• 文献检索
  • 文档翻译
  • 深度研究
  • 学术资讯
  • Suppr Zotero 插件Zotero 插件
  • 邀请有礼
  • 套餐&价格
  • 历史记录
应用&插件
Suppr Zotero 插件Zotero 插件浏览器插件Mac 客户端Windows 客户端微信小程序
定价
高级版会员购买积分包购买API积分包
服务
文献检索文档翻译深度研究API 文档MCP 服务
关于我们
关于 Suppr公司介绍联系我们用户协议隐私条款
关注我们

Suppr 超能文献

核心技术专利:CN118964589B侵权必究
粤ICP备2023148730 号-1Suppr @ 2026

文献检索

告别复杂PubMed语法,用中文像聊天一样搜索,搜遍4000万医学文献。AI智能推荐,让科研检索更轻松。

立即免费搜索

文件翻译

保留排版,准确专业,支持PDF/Word/PPT等文件格式,支持 12+语言互译。

免费翻译文档

深度研究

AI帮你快速写综述,25分钟生成高质量综述,智能提取关键信息,辅助科研写作。

立即免费体验

遗传性出血性毛细血管扩张症

Hereditary hemorrhagic telangiectasia.

作者信息

Kamath Nagesh, Bhatia Sumit, Singh Harneet, Shetty Anurag, Shetty Shiran

机构信息

Department of Gastroenterology and Hepatology, Kasturba Medical College, Manipal University, Manipal, Karnataka, India.

出版信息

N Am J Med Sci. 2015 Mar;7(3):125-8. doi: 10.4103/1947-2714.153928.

DOI:10.4103/1947-2714.153928
PMID:25839006
原文链接:https://pmc.ncbi.nlm.nih.gov/articles/PMC4382768/
Abstract

BACKGROUND

Hereditary hemorrhagic telangiectasia (HHT) is an autosomal dominant disorder, which affects various internal organs and has a tendency for bleeding. It has a classic triad of mucocutaneous telangiectasias, recurrent hemorrhages and positive familial history of first-degree relative. Epistaxis or gastrointestinal telangiectasia can be fatal in a small number of cases.

CASE REPORT

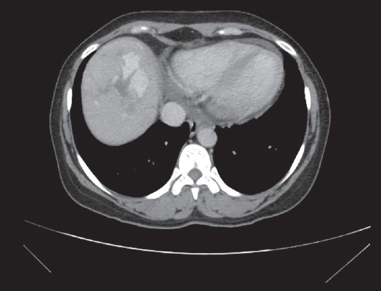
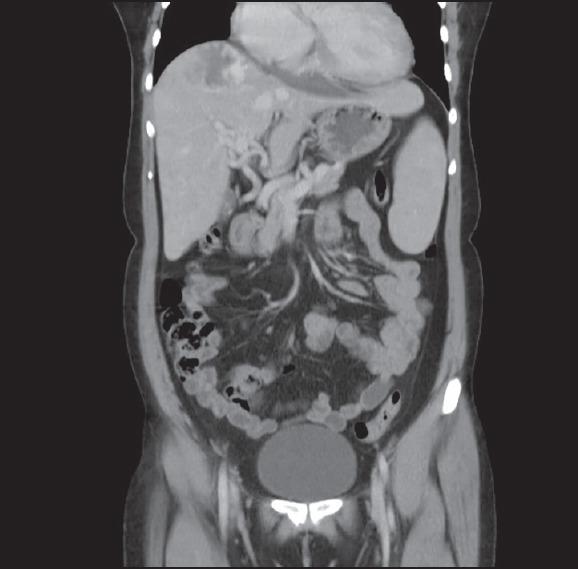
A 44-year-old woman came with complaints of recurrent episodes of hematemesis and epistaxis. Patient had a family history of similar complaints. Patient underwent esophagogastroduodenoscopy (EGD), which revealed telangiectasia in the stomach. Imaging of the abdomen showed features suggestive of arteriovenous shunting.

CONCLUSION

HHT can remain undiagnosed for a long time, and is rarely being reported in the literature with management needing a multidisciplinary approach with early inputs from a gastroenterologist.

摘要

背景

遗传性出血性毛细血管扩张症(HHT)是一种常染色体显性疾病,可影响多个内脏器官并具有出血倾向。它具有黏膜皮肤毛细血管扩张、反复出血以及一级亲属阳性家族史这一典型三联征。鼻出血或胃肠道毛细血管扩张在少数情况下可能致命。

病例报告

一名44岁女性因反复呕血和鼻出血前来就诊。患者有类似症状的家族史。患者接受了食管胃十二指肠镜检查(EGD),结果显示胃部有毛细血管扩张。腹部影像学检查显示有动静脉分流的特征。

结论

HHT可能长时间未被诊断出来,且文献中鲜有报道,其治疗需要多学科方法,早期需有胃肠病学家参与。

https://cdn.ncbi.nlm.nih.gov/pmc/blobs/9ec8/4382768/bab3a5b4540c/NAJMS-7-125-g004.jpg
https://cdn.ncbi.nlm.nih.gov/pmc/blobs/9ec8/4382768/4612e82cefd0/NAJMS-7-125-g001.jpg
https://cdn.ncbi.nlm.nih.gov/pmc/blobs/9ec8/4382768/828b7ef70f10/NAJMS-7-125-g002.jpg
https://cdn.ncbi.nlm.nih.gov/pmc/blobs/9ec8/4382768/e6b146af1892/NAJMS-7-125-g003.jpg
https://cdn.ncbi.nlm.nih.gov/pmc/blobs/9ec8/4382768/bab3a5b4540c/NAJMS-7-125-g004.jpg
https://cdn.ncbi.nlm.nih.gov/pmc/blobs/9ec8/4382768/4612e82cefd0/NAJMS-7-125-g001.jpg
https://cdn.ncbi.nlm.nih.gov/pmc/blobs/9ec8/4382768/828b7ef70f10/NAJMS-7-125-g002.jpg
https://cdn.ncbi.nlm.nih.gov/pmc/blobs/9ec8/4382768/e6b146af1892/NAJMS-7-125-g003.jpg
https://cdn.ncbi.nlm.nih.gov/pmc/blobs/9ec8/4382768/bab3a5b4540c/NAJMS-7-125-g004.jpg

相似文献

1
Hereditary hemorrhagic telangiectasia.遗传性出血性毛细血管扩张症
N Am J Med Sci. 2015 Mar;7(3):125-8. doi: 10.4103/1947-2714.153928.
2
A case of hereditary hemorrhagic telangiectasia.
Ann Dermatol. 2009 May;21(2):206-8. doi: 10.5021/ad.2009.21.2.206. Epub 2009 May 31.
3
Hereditary Hemorrhagic Telangiectasia: A Rare Cause of Anemia.遗传性出血性毛细血管扩张症:贫血的罕见病因。
Cureus. 2019 Aug 8;11(8):e5349. doi: 10.7759/cureus.5349.
4
A Rare Case of Upper Gastrointestinal Bleeding: Osler-Weber-Rendu Syndrome.罕见的上消化道出血病例:Osler-Weber-Rendu 综合征。
Medicina (Kaunas). 2022 Feb 22;58(3):333. doi: 10.3390/medicina58030333.
5
Hereditary Hemorrhagic Telangiectasia With Multiple Ear, Nose, and Throat (ENT) Manifestations: A Case Report.伴有多部位耳鼻喉表现的遗传性出血性毛细血管扩张症:一例报告
Cureus. 2023 Jul 30;15(7):e42706. doi: 10.7759/cureus.42706. eCollection 2023 Jul.
6
[Iron deficiency anemia in a patient with hereditary hemorrhagic telangiectasia. Case report].[遗传性出血性毛细血管扩张症患者的缺铁性贫血。病例报告]
Ter Arkh. 2023 Sep 29;95(7):580-585. doi: 10.26442/00403660.2023.07.202303.
7
Telangiectasias, recurrent epistaxis and a strong family history-a case of Osler- Weber-Rendu Syndrome in Pakistan.毛细血管扩张症、反复鼻出血和强烈的家族史——一例巴基斯坦的 Osler-Weber-Rendu 综合征。
J Pak Med Assoc. 2024 Apr;74(4):800-803. doi: 10.47391/JPMA.9577.
8
Rendú Osler Weber Syndrome; case report.遗传性出血性毛细血管扩张症;病例报告。
Radiol Case Rep. 2022 Jun 19;17(9):3025-3030. doi: 10.1016/j.radcr.2022.05.088. eCollection 2022 Sep.
9
Hereditary hemorrhagic telangiectasia.遗传性出血性毛细血管扩张症
Handb Clin Neurol. 2015;132:185-97. doi: 10.1016/B978-0-444-62702-5.00013-5.
10
Anesthetic management of a patient with hereditary hemorrhagic telangiectasia (Rendu-Osler-Weber syndrome). Case report.遗传性出血性毛细血管扩张症(伦杜-奥斯勒-韦伯综合征)患者的麻醉管理。病例报告。
Rev Bras Anestesiol. 2009 Jan-Feb;59(1):74-8. doi: 10.1590/s0034-70942009000100010.

本文引用的文献

1
A long diagnostic delay in patients with Hereditary Haemorrhagic Telangiectasia: a questionnaire-based retrospective study.遗传性出血性毛细血管扩张症患者的诊断延迟时间长:基于问卷调查的回顾性研究。
Orphanet J Rare Dis. 2012 Jun 7;7:33. doi: 10.1186/1750-1172-7-33.
2
Thalidomide stimulates vessel maturation and reduces epistaxis in individuals with hereditary hemorrhagic telangiectasia.沙利度胺可刺激血管成熟,减少遗传性出血性毛细血管扩张症患者的鼻出血。
Nat Med. 2010 Apr;16(4):420-8. doi: 10.1038/nm.2131. Epub 2010 Apr 4.
3
Bevacizumab reverses need for liver transplantation in hereditary hemorrhagic telangiectasia.
贝伐单抗可逆转遗传性出血性毛细血管扩张症患者对肝移植的需求。
Liver Transpl. 2008 Feb;14(2):210-3. doi: 10.1002/lt.21417.
4
A rare and misdiagnosed bleeding disorder: hereditary hemorrhagic telangiectasia.一种罕见且易被误诊的出血性疾病:遗传性出血性毛细血管扩张症。
J Thromb Haemost. 2005 Oct;3(10):2201-10. doi: 10.1111/j.1538-7836.2005.01345.x. Epub 2005 May 9.
5
Hereditary haemorrhagic telangiectasia (Osler-Weber-Rendu syndrome): a view from the 21st century.遗传性出血性毛细血管扩张症(奥斯勒-韦伯-伦杜综合征):21世纪的视角
Postgrad Med J. 2003 Jan;79(927):18-24. doi: 10.1136/pmj.79.927.18.
6
Genetic epidemiology of hereditary hemorrhagic telangiectasia in a local community in the northern part of Japan.日本北部某当地社区遗传性出血性毛细血管扩张症的遗传流行病学
Hum Mutat. 2002 Feb;19(2):140-8. doi: 10.1002/humu.10026.
7
Genetic and molecular pathogenesis of hereditary hemorrhagic telangiectasia.遗传性出血性毛细血管扩张症的遗传和分子发病机制
J Med Invest. 2000 Aug;47(3-4):81-90.
8
Liver disease in patients with hereditary hemorrhagic telangiectasia.遗传性出血性毛细血管扩张症患者的肝脏疾病
N Engl J Med. 2000 Sep 28;343(13):931-6. doi: 10.1056/NEJM200009283431305.
9
Diagnostic criteria for hereditary hemorrhagic telangiectasia (Rendu-Osler-Weber syndrome).遗传性出血性毛细血管扩张症(伦杜-奥斯勒-韦伯综合征)的诊断标准。
Am J Med Genet. 2000 Mar 6;91(1):66-7. doi: 10.1002/(sici)1096-8628(20000306)91:1<66::aid-ajmg12>3.0.co;2-p.
10
Gastrointestinal bleeding in patients with hereditary hemorrhagic telangiectasia.遗传性出血性毛细血管扩张症患者的胃肠道出血
Am J Gastroenterol. 2000 Feb;95(2):415-8. doi: 10.1111/j.1572-0241.2000.01792.x.