• 文献检索
  • 文档翻译
  • 深度研究
  • 学术资讯
  • Suppr Zotero 插件Zotero 插件
  • 邀请有礼
  • 套餐&价格
  • 历史记录
应用&插件
Suppr Zotero 插件Zotero 插件浏览器插件Mac 客户端Windows 客户端微信小程序
定价
高级版会员购买积分包购买API积分包
服务
文献检索文档翻译深度研究API 文档MCP 服务
关于我们
关于 Suppr公司介绍联系我们用户协议隐私条款
关注我们

Suppr 超能文献

核心技术专利:CN118964589B侵权必究
粤ICP备2023148730 号-1Suppr @ 2026

文献检索

告别复杂PubMed语法,用中文像聊天一样搜索,搜遍4000万医学文献。AI智能推荐,让科研检索更轻松。

立即免费搜索

文件翻译

保留排版,准确专业,支持PDF/Word/PPT等文件格式,支持 12+语言互译。

免费翻译文档

深度研究

AI帮你快速写综述,25分钟生成高质量综述,智能提取关键信息,辅助科研写作。

立即免费体验

单剂量奎宁引发的肾局限性血栓性微血管病和急性间质性肾炎。

Renal-limited thrombotic microangiopathy and acute interstitial nephritis with a single dose of quinine.

作者信息

Anjelo Jobert, Rao Nitesh, David Vinoi G, Otto Sophia, Russ Graeme

机构信息

Central Northern Adelaide Renal Transplantation Services , Royal Adelaide Hospital , Adelaide , Australia ; Division of Nephrology , Royal Adelaide Hospital , Adelaide, SA , Australia.

Central Northern Adelaide Renal Transplantation Services , Royal Adelaide Hospital , Adelaide , Australia.

出版信息

Clin Kidney J. 2014 Jun;7(3):311-3. doi: 10.1093/ckj/sfu035. Epub 2014 May 7.

DOI:10.1093/ckj/sfu035
PMID:25852897
原文链接:https://pmc.ncbi.nlm.nih.gov/articles/PMC4377755/
Abstract

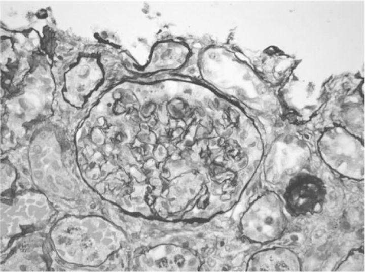
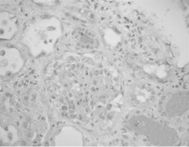
Quinine has been reported to cause acute kidney injury by various mechanisms. The response to quinine can result in a spectrum of problems ranging from isolated thrombocytopenia to thrombotic microangiopathy (TMA) to disseminated intravascular coagulation. Quinine has also been reported to cause acute interstitial nephritis (AIN). We report an unusual presentation where both of these entities of renal-limited TMA and AIN were precipitated by a single dose of quinine.

摘要

据报道,奎宁可通过多种机制导致急性肾损伤。对奎宁的反应可能会引发一系列问题,从孤立性血小板减少到血栓性微血管病(TMA),再到弥散性血管内凝血。也有报道称奎宁可导致急性间质性肾炎(AIN)。我们报告了一例罕见病例,单次服用奎宁引发了局限于肾脏的TMA和AIN这两种情况。

https://cdn.ncbi.nlm.nih.gov/pmc/blobs/3aae/4377755/6ae2ef3e09d7/sfu03505.jpg
https://cdn.ncbi.nlm.nih.gov/pmc/blobs/3aae/4377755/7f554e498b56/sfu03501.jpg
https://cdn.ncbi.nlm.nih.gov/pmc/blobs/3aae/4377755/f1642025e609/sfu03502.jpg
https://cdn.ncbi.nlm.nih.gov/pmc/blobs/3aae/4377755/50182751bb06/sfu03503.jpg
https://cdn.ncbi.nlm.nih.gov/pmc/blobs/3aae/4377755/8362f77228f3/sfu03504.jpg
https://cdn.ncbi.nlm.nih.gov/pmc/blobs/3aae/4377755/6ae2ef3e09d7/sfu03505.jpg
https://cdn.ncbi.nlm.nih.gov/pmc/blobs/3aae/4377755/7f554e498b56/sfu03501.jpg
https://cdn.ncbi.nlm.nih.gov/pmc/blobs/3aae/4377755/f1642025e609/sfu03502.jpg
https://cdn.ncbi.nlm.nih.gov/pmc/blobs/3aae/4377755/50182751bb06/sfu03503.jpg
https://cdn.ncbi.nlm.nih.gov/pmc/blobs/3aae/4377755/8362f77228f3/sfu03504.jpg
https://cdn.ncbi.nlm.nih.gov/pmc/blobs/3aae/4377755/6ae2ef3e09d7/sfu03505.jpg

相似文献

1
Renal-limited thrombotic microangiopathy and acute interstitial nephritis with a single dose of quinine.单剂量奎宁引发的肾局限性血栓性微血管病和急性间质性肾炎。
Clin Kidney J. 2014 Jun;7(3):311-3. doi: 10.1093/ckj/sfu035. Epub 2014 May 7.
2
Quinine-Induced Thrombotic Microangiopathy: A Report of 19 Patients.奎宁诱导的血栓性微血管病:19 例患者报告。
Am J Kidney Dis. 2017 Nov;70(5):686-695. doi: 10.1053/j.ajkd.2017.05.023. Epub 2017 Aug 3.
3
A case of acute interstitial nephritis and granulomatous hepatitis induced by ingesting quinine.一例因摄入奎宁引起的急性间质性肾炎和肉芽肿性肝炎。
CEN Case Rep. 2015 May;4(1):76-80. doi: 10.1007/s13730-014-0143-0. Epub 2014 Aug 29.
4
Clinicopathological features and outcomes of SLE patients with renal injury characterised by thrombotic microangiopathy.以血栓性微血管病为特征的肾损伤的系统性红斑狼疮患者的临床病理特征和结局。
Clin Rheumatol. 2021 Jul;40(7):2735-2743. doi: 10.1007/s10067-021-05627-5. Epub 2021 Feb 4.
5
Case report of Salmonella derby septicemia complicated with co-occurrence of disseminated intravascular coagulation and thrombotic microangiopathy.一例伴有弥散性血管内凝血和血栓性微血管病的德尔卑沙门氏菌败血症病例报告。
BMC Infect Dis. 2022 Dec 7;22(1):914. doi: 10.1186/s12879-022-07913-2.
6
The spectrum of renal thrombotic microangiopathy in lupus nephritis.狼疮性肾炎中肾血栓性微血管病的谱系
Arthritis Res Ther. 2013 Jan 15;15(1):R12. doi: 10.1186/ar4142.
7
Renal Thrombotic Microangiopathy: A Review.肾血栓性微血管病:综述。
Am J Kidney Dis. 2023 May;81(5):591-605. doi: 10.1053/j.ajkd.2022.10.014. Epub 2022 Dec 10.
8
Quinine-induced disseminated intravascular coagulation: case report and review of the literature.奎宁诱发的弥散性血管内凝血:病例报告及文献综述
Intensive Care Med. 2003 Jun;29(6):1007-1011. doi: 10.1007/s00134-003-1732-0. Epub 2003 Apr 8.
9
Renal thrombotic microangiopathy in a patient with septic disseminated intravascular coagulation.患者患有感染性弥散性血管内凝血合并肾血栓性微血管病。
BMC Nephrol. 2013 Nov 27;14:260. doi: 10.1186/1471-2369-14-260.
10
Thrombotic microangiopathy after traumatic brain injury: A case report and review of the literature.创伤性脑损伤后血栓性微血管病:一例病例报告及文献综述
Clin Case Rep. 2023 Sep 8;11(9):e7838. doi: 10.1002/ccr3.7838. eCollection 2023 Sep.

引用本文的文献

1
Reversible renal-limited thrombotic microangiopathy due to gemcitabine-dexamethasone-cisplatin therapy: a case report.吉西他滨-地塞米松-顺铂治疗致可逆性肾性血栓性微血管病:病例报告。
BMC Nephrol. 2021 May 12;22(1):175. doi: 10.1186/s12882-021-02386-y.

本文引用的文献

1
Is it quinine TTP/HUS or quinine TMA? ADAMTS13 levels and implications for therapy.
J Clin Apher. 2009;24(3):115-9. doi: 10.1002/jca.20194.
2
Drug-induced thrombocytopenia.药物性血小板减少症
Hematol Oncol Clin North Am. 2007 Aug;21(4):685-96, vi. doi: 10.1016/j.hoc.2007.06.005.
3
Omeprazole-induced acute interstitial nephritis.
N Z Med J. 2003 Feb 21;116(1169):U332.
4
Guidelines on the diagnosis and management of the thrombotic microangiopathic haemolytic anaemias.
血栓性微血管病性溶血性贫血的诊断与管理指南。
Br J Haematol. 2003 Feb;120(4):556-73. doi: 10.1046/j.1365-2141.2003.04049.x.
5
Drug-induced thrombotic microangiopathy: incidence, prevention and management.药物诱导的血栓性微血管病:发病率、预防与管理
Drug Saf. 2001;24(7):491-501. doi: 10.2165/00002018-200124070-00002.
6
The lady who had muscle cramps and developed thrombotic microangiopathy.
Nephrol Dial Transplant. 2000 Sep;15(9):1464-7. doi: 10.1093/ndt/15.9.1464.
7
Quinine-induced hemolytic uremic syndrome.
Clin Nephrol. 1997 Jun;47(6):397-400.
8
Quinine-associated acute interstitial nephritis.
Am J Kidney Dis. 1994 Aug;24(2):211-4. doi: 10.1016/s0272-6386(12)80184-3.
9
Cocktail purpura. An unusual case of quinine sensitivity.
Ann Intern Med. 1967 Mar;66(3):583-6. doi: 10.7326/0003-4819-66-3-583.
10
Quinine-induced immune thrombocytopenia associated with hemolytic uremic syndrome: a new clinical entity.
Blood. 1991 Jan 15;77(2):306-10.