• 文献检索
  • 文档翻译
  • 深度研究
  • 学术资讯
  • Suppr Zotero 插件Zotero 插件
  • 邀请有礼
  • 套餐&价格
  • 历史记录
应用&插件
Suppr Zotero 插件Zotero 插件浏览器插件Mac 客户端Windows 客户端微信小程序
定价
高级版会员购买积分包购买API积分包
服务
文献检索文档翻译深度研究API 文档MCP 服务
关于我们
关于 Suppr公司介绍联系我们用户协议隐私条款
关注我们

Suppr 超能文献

核心技术专利:CN118964589B侵权必究
粤ICP备2023148730 号-1Suppr @ 2026

文献检索

告别复杂PubMed语法,用中文像聊天一样搜索,搜遍4000万医学文献。AI智能推荐,让科研检索更轻松。

立即免费搜索

文件翻译

保留排版,准确专业,支持PDF/Word/PPT等文件格式,支持 12+语言互译。

免费翻译文档

深度研究

AI帮你快速写综述,25分钟生成高质量综述,智能提取关键信息,辅助科研写作。

立即免费体验

支原体污染对形成生物工程3D肾囊肿能力的影响。

The effects of mycoplasma contamination upon the ability to form bioengineered 3D kidney cysts.

作者信息

DesRochers Teresa M, Kuo Ivana Y, Kimmerling Erica P, Ehrlich Barbara E, Kaplan David L

机构信息

Department of Biomedical Engineering, Tufts University, Medford, Massachusetts, United States of America.

Departments of Pharmacology and of Cellular and Molecular Physiology, School of Medicine, Yale University, New Haven, Connecticut, United States of America.

出版信息

PLoS One. 2015 Mar 20;10(3):e0120097. doi: 10.1371/journal.pone.0120097. eCollection 2015.

DOI:10.1371/journal.pone.0120097
PMID:25793639
原文链接:https://pmc.ncbi.nlm.nih.gov/articles/PMC4368695/
Abstract

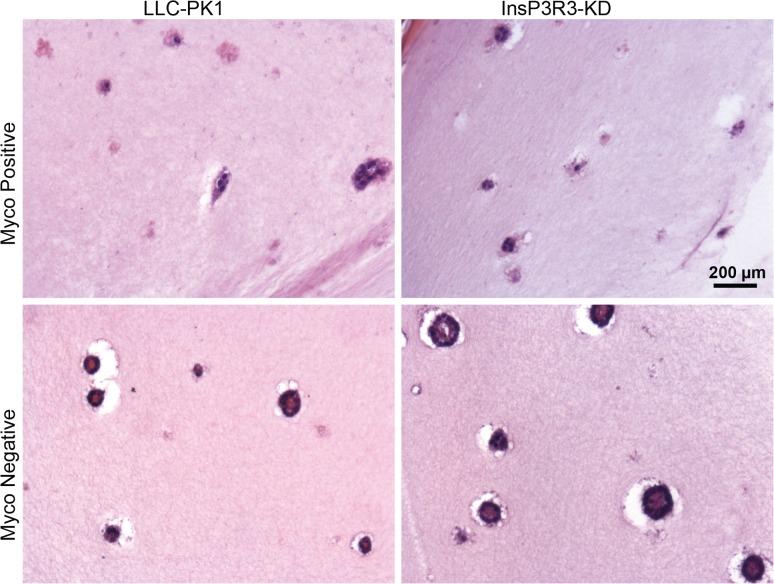
Mycoplasma contamination of cell cultures is a pervasive, often undiagnosed and ignored problem in many laboratories that can result in reduced cell proliferation and changes in gene expression. Unless contamination is specifically suspected, it is often undetected in two dimensional (2D) cultures and the resulting effects of mycoplasma contamination are rarely appreciated and can lead to incorrect conclusions. Three dimensional (3D) tissue cultures are increasingly utilized to explore tissue development and phenotype. However, 3D cultures are more complex than 2D cell cultures and require a more controlled cellular environment in order to generate structures necessary to mimic in vivo responses and are often maintained for longer time periods. Changes to the microenvironment are assumed to have a more extreme effect upon the success of 3D tissue cultures than 2D cell cultures, but the effects of mycoplasma have not been studied. To test this hypothesis, we grew 2D cell cultures and 3D tissues from pig kidney epithelial cells (LLC-PK1) that were contaminated with mycoplasma and the same stock of cells after mycoplasma removal. We did not observe an effect of mycoplasma contamination on proliferation in 2D monolayer cell culture. However, cyst formation in 3D tissues was altered, with effects upon the number, size and structure of cysts formed. These data serve to reinforce the necessity of testing cell stocks for mycoplasma contamination.

摘要

细胞培养中的支原体污染是许多实验室普遍存在的问题,常常未被诊断和忽视,它会导致细胞增殖减少和基因表达变化。除非特别怀疑有污染,否则在二维(2D)培养中通常检测不到支原体,支原体污染产生的影响也很少得到重视,可能会导致错误的结论。三维(3D)组织培养越来越多地用于探索组织发育和表型。然而,3D培养比2D细胞培养更复杂,需要更可控的细胞环境才能生成模拟体内反应所需的结构,并且通常要维持更长时间。人们认为微环境的变化对3D组织培养成功的影响比对2D细胞培养的影响更大,但支原体的影响尚未得到研究。为了验证这一假设,我们用受支原体污染的猪肾上皮细胞(LLC-PK1)以及去除支原体后的同一批细胞培养了2D细胞培养物和3D组织。我们没有观察到支原体污染对2D单层细胞培养中细胞增殖的影响。然而,3D组织中的囊肿形成发生了改变,对形成的囊肿数量、大小和结构产生了影响。这些数据进一步证明了检测细胞株是否受到支原体污染的必要性。

https://cdn.ncbi.nlm.nih.gov/pmc/blobs/8075/4368695/496f95fe83c5/pone.0120097.g006.jpg
https://cdn.ncbi.nlm.nih.gov/pmc/blobs/8075/4368695/6b2135c996ca/pone.0120097.g001.jpg
https://cdn.ncbi.nlm.nih.gov/pmc/blobs/8075/4368695/db1430ab2153/pone.0120097.g002.jpg
https://cdn.ncbi.nlm.nih.gov/pmc/blobs/8075/4368695/e79575f0c55a/pone.0120097.g003.jpg
https://cdn.ncbi.nlm.nih.gov/pmc/blobs/8075/4368695/b95854be6812/pone.0120097.g004.jpg
https://cdn.ncbi.nlm.nih.gov/pmc/blobs/8075/4368695/73746501e173/pone.0120097.g005.jpg
https://cdn.ncbi.nlm.nih.gov/pmc/blobs/8075/4368695/496f95fe83c5/pone.0120097.g006.jpg
https://cdn.ncbi.nlm.nih.gov/pmc/blobs/8075/4368695/6b2135c996ca/pone.0120097.g001.jpg
https://cdn.ncbi.nlm.nih.gov/pmc/blobs/8075/4368695/db1430ab2153/pone.0120097.g002.jpg
https://cdn.ncbi.nlm.nih.gov/pmc/blobs/8075/4368695/e79575f0c55a/pone.0120097.g003.jpg
https://cdn.ncbi.nlm.nih.gov/pmc/blobs/8075/4368695/b95854be6812/pone.0120097.g004.jpg
https://cdn.ncbi.nlm.nih.gov/pmc/blobs/8075/4368695/73746501e173/pone.0120097.g005.jpg
https://cdn.ncbi.nlm.nih.gov/pmc/blobs/8075/4368695/496f95fe83c5/pone.0120097.g006.jpg

相似文献

1
The effects of mycoplasma contamination upon the ability to form bioengineered 3D kidney cysts.支原体污染对形成生物工程3D肾囊肿能力的影响。
PLoS One. 2015 Mar 20;10(3):e0120097. doi: 10.1371/journal.pone.0120097. eCollection 2015.
2
[Presence of Mycoplasma in laboratory cell cultures from Cordoba, Argentina].[阿根廷科尔多瓦实验室细胞培养物中支原体的存在情况]
Rev Argent Microbiol. 1998 Jul-Sep;30(3):147-53.
3
Aptamer Cocktail to Detect Multiple Species of Mycoplasma in Cell Culture.适体鸡尾酒检测细胞培养中的多种支原体。
Int J Mol Sci. 2020 May 27;21(11):3784. doi: 10.3390/ijms21113784.
4
Diagnosis and treatment of Mycoplasma-contaminated cell cultures.支原体污染细胞培养物的诊断与治疗
Curr Protoc Microbiol. 2006 Jan;Appendix 3:Appendix 3B. doi: 10.1002/9780471729259.mca03bs00.
5
Micropatterns of Matrigel for three-dimensional epithelial cultures.用于三维上皮细胞培养的基质胶微图案
Biomaterials. 2007 Sep;28(27):4006-16. doi: 10.1016/j.biomaterials.2007.05.021. Epub 2007 Jun 15.
6
Mycoplasmal contamination of cell cultures.细胞培养中的支原体污染
Am Biotechnol Lab. 1994 Jul;12(8):42.
7
Three dimensional spheroid cell culture for nanoparticle safety testing.用于纳米颗粒安全性测试的三维球体细胞培养
J Biotechnol. 2015 Jul 10;205:120-9. doi: 10.1016/j.jbiotec.2015.01.001. Epub 2015 Jan 14.
8
[Mycoplasma as a contaminant of cell cultures maintained in laboratories of private and official institutions].
Rev Saude Publica. 1989 Feb;23(1):39-44. doi: 10.1590/s0034-89101989000100006.
9
Diagnosis and treatment of mycoplasma-contaminated cell cultures.支原体污染细胞培养物的诊断与治疗
Curr Protoc Immunol. 2001 May;Appendix 3:Appendix 3E. doi: 10.1002/0471142735.ima03es21.
10
Implications of adipose-derived stromal cells in a 3D culture system for osteogenic differentiation: an in vitro and in vivo investigation.脂肪来源的基质细胞在 3D 培养系统中成骨分化中的意义:体内外研究。
Spine J. 2013 Jan;13(1):32-43. doi: 10.1016/j.spinee.2013.01.002.

引用本文的文献

1
Effects and Eradication of Mycoplasma Contamination on Patient-derived Colorectal Cancer Organoid Cultures.患者来源结直肠癌细胞类器官培养物中支原体污染的影响与清除。
Cancer Res Commun. 2023 Sep 27;3(9):1952-1958. doi: 10.1158/2767-9764.CRC-23-0109.
2
Standardizing Patient-Derived Organoid Generation Workflow to Avoid Microbial Contamination From Colorectal Cancer Tissues.标准化患者来源的类器官生成工作流程以避免结直肠癌组织的微生物污染。
Front Oncol. 2022 Jan 10;11:781833. doi: 10.3389/fonc.2021.781833. eCollection 2021.
3
Polycystin 2 is increased in disease to protect against stress-induced cell death.

本文引用的文献

1
Cyst formation following disruption of intracellular calcium signaling.细胞内钙信号传导中断后形成囊肿。
Proc Natl Acad Sci U S A. 2014 Sep 30;111(39):14283-8. doi: 10.1073/pnas.1412323111. Epub 2014 Sep 16.
2
Signalling at tight junctions during epithelial differentiation and microbial pathogenesis.上皮细胞分化和微生物致病过程中紧密连接的信号传导
J Cell Sci. 2014 Aug 15;127(Pt 16):3401-13. doi: 10.1242/jcs.145029.
3
Amino acids regulate transgene expression in MDCK cells.氨基酸调节MDCK细胞中的转基因表达。
多囊蛋白 2 在疾病中增加以防止应激诱导的细胞死亡。
Sci Rep. 2020 Jan 15;10(1):386. doi: 10.1038/s41598-019-57286-x.
4
Polycystin 2 regulates mitochondrial Ca signaling, bioenergetics, and dynamics through mitofusin 2.多囊蛋白 2 通过线粒体融合蛋白 2 调节线粒体钙信号、生物能量和动力学。
Sci Signal. 2019 May 7;12(580):eaat7397. doi: 10.1126/scisignal.aat7397.
PLoS One. 2014 May 5;9(5):e96823. doi: 10.1371/journal.pone.0096823. eCollection 2014.
4
Tissue-engineered kidney disease models.组织工程化肾脏疾病模型
Adv Drug Deliv Rev. 2014 Apr;69-70:67-80. doi: 10.1016/j.addr.2013.12.002. Epub 2013 Dec 17.
5
Strategies targeting cAMP signaling in the treatment of polycystic kidney disease.靶向 cAMP 信号通路治疗多囊肾病的策略。
J Am Soc Nephrol. 2014 Jan;25(1):18-32. doi: 10.1681/ASN.2013040398. Epub 2013 Dec 12.
6
Bioengineered 3D human kidney tissue, a platform for the determination of nephrotoxicity.生物工程化 3D 人类肾组织:用于确定肾毒性的平台。
PLoS One. 2013;8(3):e59219. doi: 10.1371/journal.pone.0059219. Epub 2013 Mar 14.
7
Treatment of mycoplasma contamination in cell cultures with Plasmocin.使用Plasmocin处理细胞培养物中的支原体污染。
J Biomed Biotechnol. 2012;2012:267678. doi: 10.1155/2012/267678. Epub 2012 Oct 2.
8
The regulation of cystogenesis in a tissue engineered kidney disease system by abnormal matrix interactions.异常基质相互作用对组织工程肾脏疾病系统中囊肿发生的调节。
Biomaterials. 2012 Nov;33(33):8383-94. doi: 10.1016/j.biomaterials.2012.08.020. Epub 2012 Aug 30.
9
Degradation of nuclease-stabilized RNA oligonucleotides in Mycoplasma-contaminated cell culture media.核酸酶稳定的 RNA 寡核苷酸在支原体污染的细胞培养介质中的降解。
Nucleic Acid Ther. 2012 Feb;22(1):58-68. doi: 10.1089/nat.2011.0316. Epub 2012 Jan 9.
10
Detecting mycoplasma contamination in cell cultures by polymerase chain reaction.通过聚合酶链反应检测细胞培养物中的支原体污染。
Methods Mol Biol. 2011;731:93-103. doi: 10.1007/978-1-61779-080-5_8.