of the Slc9a8 gene, resulting in mutant sodium/proton exchanger 8 (NHE8)-M120K protein. The lysine substitution decreases the probability of forming the 3(rd) transmembrane helix, which impairs the pore structure of the Na(+)/H(+) exchanger. Various RPE defects, including mislocalization of the apical marker ezrin, and disrupted apical microvilli and basal infoldings are observed in mutant mice. We have further generated NHE8 knockout mice and confirmed similar phenotypes, including abnormal RPE cells and late-onset photoreceptor cell loss. Both in vivo and in vitro data indicate that NHE8 co-localizes with ER, Golgi and intracellular vesicles in RPE cells. Thus, NHE8 function is necessary for the survival of photoreceptor cells and NHE8 is important for RPE cell polarity and function. Dysfunctional RPE may ultimately lead to photoreceptor cell death in the NHE8 mutants. Further studies will be needed to elucidate whether or not NHE8 regulates pH homeostasis in the protein secretory pathways of RPE.

摘要

通过眼底检查鉴定出一种新的N-乙基-N-亚硝基脲(ENU)诱导的小鼠隐性突变,该突变会产生色素脱失斑,提示存在视网膜病变。组织学数据显示,突变型视网膜中视网膜色素上皮(RPE)异常,且光感受器细胞出现迟发性丢失。染色体定位和DNA测序揭示了Slc9a8基因的一个点突变(T突变为A),导致突变型钠/质子交换体8(NHE8)-M120K蛋白的产生。赖氨酸替代降低了形成第3个跨膜螺旋的可能性,这损害了Na(+)/H(+)交换体的孔结构。在突变小鼠中观察到各种RPE缺陷,包括顶端标记物埃兹蛋白的定位错误、顶端微绒毛破坏和基底褶皱紊乱。我们进一步培育了NHE8基因敲除小鼠,并证实了类似的表型,包括RPE细胞异常和光感受器细胞迟发性丢失。体内和体外数据均表明,NHE8在RPE细胞中与内质网、高尔基体和细胞内囊泡共定位。因此,NHE8的功能对于光感受器细胞的存活是必需的,且NHE8对RPE细胞的极性和功能很重要。功能失调的RPE最终可能导致NHE8突变体中的光感受器细胞死亡。需要进一步研究以阐明NHE8是否调节RPE蛋白质分泌途径中的pH稳态。

https://cdn.ncbi.nlm.nih.gov/pmc/blobs/156b/4366848/dac6a378dfef/srep09358-f1.jpg

文献AI研究员

20分钟写一篇综述,助力文献阅读效率提升50倍。

立即体验

用中文搜PubMed

大模型驱动的PubMed中文搜索引擎

马上搜索

文档翻译

学术文献翻译模型,支持多种主流文档格式。

立即体验