Suppr超能文献

卵圆孔未闭:其在麻醉和重症监护中的意义:一个病例说明

Patent foramen ovale: Its significance in anesthesia and intensive care: An illustrated case.

作者信息

Shaikh Nissar, Saif Abdel Salam, Nayeemuddin Mohammed, Kokash Ousama

机构信息

Department of Anesthesia & Intensive Care, Hamad General Hospital, Hamad Medical Corporation, Doha, Qatar.

Department of Medical Intensive Care, Hamad General Hospital, Hamad Medical Corporation, Doha, Qatar.

出版信息

Anesth Essays Res. 2012 Jan-Jun;6(1):94-7. doi: 10.4103/0259-1162.103387.

Abstract

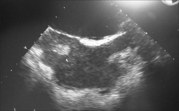
Patent foramen ovale (PFO) is defined as a valve-like opening at the level of foramen ovale or between septum primum and secundum without evidence of the anatomical defect. Paradoxical embolism (PDE) is an embolus passing through a defect PFO leading to end-organ dysfunction. PDE in septic shock is not yet reported in the literature. A 49-year male presented to the emergency department with shortness of breath since one day and pain in the left side of the chest. Chest x0 -ray revealed middle-left lobe pneumonia with pleural effusion; he was started on Co-amoxiclav, and admitted to the ward. After 6 h, his chest pain suddenly significantly increased difficulty in breathing and his oxygen saturation dropped. X-ray of the chest showed left pneumothorax, chest drain was inserted and he was intubated. He became hemodynamically unstable with maximum ventilatory support and noradrenalin. On day 4, he was found to have new pansystolic murmur in the tricuspid area. An echocardiogram revealed global hypokinesia, two mobile thrombi in the right atrial cavity, and PFO. It was noticed that his right toe had blackish discoloration. An angiogram showed occlusion of the right superficial femoral artery and immediately an embolectomy. On day 11, he was transferred to the ward. PDE needs a high index of suspicion in septic shock patients with ARDS. PDE requires PEEP adjustment, early anticoagulation, and thromboprophylaxis.

摘要

卵圆孔未闭(PFO)被定义为在卵圆孔水平或原发隔与继发隔之间的类似瓣膜的开口,且无解剖学缺陷的证据。反常栓塞(PDE)是指栓子通过卵圆孔未闭缺损导致终末器官功能障碍。脓毒性休克中的反常栓塞在文献中尚未见报道。一名49岁男性因一天来呼吸急促和左侧胸痛就诊于急诊科。胸部X线显示左中叶肺炎伴胸腔积液;给他使用了阿莫西林克拉维酸钾,并收住病房。6小时后,他的胸痛突然明显加重,呼吸困难,血氧饱和度下降。胸部X线显示左侧气胸,插入胸腔引流管并对他进行了气管插管。在最大通气支持和使用去甲肾上腺素的情况下,他的血流动力学仍不稳定。在第4天,发现他在三尖瓣区有新出现的全收缩期杂音。超声心动图显示整体运动减弱、右心房腔内有两个活动血栓以及卵圆孔未闭。注意到他的右脚趾有发黑变色。血管造影显示右股浅动脉闭塞,随即进行了栓子切除术。在第11天,他被转入病房。对于患有急性呼吸窘迫综合征的脓毒性休克患者,需要高度怀疑反常栓塞。反常栓塞需要调整呼气末正压、早期抗凝和血栓预防。

https://cdn.ncbi.nlm.nih.gov/pmc/blobs/dfce/4173424/5c5c03ebc2c9/AER-6-94-g001.jpg

文献AI研究员

20分钟写一篇综述,助力文献阅读效率提升50倍。

立即体验

用中文搜PubMed

大模型驱动的PubMed中文搜索引擎

马上搜索

文档翻译

学术文献翻译模型,支持多种主流文档格式。

立即体验