• 文献检索
  • 文档翻译
  • 深度研究
  • 学术资讯
  • Suppr Zotero 插件Zotero 插件
  • 邀请有礼
  • 套餐&价格
  • 历史记录
应用&插件
Suppr Zotero 插件Zotero 插件浏览器插件Mac 客户端Windows 客户端微信小程序
定价
高级版会员购买积分包购买API积分包
服务
文献检索文档翻译深度研究API 文档MCP 服务
关于我们
关于 Suppr公司介绍联系我们用户协议隐私条款
关注我们

Suppr 超能文献

核心技术专利:CN118964589B侵权必究
粤ICP备2023148730 号-1Suppr @ 2026

文献检索

告别复杂PubMed语法,用中文像聊天一样搜索,搜遍4000万医学文献。AI智能推荐,让科研检索更轻松。

立即免费搜索

文件翻译

保留排版,准确专业,支持PDF/Word/PPT等文件格式,支持 12+语言互译。

免费翻译文档

深度研究

AI帮你快速写综述,25分钟生成高质量综述,智能提取关键信息,辅助科研写作。

立即免费体验

达那唑:获得性无巨核细胞性血小板减少性紫癜的一种有效治疗选择。

Danazol: an effective option in acquired amegakaryocytic thrombocytopaenic purpura.

作者信息

Mulroy E, Gleeson S, Chiruka S

机构信息

Department of Haematology, Dunedin Hospital, Great King Street, Dunedin 9016, New Zealand.

出版信息

Case Rep Hematol. 2015;2015:171253. doi: 10.1155/2015/171253. Epub 2015 Apr 5.

DOI:10.1155/2015/171253
PMID:25945269
原文链接:https://pmc.ncbi.nlm.nih.gov/articles/PMC4402186/
Abstract

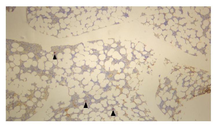
Acquired amegakaryocytic thrombocytopaenic purpura (AATP) is a rare haematological condition characterised by isolated thrombocytopaenia with normal other cell lines. It is often initially misdiagnosed as immune thrombocytopaenic purpura but has characteristic bone marrow findings of reduced megakaryocyte numbers. The optimal treatment of AATP is not clearly defined but revolves around immunosuppressive therapies. We report a case of successful treatment of AATP with danazol, an antioestrogenic medication. We also review the aetiologies and pathogenesis of the disorder and suggest that danazol should be considered as an effective alternative to potent immunosuppression in AATP.

摘要

获得性无巨核细胞性血小板减少性紫癜(AATP)是一种罕见的血液系统疾病,其特征为单纯血小板减少,其他细胞系正常。该病起初常被误诊为免疫性血小板减少性紫癜,但具有巨核细胞数量减少的特征性骨髓表现。AATP的最佳治疗方法尚无明确定义,但主要围绕免疫抑制疗法展开。我们报告了一例使用抗雌激素药物达那唑成功治疗AATP的病例。我们还回顾了该疾病的病因和发病机制,并建议达那唑应被视为AATP有效替代强效免疫抑制治疗的药物。

https://cdn.ncbi.nlm.nih.gov/pmc/blobs/0a6d/4402186/14ba831933e4/CRIHEM2015-171253.003.jpg
https://cdn.ncbi.nlm.nih.gov/pmc/blobs/0a6d/4402186/3be6ffe22ade/CRIHEM2015-171253.001.jpg
https://cdn.ncbi.nlm.nih.gov/pmc/blobs/0a6d/4402186/adf46f33ba5c/CRIHEM2015-171253.002.jpg
https://cdn.ncbi.nlm.nih.gov/pmc/blobs/0a6d/4402186/14ba831933e4/CRIHEM2015-171253.003.jpg
https://cdn.ncbi.nlm.nih.gov/pmc/blobs/0a6d/4402186/3be6ffe22ade/CRIHEM2015-171253.001.jpg
https://cdn.ncbi.nlm.nih.gov/pmc/blobs/0a6d/4402186/adf46f33ba5c/CRIHEM2015-171253.002.jpg
https://cdn.ncbi.nlm.nih.gov/pmc/blobs/0a6d/4402186/14ba831933e4/CRIHEM2015-171253.003.jpg

相似文献

1
Danazol: an effective option in acquired amegakaryocytic thrombocytopaenic purpura.达那唑:获得性无巨核细胞性血小板减少性紫癜的一种有效治疗选择。
Case Rep Hematol. 2015;2015:171253. doi: 10.1155/2015/171253. Epub 2015 Apr 5.
2
Danazol therapy in cyclic acquired amegakaryocytic thrombocytopenic purpura: a case report.达那唑治疗周期性获得性无巨核细胞性血小板减少性紫癜:一例报告。
Am J Hematol. 1999 Mar;60(3):225-8. doi: 10.1002/(sici)1096-8652(199903)60:3<225::aid-ajh10>3.0.co;2-s.
3
Acquired amegakaryocytic thrombocytopenic purpura (AATP): a study of autologous megakaryocyte progenitors and the effect of patients plasma on normal marrow megakaryocyte colony formation.获得性无巨核细胞性血小板减少性紫癜(AATP):自体巨核细胞祖细胞及患者血浆对正常骨髓巨核细胞集落形成影响的研究
Folia Haematol Int Mag Klin Morphol Blutforsch. 1990;117(2):347-51.
4
Acquired Amegakaryocytic Thrombocytopenia Misdiagnosed as Immune Thrombocytopenia: A Case Report.获得性巨核细胞血小板减少症误诊为免疫性血小板减少症:病例报告。
Perm J. 2020 Dec;24:1-3. doi: 10.7812/TPP/19.203.
5
Acquired amegakaryocytic thrombocytopenic purpura: review of a not very well-defined disorder.获得性无巨核细胞性血小板减少性紫癜:对一种定义不太明确的疾病的综述。
Eur J Intern Med. 2005 Nov;16(7):477-81. doi: 10.1016/j.ejim.2005.04.014.
6
Acquired Amegakaryocytic Thrombocytopenic Purpura: A Review of Therapeutic Options.获得性巨核细胞血小板减少性紫癜:治疗选择的综述。
Hematol Oncol Stem Cell Ther. 2023 Apr 4;16(3):291-302. doi: 10.56875/2589-0646.1063.
7
Acquired amegakaryocytic thrombocytopenic purpura: a syndrome of diverse etiologies.获得性无巨核细胞性血小板减少性紫癜:一种病因多样的综合征。
Blood. 1982 Nov;60(5):1173-8.
8
Acquired Amegakaryocytic Thrombocytopenic Purpura Progressing into Aplastic Anemia.获得性无巨核细胞性血小板减少性紫癜进展为再生障碍性贫血。
Prague Med Rep. 2017;118(4):147-155. doi: 10.14712/23362936.2017.16.
9
Danazol in acquired amegakaryocytic thrombocytopenic purpura: a case report.达那唑治疗获得性无巨核细胞性血小板减少性紫癜:一例报告
Blut. 1985 Dec;51(6):401-4. doi: 10.1007/BF00320726.
10
Cell-mediated suppression of megakaryocytopoiesis in acquired amegakaryocytic thrombocytopenic purpura.
Blood. 1986 Sep;68(3):619-26.

引用本文的文献

1
[Acquired amegacaryocytic thrombocytopenic purpura hiding acute myeloid leukemia].[获得性巨核细胞性血小板减少性紫癜掩盖急性髓系白血病]
Pan Afr Med J. 2017 Jan 23;26:32. doi: 10.11604/pamj.2017.26.32.9215. eCollection 2017.

本文引用的文献

1
Anti-CD20 Antibody is Effective in the Patient with Refractory Amegakaryocytic Thrombocytopenia, 25 Months Follow up.抗CD20抗体对难治性无巨核细胞性血小板减少症患者有效,随访25个月
Int J Hematol Oncol Stem Cell Res. 2014;8(2):41-4.
2
Successful treatment of amegakaryocytic thrombocytopenia with eltrombopag in a patient with systemic lupus erythematosus (SLE).艾曲泊帕成功治疗一名系统性红斑狼疮(SLE)患者的无巨核细胞性血小板减少症。
Clin Adv Hematol Oncol. 2010 Nov;8(11):806-9.
3
Thrombocytopenia associated with the administration of diethylstilbestrol in man.
人类使用己烯雌酚后出现的血小板减少症。
Ann Intern Med. 1960 Apr;52:907-9. doi: 10.7326/0003-4819-52-4-907.
4
Anti-c-Mpl (thrombopoietin receptor) autoantibody-induced amegakaryocytic thrombocytopenia in a patient with systemic sclerosis.抗c-Mpl(血小板生成素受体)自身抗体诱导的系统性硬化症患者无巨核细胞性血小板减少症
Arthritis Rheum. 2003 Jun;48(6):1647-51. doi: 10.1002/art.10965.
5
Acquired amegakaryocytic thrombocytopenic purpura successfully treated with limited cyclosporin A therapy.采用有限剂量环孢素A治疗成功治愈获得性无巨核细胞性血小板减少性紫癜。
Eur J Haematol. 2002 Sep;69(3):185-6. doi: 10.1034/j.1600-0609.2002.02756.x.
6
[Study on the pathogenesis of acquired pure amegakaryocytic thrombocytopenic purpura].
Zhonghua Xue Ye Xue Za Zhi. 1999 Mar;20(3):124-6.
7
Enhancement of splenic-macrophage Fcgamma receptor expression by treatment with estrogens.雌激素治疗增强脾脏巨噬细胞Fcγ受体表达
Clin Diagn Lab Immunol. 2001 Jul;8(4):806-10. doi: 10.1128/CDLI.8.4.806-810.2001.
8
Acquired amegakaryocytic thrombocytopenia treated with allogeneic BMT: a case report and review of the literature.异基因骨髓移植治疗获得性无巨核细胞性血小板减少症:一例报告并文献复习
Bone Marrow Transplant. 1999 Dec;24(12):1337-41. doi: 10.1038/sj.bmt.1702063.
9
Relationship between megakaryocyte mass and serum thrombopoietin levels as revealed by a case of cyclic amegakaryocytic thrombocytopenic purpura.一例周期性无巨核细胞性血小板减少性紫癜所揭示的巨核细胞量与血清血小板生成素水平之间的关系
Br J Haematol. 1999 May;105(2):452-8.
10
Danazol therapy in cyclic acquired amegakaryocytic thrombocytopenic purpura: a case report.达那唑治疗周期性获得性无巨核细胞性血小板减少性紫癜:一例报告。
Am J Hematol. 1999 Mar;60(3):225-8. doi: 10.1002/(sici)1096-8652(199903)60:3<225::aid-ajh10>3.0.co;2-s.