• 文献检索
  • 文档翻译
  • 深度研究
  • 学术资讯
  • Suppr Zotero 插件Zotero 插件
  • 邀请有礼
  • 套餐&价格
  • 历史记录
应用&插件
Suppr Zotero 插件Zotero 插件浏览器插件Mac 客户端Windows 客户端微信小程序
定价
高级版会员购买积分包购买API积分包
服务
文献检索文档翻译深度研究API 文档MCP 服务
关于我们
关于 Suppr公司介绍联系我们用户协议隐私条款
关注我们

Suppr 超能文献

核心技术专利:CN118964589B侵权必究
粤ICP备2023148730 号-1Suppr @ 2026

文献检索

告别复杂PubMed语法,用中文像聊天一样搜索,搜遍4000万医学文献。AI智能推荐,让科研检索更轻松。

立即免费搜索

文件翻译

保留排版,准确专业,支持PDF/Word/PPT等文件格式,支持 12+语言互译。

免费翻译文档

深度研究

AI帮你快速写综述,25分钟生成高质量综述,智能提取关键信息,辅助科研写作。

立即免费体验

褪黑素对大鼠辐射诱导的肺损伤和脂质过氧化的辐射防护作用。

Radioprotective effect of melatonin on radiation-induced lung injury and lipid peroxidation in rats.

作者信息

Tahamtan Raziyeh, Shabestani Monfared Ali, Tahamtani Yasser, Tavassoli Alireza, Akmali Maasoomeh, Mosleh-Shirazi Mohammad Amin, Naghizadeh Mohammad Mehdi, Ghasemi Danial, Keshavarz Mojtaba, Haddadi Gholam Hassan

机构信息

Department of Biophysics and Biochemistry, Cellular and Molecular Biology Research Centre, Babol University of Medical Sciences, Babol, Iran.

Department of Stem Cells and Developmental Biology at Cell Science Research Center, Royan Institute for Stem Cell Biology and Technology, ACECR, Tehran, Iran.

出版信息

Cell J. 2015 Spring;17(1):111-20. doi: 10.22074/cellj.2015.517. Epub 2015 Apr 8.

DOI:10.22074/cellj.2015.517
PMID:25870840
原文链接:https://pmc.ncbi.nlm.nih.gov/articles/PMC4393658/
Abstract

OBJECTIVE

Free radicals generated by ionizing radiation attack various cellular components such as lipids. The lung is a very radiosensitive organ and its damage is a doselimiting factor in radiotherapy treatments. Melatonin (MLT), the major product of the pineal gland acts as a radioprotective agent. This study aims to investigate the radioprotective effects of MLT on malondialdehyde (MDA) levels and histopathological changes in irradiated lungs.

MATERIALS AND METHODS

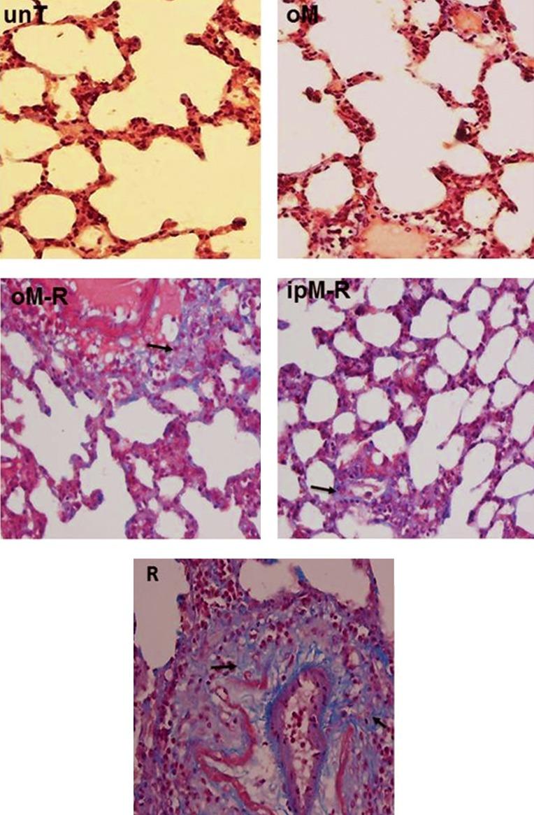
In this experimental study, a total of 62 rats were divided into five groups. Group 1 received no MLT and radiation (unT), group 2 received oral MLT (oM), group 3 received oral MLT and their thoracic areas were irradiated with 18 Gy (oMR), group 4 received MLT by intraperitoneal (i.p.) injection and their thoracic areas were irradiated with 18 Gy (ipM-R), group 5 received only 18 Gy radiation in the thoracic area (R). Following radiotherapy, half of the animals in each group were sacrificed at 48 hours for evaluation of lipid peroxidation and early phase lung injuries. Other animals were sacrificed in the eighth week of the experiment for evaluation of the presence of late phase radiation induced lung injuries.

RESULTS

Pre-treatment of rats with either i.p injection (p<0.05) and oral administration of MLT (p<0.001) significantly reduced MDA levels in red blood cell (RBC) samples compared to the R group. Furthermore, i.p. injection of MLT decreased MDA levels in plasma and tissue (p<0.05). In the early phase of lung injury, both administration of MLT significantly increased lymphocyte (p<0.05) and macrophage frequency (p<0.001). MLT reduced the lung injury index in the lungs compared to the R group (p<0.05).

CONCLUSION

The result of this study confirms the radioprotective effect of MLT on lipid peroxidation, and in both early and late phases of radiation induced lung injuries in an animal model.

摘要

目的

电离辐射产生的自由基会攻击各种细胞成分,如脂质。肺是对辐射非常敏感的器官,其损伤是放射治疗中的剂量限制因素。褪黑素(MLT)是松果体的主要产物,具有辐射防护作用。本研究旨在探讨MLT对受照射肺组织中丙二醛(MDA)水平和组织病理学变化的辐射防护作用。

材料与方法

在本实验研究中,将62只大鼠分为五组。第1组未接受MLT和辐射(未处理组),第2组接受口服MLT(口服组),第3组接受口服MLT并对其胸部区域进行18 Gy照射(口服MLT+照射组),第4组通过腹腔注射MLT并对其胸部区域进行18 Gy照射(腹腔注射MLT+照射组),第5组仅对胸部区域进行18 Gy辐射(照射组)。放射治疗后,每组一半的动物在48小时处死,以评估脂质过氧化和早期肺损伤。其他动物在实验的第八周处死,以评估晚期辐射诱导的肺损伤情况。

结果

与照射组相比,腹腔注射(p<0.05)和口服MLT(p<0.001)预处理大鼠可显著降低红细胞(RBC)样本中的MDA水平。此外,腹腔注射MLT可降低血浆和组织中的MDA水平(p<0.05)。在肺损伤早期,两种MLT给药方式均显著增加淋巴细胞(p<0.05)和巨噬细胞频率(p<0.001)。与照射组相比,MLT降低了肺组织的肺损伤指数(p<0.05)。

结论

本研究结果证实了MLT在动物模型中对脂质过氧化以及辐射诱导的肺损伤早期和晚期均具有辐射防护作用。

https://cdn.ncbi.nlm.nih.gov/pmc/blobs/fc51/4393658/fae35c591edf/Cell-J-17-111-g03.jpg
https://cdn.ncbi.nlm.nih.gov/pmc/blobs/fc51/4393658/b1a549e2ba2e/Cell-J-17-111-g01.jpg
https://cdn.ncbi.nlm.nih.gov/pmc/blobs/fc51/4393658/dc64358a1651/Cell-J-17-111-g02.jpg
https://cdn.ncbi.nlm.nih.gov/pmc/blobs/fc51/4393658/fae35c591edf/Cell-J-17-111-g03.jpg
https://cdn.ncbi.nlm.nih.gov/pmc/blobs/fc51/4393658/b1a549e2ba2e/Cell-J-17-111-g01.jpg
https://cdn.ncbi.nlm.nih.gov/pmc/blobs/fc51/4393658/dc64358a1651/Cell-J-17-111-g02.jpg
https://cdn.ncbi.nlm.nih.gov/pmc/blobs/fc51/4393658/fae35c591edf/Cell-J-17-111-g03.jpg

相似文献

1
Radioprotective effect of melatonin on radiation-induced lung injury and lipid peroxidation in rats.褪黑素对大鼠辐射诱导的肺损伤和脂质过氧化的辐射防护作用。
Cell J. 2015 Spring;17(1):111-20. doi: 10.22074/cellj.2015.517. Epub 2015 Apr 8.
2
Evaluation of the Radioprotective Effects of Melatonin Against Ionizing Radiation-Induced Muscle Tissue Injury.褪黑素对电离辐射所致肌肉组织损伤的辐射防护作用评估
Curr Radiopharm. 2019;12(3):247-255. doi: 10.2174/1874471012666190219120329.
3
Pinealectomy and melatonin administration in rats: their effects on pulmonary edema induced by α-naphthylthiourea.松果体切除术和褪黑素给药对α-萘硫脲诱导的肺水肿的影响。
Drug Chem Toxicol. 2023 Nov;46(5):1024-1034. doi: 10.1080/01480545.2022.2119994. Epub 2022 Sep 7.
4
Radio-Protective Effects of Melatonin on Subventricular Zone in Irradiated Rat: Decrease in Apoptosis and Upregulation of Nestin.褪黑素对放射大鼠室下区的放射防护作用:减少细胞凋亡和巢蛋白表达上调。
J Mol Neurosci. 2017 Oct;63(2):198-205. doi: 10.1007/s12031-017-0970-5. Epub 2017 Sep 4.
5
[Protective effect of melatonin against renal dysfunction following severe burn in rats].褪黑素对大鼠严重烧伤后肾功能障碍的保护作用
Zhongguo Wei Zhong Bing Ji Jiu Yi Xue. 2007 Dec;19(12):721-3.
6
Melatonin attenuates unilateral ureteral obstruction-induced renal injury by reducing oxidative stress, iNOS, MAPK, and NF-kB expression.褪黑素通过降低氧化应激、诱导型一氧化氮合酶(iNOS)、丝裂原活化蛋白激酶(MAPK)和核因子κB(NF-κB)的表达来减轻单侧输尿管梗阻诱导的肾损伤。
J Endourol. 2009 Jul;23(7):1165-73. doi: 10.1089/end.2009.0035.
7
Modulation of Radiation-induced Base Excision Repair Pathway Gene Expression by Melatonin.褪黑素对辐射诱导的碱基切除修复途径基因表达的调节作用
J Med Phys. 2017 Oct-Dec;42(4):245-250. doi: 10.4103/jmp.JMP_9_17.
8
Comparison of the effects of melatonin and pentoxifylline on carbon tetrachloride-induced liver toxicity in mice.褪黑素与己酮可可碱对四氯化碳诱导的小鼠肝脏毒性作用的比较
Cell Biol Toxicol. 2006 Nov;22(6):381-91. doi: 10.1007/s10565-006-0019-y. Epub 2006 May 16.
9
Radioprotective effects of melatonin on radiation-induced cataract.褪黑素对辐射诱导性白内障的辐射防护作用。
J Radiat Res. 2005 Jun;46(2):277-82. doi: 10.1269/jrr.46.277.
10
Evaluating Radioprotective Effect of Hesperidin on Acute Radiation Damage in the Lung Tissue of Rats.橙皮苷对大鼠肺组织急性辐射损伤的辐射防护作用评估。
J Biomed Phys Eng. 2016 Sep 1;6(3):165-174. eCollection 2016 Sep.

引用本文的文献

1
Comprehensive high-throughput sequencing analysis and verification of miRNAs isolated from bronchial epithelial cells undergoing radiation-induced epithelial-mesenchymal transition.对从经历辐射诱导上皮-间质转化的支气管上皮细胞中分离出的微小RNA进行全面的高通量测序分析及验证。
Sci Prog. 2025 Jul-Sep;108(3):368504251362376. doi: 10.1177/00368504251362376. Epub 2025 Jul 22.
2
Cardiotoxicity prevention in thoracic radiotherapy: The effect of different melatonin doses on the level of oxidation markers -in vivo animal study.胸部放疗中的心脏毒性预防:不同剂量褪黑素对氧化标志物水平的影响——体内动物研究
Toxicol Rep. 2025 Apr 17;14:102030. doi: 10.1016/j.toxrep.2025.102030. eCollection 2025 Jun.
3

本文引用的文献

1
On the free radical scavenging activities of melatonin's metabolites, AFMK and AMK.关于褪黑素代谢物 AFMK 和 AMK 的自由基清除活性。
J Pineal Res. 2013 Apr;54(3):245-57. doi: 10.1111/jpi.12010. Epub 2012 Sep 23.
2
A review of the molecular aspects of melatonin's anti-inflammatory actions: recent insights and new perspectives.褪黑素抗炎作用的分子机制研究进展:最新见解与新视角。
J Pineal Res. 2013 Jan;54(1):1-14. doi: 10.1111/j.1600-079X.2012.01014.x. Epub 2012 Jun 24.
3
Melatonin protection from chronic, low-level ionizing radiation.
Radioprotective effects of melatonin and thymoquinone on liver, parotid gland, brain, and testis of rats exposed to total body irradiation.
褪黑素和姜黄素对全身照射大鼠肝脏、腮腺、脑和睾丸的放射防护作用。
Turk J Med Sci. 2023 Aug;53(4):902-908. doi: 10.55730/1300-0144.5654. Epub 2023 Aug 18.
4
Combining Oxidative Stress Markers and Expression of Surfactant Protein A in Lungs in the Diagnosis of Seawater Drowning.联合氧化应激标志物与肺表面活性蛋白A表达用于海水淹溺的诊断
Life (Basel). 2023 Jan 5;13(1):159. doi: 10.3390/life13010159.
5
Radioprotective effects of gliclazide against irradiation-induced cardiotoxicity and lung injury through inhibiting oxidative stress.格列齐特通过抑制氧化应激对辐射诱导的心脏毒性和肺损伤的防护作用。
Med Oncol. 2022 Sep 7;39(12):199. doi: 10.1007/s12032-022-01803-y.
6
Ulinastatin enhances autophagy against radiation-induced lung injury in mice.乌司他丁增强自噬作用以对抗小鼠辐射诱导的肺损伤。
Transl Cancer Res. 2020 Jul;9(7):4162-4172. doi: 10.21037/tcr-19-3018.
7
Radioprotective and Radiomitigative Effects of Melatonin in Tissues with Different Proliferative Activity.褪黑素在具有不同增殖活性组织中的辐射防护和辐射减轻作用。
Antioxidants (Basel). 2021 Nov 25;10(12):1885. doi: 10.3390/antiox10121885.
8
[Research progress on macrophage in radiation induced lung injury].[巨噬细胞在放射性肺损伤中的研究进展]
Zhejiang Da Xue Xue Bao Yi Xue Ban. 2020 Oct 25;49(5):623-628. doi: 10.3785/j.issn.1008-9292.2020.10.12.
9
Effects of Exogenous Melatonin on MAM Induced Lung Injury and Lung Development in Mice Offspring.外源性褪黑素对母体甲基苯丙胺诱导的子代小鼠肺损伤及肺发育的影响
Tanaffos. 2020 Jan;19(1):66-73.
10
Radioprotective effect of diethylcarbamazine on radiation-induced acute lung injury and oxidative stress in mice.二乙碳酰吗啉对小鼠放射性急性肺损伤及氧化应激的防护作用。
J Bioenerg Biomembr. 2020 Feb;52(1):39-46. doi: 10.1007/s10863-019-09820-9. Epub 2019 Dec 18.
Mutat Res Rev Mutat Res. 2012 July-September;751(1):7-14. doi: 10.1016/j.mrrev.2011.12.002. Epub 2011 Dec 15.
4
Extrapineal melatonin: analysis of its subcellular distribution and daily fluctuations.松果体外褪黑素:分析其亚细胞分布和日波动。
J Pineal Res. 2012 Mar;52(2):217-27. doi: 10.1111/j.1600-079X.2011.00931.x. Epub 2011 Sep 2.
5
What do we know about mechanical strain in lung alveoli?我们对肺肺泡中的机械应变了解多少?
Am J Physiol Lung Cell Mol Physiol. 2011 Nov;301(5):L625-35. doi: 10.1152/ajplung.00105.2011. Epub 2011 Aug 26.
6
Pathogenetic mechanisms in radiation fibrosis.辐射纤维化的发病机制。
Radiother Oncol. 2010 Oct;97(1):149-61. doi: 10.1016/j.radonc.2010.09.002. Epub 2010 Sep 29.
7
Radioprotectors and mitigators of radiation-induced normal tissue injury.辐射诱导正常组织损伤的放射防护剂和减轻剂。
Oncologist. 2010;15(4):360-71. doi: 10.1634/theoncologist.2009-S104.
8
Reducing oxidative/nitrosative stress: a newly-discovered genre for melatonin.减轻氧化/亚硝化应激:褪黑素的一种新发现作用类型。
Crit Rev Biochem Mol Biol. 2009 Jul-Aug;44(4):175-200. doi: 10.1080/10409230903044914.
9
Radiation produces differential changes in cytokine profiles in radiation lung fibrosis sensitive and resistant mice.辐射在辐射性肺纤维化敏感和抗性小鼠的细胞因子谱中产生差异变化。
J Hematol Oncol. 2009 Feb 2;2:6. doi: 10.1186/1756-8722-2-6.
10
A radiobiological review on melatonin: a novel radioprotector.褪黑素的放射生物学综述:一种新型辐射防护剂。
J Radiat Res. 2007 Jul;48(4):263-72. doi: 10.1269/jrr.06070.