Suppr超能文献

下颌骨及颞下颌关节透明细胞牙源性癌伴颈部淋巴结转移。

Clear cell odontogenic carcinoma of the mandible and temporomandibuar joint with cervical lymph nodal metastasis.

作者信息

Krishnamurthy Arvind, Ramshankar Vijayalakshmi, Majhi Urmila

机构信息

Department of Surgical Oncology, Cancer Institute (WIA), Chennai, Tamil Nadu, India.

Department of Preventive Oncology, Cancer Institute (WIA), Chennai, Tamil Nadu, India.

出版信息

Natl J Maxillofac Surg. 2014 Jul-Dec;5(2):221-3. doi: 10.4103/0975-5950.154842.

Abstract

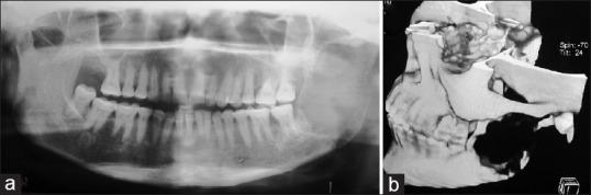
Clear cell odontogenic carcinoma (CCOC) is a rare aggressive tumor that has the ability to invade locally as well as cause regional and distant metastasis. The etiology of this neoplasm remains poorly understood and the diagnosis of CCOC is done by exclusion of other clear cell tumors. To date, approximately 75 cases of CCOC have been described in the English literature, all involving a single jaw. The majority of cases have been reported to arise from the mandible, the maxilla is less frequently involved, and no case had involvement of the temporomandibuar joint. Lymph node metastasis at initial presentation is reportedly rare (<10%). We describe possibly the first case of CCOC in a 50-year-old woman with involvement of the mandible and the temporomandibuar joint along with cervical lymph nodal metastasis. We share our experiences and challenges in the management of this unusual tumor.

摘要

透明细胞牙源性癌(CCOC)是一种罕见的侵袭性肿瘤,具有局部侵袭能力以及引起区域和远处转移的能力。这种肿瘤的病因仍知之甚少,CCOC的诊断是通过排除其他透明细胞肿瘤来进行的。迄今为止,英文文献中已描述了约75例CCOC病例,均累及单个颌骨。大多数病例据报道起源于下颌骨,上颌骨较少受累,且没有病例累及颞下颌关节。据报道,初诊时出现淋巴结转移的情况很少见(<10%)。我们描述了可能是第一例50岁女性的CCOC病例,该病例累及下颌骨和颞下颌关节,并伴有颈部淋巴结转移。我们分享了在管理这种不寻常肿瘤方面的经验和挑战。

https://cdn.ncbi.nlm.nih.gov/pmc/blobs/e43a/4405972/f28624baf51e/NJMS-5-221-g001.jpg

文献AI研究员

20分钟写一篇综述,助力文献阅读效率提升50倍。

立即体验

用中文搜PubMed

大模型驱动的PubMed中文搜索引擎

马上搜索

文档翻译

学术文献翻译模型,支持多种主流文档格式。

立即体验