Suppr超能文献

携带N端结构域替换且与遗传性运动神经元疾病相关的人类小分子热休克蛋白HspB1突变体的特征分析

Characterization of Mutants of Human Small Heat Shock Protein HspB1 Carrying Replacements in the N-Terminal Domain and Associated with Hereditary Motor Neuron Diseases.

作者信息

Muranova Lydia K, Weeks Stephen D, Strelkov Sergei V, Gusev Nikolai B

机构信息

Department of Biochemistry, School of Biology, Moscow State University, Moscow 119991, Russian Federation.

Laboratory for Biocrystallography, Department of Pharmaceutical and Pharmacological Sciences, KU Leuven, 3000 Leuven, Belgium.

出版信息

PLoS One. 2015 May 12;10(5):e0126248. doi: 10.1371/journal.pone.0126248. eCollection 2015.

Abstract

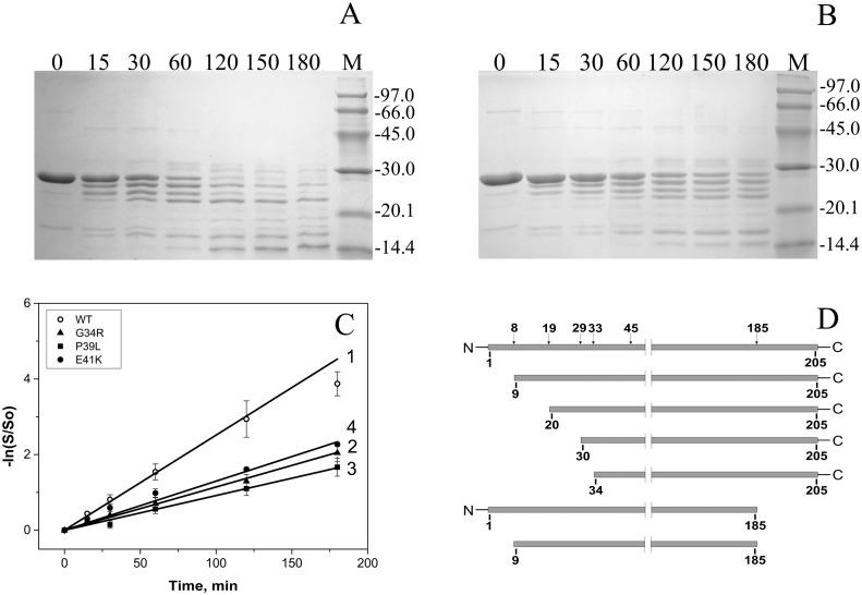
Physico-chemical properties of the mutations G34R, P39L and E41K in the N-terminal domain of human heat shock protein B1 (HspB1), which have been associated with hereditary motor neuron neuropathy, were analyzed. Heat-induced aggregation of all mutants started at lower temperatures than for the wild type protein. All mutations decreased susceptibility of the N- and C-terminal parts of HspB1 to chymotrypsinolysis. All mutants formed stable homooligomers with a slightly larger apparent molecular weight compared to the wild type protein. All mutations analyzed decreased or completely prevented phosphorylation-induced dissociation of HspB1 oligomers. When mixed with HspB6 and heated, all mutants yielded heterooligomers with apparent molecular weights close to ~400 kDa. Finally, the three HspB1 mutants possessed lower chaperone-like activity towards model substrates (lysozyme, malate dehydrogenase and insulin) compared to the wild type protein, conversely the environmental probe bis-ANS yielded higher fluorescence with the mutants than with the wild type protein. Thus, in vitro the analyzed N-terminal mutations increase stability of large HspB1 homooligomers, prevent their phosphorylation-dependent dissociation, modulate their interaction with HspB6 and decrease their chaperoning capacity, preventing normal functioning of HspB1.

摘要

对人类热休克蛋白B1(HspB1)N端结构域中与遗传性运动神经元神经病相关的G34R、P39L和E41K突变的理化性质进行了分析。所有突变体的热诱导聚集均在低于野生型蛋白的温度下开始。所有突变均降低了HspB1 N端和C端对胰凝乳蛋白酶消化的敏感性。与野生型蛋白相比,所有突变体均形成了表观分子量略大的稳定同型寡聚体。所有分析的突变均降低或完全阻止了磷酸化诱导的HspB1寡聚体解离。当与HspB6混合并加热时,所有突变体均产生了表观分子量接近~400 kDa的异型寡聚体。最后,与野生型蛋白相比,三种HspB1突变体对模型底物(溶菌酶、苹果酸脱氢酶和胰岛素)的伴侣样活性较低,相反,环境探针双-ANS与突变体产生的荧光高于野生型蛋白。因此,在体外,分析的N端突变增加了大HspB1同型寡聚体的稳定性,阻止了它们的磷酸化依赖性解离,调节了它们与HspB6的相互作用,并降低了它们的伴侣能力,从而阻止了HspB1的正常功能。

https://cdn.ncbi.nlm.nih.gov/pmc/blobs/88fe/4429025/fc638d51acc6/pone.0126248.g001.jpg

文献AI研究员

20分钟写一篇综述,助力文献阅读效率提升50倍。

立即体验

用中文搜PubMed

大模型驱动的PubMed中文搜索引擎

马上搜索

文档翻译

学术文献翻译模型,支持多种主流文档格式。

立即体验