Xie Jia-Bing, Zhang Xin, Li Quan-Hui, Xu Zhu-Jun
Department of Trauma Orthopedics, Yijishan Hospital Affiliated to Wannan Medical College, Wuhu, Anhui Province, China.
Neural Regen Res. 2015 Feb;10(2):219-24. doi: 10.4103/1673-5374.152374.
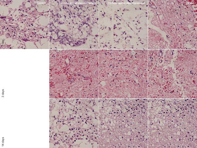
A variety of inflammatory cytokines are involved in spinal cord injury and influence the recovery of neuronal function. In the present study, we established a rat model of acute spinal cord injury by cerclage. The cerclage suture was released 8 or 72 hours later, to simulate decompression surgery. Neurological function was evaluated behaviorally for 3 weeks after surgery, and tumor necrosis factor α immunoreactivity and apoptosis were quantified in the region of injury. Rats that underwent decompression surgery had significantly weaker immunoreactivity of tumor necrosis factor α and significantly fewer apoptotic cells, and showed faster improvement of locomotor function than animals in which decompression surgery was not performed. Decompression at 8 hours resulted in significantly faster recovery than that at 72 hours. These data indicate that early decompression may improve neurological function after spinal cord injury by inhibiting the expression of tumor necrosis factor α.