• 文献检索
  • 文档翻译
  • 深度研究
  • 学术资讯
  • Suppr Zotero 插件Zotero 插件
  • 邀请有礼
  • 套餐&价格
  • 历史记录
应用&插件
Suppr Zotero 插件Zotero 插件浏览器插件Mac 客户端Windows 客户端微信小程序
定价
高级版会员购买积分包购买API积分包
服务
文献检索文档翻译深度研究API 文档MCP 服务
关于我们
关于 Suppr公司介绍联系我们用户协议隐私条款
关注我们

Suppr 超能文献

核心技术专利:CN118964589B侵权必究
粤ICP备2023148730 号-1Suppr @ 2026

文献检索

告别复杂PubMed语法,用中文像聊天一样搜索,搜遍4000万医学文献。AI智能推荐,让科研检索更轻松。

立即免费搜索

文件翻译

保留排版,准确专业,支持PDF/Word/PPT等文件格式,支持 12+语言互译。

免费翻译文档

深度研究

AI帮你快速写综述,25分钟生成高质量综述,智能提取关键信息,辅助科研写作。

立即免费体验

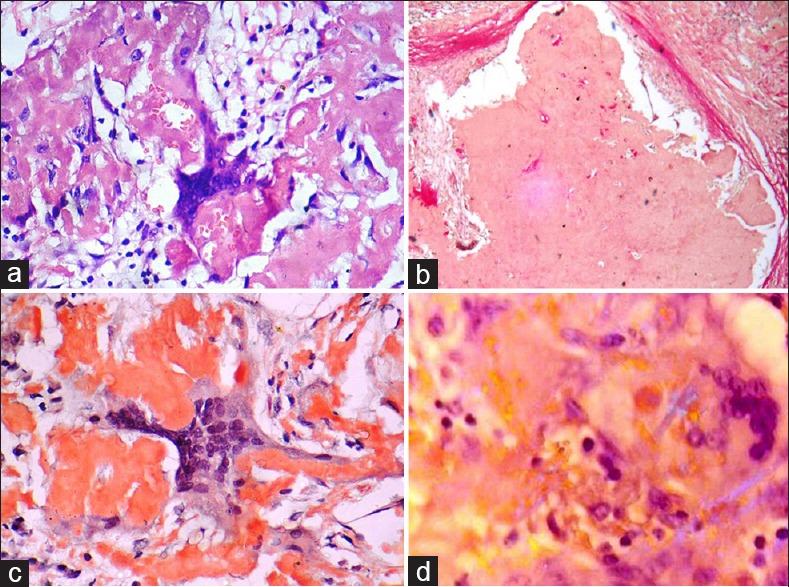
颈部钙化性淀粉样瘤伴大量巨细胞反应。

Calcified amyloid tumor of neck with exuberant giant cell reaction.

作者信息

Bandyopadhyay Arghya, Bhattacharya Shubham, Maiti Barnali, Bose Koushik

机构信息

Department of Pathology, Burdwan Medical College, Burdwan, West Bengal, India.

出版信息

J Lab Physicians. 2015 Jan-Jun;7(1):61-3. doi: 10.4103/0974-2727.151694.

DOI:10.4103/0974-2727.151694
PMID:25949063
原文链接:https://pmc.ncbi.nlm.nih.gov/articles/PMC4411814/
Abstract

Amyloidosis is a group of disorders characterized by an extracellular deposition of an abnormal amount of proteins in a variety of organs resulting from abnormal folding of protein. It typically presents as disseminated deposits. Tumor like localized presentation of amyloidosis in the absence of systemic amyloidosis is referred to as amyloidoma or amyloid tumor. Amyloidoma is the least common presentation of tissue amyloid deposition. Amyloidoma of soft tissue is again a very rare entity, especially in the neck region. Calcification and minimum giant cell reaction can occur in amyloidoma. However, extensive calcification and exuberant giant cell reaction in amyloidoma of soft tissue neck make it difficult to diagnose. In this report, we discuss such a rare case with its differential diagnoses.

摘要

淀粉样变性是一组疾病,其特征是由于蛋白质异常折叠导致在各种器官中细胞外沉积异常量的蛋白质。它通常表现为弥漫性沉积物。在没有全身性淀粉样变性的情况下,淀粉样变性的肿瘤样局限性表现被称为淀粉样瘤或淀粉样肿瘤。淀粉样瘤是组织淀粉样沉积最不常见的表现形式。软组织淀粉样瘤同样是一种非常罕见的实体,尤其是在颈部区域。淀粉样瘤可发生钙化和最小程度的巨细胞反应。然而,软组织颈部淀粉样瘤中的广泛钙化和旺盛的巨细胞反应使其难以诊断。在本报告中,我们讨论了这样一个罕见病例及其鉴别诊断。

https://cdn.ncbi.nlm.nih.gov/pmc/blobs/4ccf/4411814/a4febe94cea2/JLP-7-61-g003.jpg
https://cdn.ncbi.nlm.nih.gov/pmc/blobs/4ccf/4411814/5331d939efa7/JLP-7-61-g001.jpg
https://cdn.ncbi.nlm.nih.gov/pmc/blobs/4ccf/4411814/067dca9884b8/JLP-7-61-g002.jpg
https://cdn.ncbi.nlm.nih.gov/pmc/blobs/4ccf/4411814/a4febe94cea2/JLP-7-61-g003.jpg
https://cdn.ncbi.nlm.nih.gov/pmc/blobs/4ccf/4411814/5331d939efa7/JLP-7-61-g001.jpg
https://cdn.ncbi.nlm.nih.gov/pmc/blobs/4ccf/4411814/067dca9884b8/JLP-7-61-g002.jpg
https://cdn.ncbi.nlm.nih.gov/pmc/blobs/4ccf/4411814/a4febe94cea2/JLP-7-61-g003.jpg

相似文献

1
Calcified amyloid tumor of neck with exuberant giant cell reaction.颈部钙化性淀粉样瘤伴大量巨细胞反应。
J Lab Physicians. 2015 Jan-Jun;7(1):61-3. doi: 10.4103/0974-2727.151694.
2
Soft tissue amyloidoma of the extremities: report of a case and review of the literature.四肢软组织淀粉样瘤:1例报告并文献复习
Am J Dermatopathol. 2007 Apr;29(2):152-5. doi: 10.1097/01.dad.0000211513.98230.74.
3
Soft-tissue amyloidoma of the extremities: a case report and review of literature.肢体软组织淀粉样瘤:一例报告并文献复习
Skeletal Radiol. 2009 Mar;38(3):287-92. doi: 10.1007/s00256-008-0621-6. Epub 2008 Dec 3.
4
Recurrent amyloidoma of soft tissue with exuberant giant cell reaction.
Arch Pathol Lab Med. 2003 Dec;127(12):1609-11. doi: 10.5858/2003-127-1609-RAOSTW.
5
Giant exophytic tumor of the leg: A case report of amyloidoma with literature review.腿部巨大外生性肿瘤:淀粉样瘤一例报告并文献复习。
Indian J Pathol Microbiol. 2021 Oct-Dec;64(4):810-813. doi: 10.4103/IJPM.IJPM_800_20.
6
Nail Amyloidoma: Two Case Reports of a New Entity.甲淀粉样瘤:一种新病种的两例报告
Skin Appendage Disord. 2023 Jun;9(3):216-220. doi: 10.1159/000529091. Epub 2023 Feb 1.
7
Primary cervical amyloidoma: a case report and review of the literature.原发性颈淀粉样变性瘤:病例报告及文献复习。
Spine J. 2013 Oct;13(10):e1-7. doi: 10.1016/j.spinee.2013.04.003. Epub 2013 May 10.
8
Amyloidoma of the neck: case report and review of the literature.颈部淀粉样瘤:病例报告及文献复习
Head Neck. 1994 Mar-Apr;16(2):191-5. doi: 10.1002/hed.2880160215.
9
Bilateral multifocal lower extremity localized soft tissue amyloidomas: case report with ultrasonographic characterization.双侧多灶性下肢局限性软组织淀粉样瘤:超声特征病例报告
Skeletal Radiol. 2017 Dec;46(12):1783-1789. doi: 10.1007/s00256-017-2777-4. Epub 2017 Sep 30.
10
Amyloidoma: a review and case report.淀粉样瘤:综述与病例报告。
Skeletal Radiol. 2021 Feb;50(2):437-444. doi: 10.1007/s00256-020-03560-3. Epub 2020 Jul 24.

引用本文的文献

1
Tumefactive Fat Necrosis with Multinucleate Giant Cell Reaction Mimicking Recurrent Renal Cell Carcinoma following Percutaneous Renal Cryoablation.经皮肾冷冻消融术后出现类似复发性肾细胞癌的伴有多核巨细胞反应的肿块性脂肪坏死。
Case Rep Urol. 2019 Feb 26;2019:1678193. doi: 10.1155/2019/1678193. eCollection 2019.

本文引用的文献

1
Localized AL amyloidosis: a suicidal neoplasm?局部性 AL 淀粉样变性:自杀性肿瘤?
Ups J Med Sci. 2012 May;117(2):244-50. doi: 10.3109/03009734.2012.654861. Epub 2012 Feb 15.
2
Recurrent amyloidoma of soft tissue with exuberant giant cell reaction.
Arch Pathol Lab Med. 2003 Dec;127(12):1609-11. doi: 10.5858/2003-127-1609-RAOSTW.
3
Soft-tissue amyloidoma. A case report.软组织淀粉样瘤。病例报告。
J Bone Joint Surg Br. 1998 Jul;80(4):654-6. doi: 10.1302/0301-620x.80b4.8730.
4
Amyloidoma of bone, a plasma cell/plasmacytoid neoplasm. Report of three cases and review of the literature.
Am J Surg Pathol. 1997 Feb;21(2):179-86. doi: 10.1097/00000478-199702000-00007.
5
Tumoral presentation of amyloidosis (amyloidomas) in soft tissues. A report of 14 cases.软组织淀粉样变性(淀粉样瘤)的肿瘤表现。14例报告。
Am J Clin Pathol. 1993 Aug;100(2):135-44. doi: 10.1093/ajcp/100.2.135.
6
Localized amyloidosis of the nasopharynx.鼻咽部局限性淀粉样变性
Ear Nose Throat J. 1994 May;73(5):335-6.
7
Localized amyloidosis of the head and neck and upper aerodigestive and lower respiratory tracts.头颈部、上气道消化道及下呼吸道的局限性淀粉样变性
Ann Otol Rhinol Laryngol. 1984 Jul-Aug;93(4 Pt 1):374-9. doi: 10.1177/000348948409300418.
8
The potassium permanganate method. A reliable method for differentiating amyloid AA from other forms of amyloid in routine laboratory practice.高锰酸钾法。在常规实验室操作中区分淀粉样蛋白AA与其他形式淀粉样蛋白的可靠方法。
Am J Pathol. 1979 Oct;97(1):43-58.
9
Amyloidosis presenting as a mass in the neck.表现为颈部肿块的淀粉样变性
Laryngoscope. 1979 Aug;89(8):1224-8. doi: 10.1002/lary.1979.89.8.1224.