Suppr超能文献

一项针对患有22q11.2缺失综合征的儿童和青少年面部情绪处理的功能磁共振成像研究。

An fMRI study of facial emotion processing in children and adolescents with 22q11.2 deletion syndrome.

作者信息

Azuma Rayna, Deeley Quinton, Campbell Linda E, Daly Eileen M, Giampietro Vincent, Brammer Michael J, Murphy Kieran C, Murphy Declan Gm

机构信息

School of International Liberal Studies, Waseda University, Tokyo, Japan.

Department of Forensic and Neurodevelopmental Science, Institute of Psychiatry, King's College London, London, UK.

出版信息

J Neurodev Disord. 2015;7(1):1. doi: 10.1186/1866-1955-7-1. Epub 2015 Jan 2.

Abstract

BACKGROUND

22q11.2 deletion syndrome (22q11DS, velo-cardio-facial syndrome [VCFS]) is a genetic disorder associated with interstitial deletions of chromosome 22q11.2. In addition to high rates of neuropsychiatric disorders, children with 22q11DS have impairments of face processing, as well as IQ-independent deficits in visuoperceptual function and social and abstract reasoning. These face-processing deficits may contribute to the social impairments of 22q11DS. However, their neurobiological basis is poorly understood.

METHODS

We used event-related functional magnetic resonance imaging (fMRI) to examine neural responses when children with 22q11DS (aged 9-17 years) and healthy controls (aged 8-17 years) incidentally processed neutral expressions and mild (50%) and intense (100%) expressions of fear and disgust. We included 28 right-handed children and adolescents: 14 with 22q11DS and 14 healthy (including nine siblings) controls.

RESULTS

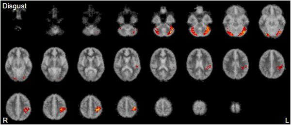
Within groups, contrasts showed that individuals significantly activated 'face responsive' areas when viewing neutral faces, including fusiform-extrastriate cortices. Further, within both groups, there was a significant positive linear trend in activation of fusiform-extrastriate cortices and cerebellum to increasing intensities of fear. There were, however, also between-group differences. Children with 22q11DS generally showed reduced activity as compared to controls in brain regions involved in social cognition and emotion processing across emotion types and intensities, including fusiform-extrastriate cortices, anterior cingulate cortex (Brodmann area (BA) 24/32), and superomedial prefrontal cortices (BA 6). Also, an exploratory correlation analysis showed that within 22q11DS children reduced activation was associated with behavioural impairment-social difficulties (measured using the Total Difficulties Score from the Strengths and Difficulties Questionnaire [SDQ]) were significantly negatively correlated with brain activity during fear and disgust processing (respectively) in the left precentral gyrus (BA 4) and in the left fusiform gyrus (FG, BA 19), right lingual gyrus (BA 18), and bilateral cerebellum.

CONCLUSIONS

Regions involved in face processing, including fusiform-extrastriate cortices, anterior cingulate gyri, and superomedial prefrontal cortices (BA 6), are activated by facial expressions of fearful, disgusted, and neutral expressions in children with 22q11DS but generally to a lesser degree than in controls. Hypoactivation in these regions may partly explain the social impairments of children with 22q11DS.

摘要

背景

22q11.2缺失综合征(22q11DS,腭心面综合征[VCFS])是一种与22号染色体q11.2区域间质性缺失相关的遗传性疾病。除了神经精神疾病的高发病率外,22q11DS患儿还存在面部加工障碍,以及与智商无关的视觉感知功能、社交和抽象推理缺陷。这些面部加工缺陷可能导致22q11DS患儿的社交障碍。然而,其神经生物学基础尚不清楚。

方法

我们使用事件相关功能磁共振成像(fMRI)来检测22q11DS患儿(9 - 17岁)和健康对照者(8 - 17岁)在偶然加工中性表情以及轻度(50%)和强烈(100%)恐惧和厌恶表情时的神经反应。我们纳入了28名右利手儿童和青少年:14名22q11DS患儿和14名健康对照者(包括9名同胞)。

结果

在组内,对比显示个体在观看中性面孔时显著激活了“面部反应”区域,包括梭状 - 纹外皮质。此外,在两组中,梭状 - 纹外皮质和小脑的激活随着恐惧强度的增加呈现显著的正线性趋势。然而,组间也存在差异。与对照组相比,22q11DS患儿在涉及不同情绪类型和强度的社交认知和情绪加工的脑区,包括梭状 - 纹外皮质、前扣带回皮质(布罗德曼区[BA]24/32)和额上内侧皮质(BA 6),活动普遍减少。此外,一项探索性相关分析表明,在22q11DS患儿中,激活减少与行为障碍 - 社交困难(使用优势与困难问卷[SDQ]的总困难得分测量)显著负相关,在恐惧和厌恶加工过程中,分别与左侧中央前回(BA 4)、左侧梭状回(FG,BA 19)、右侧舌回(BA 18)和双侧小脑的脑活动相关。

结论

参与面部加工的区域,包括梭状 - 纹外皮质、前扣带回和额上内侧皮质(BA 6),在22q11DS患儿中被恐惧、厌恶和中性表情激活,但通常程度低于对照组。这些区域的激活不足可能部分解释了22q11DS患儿的社交障碍。

https://cdn.ncbi.nlm.nih.gov/pmc/blobs/57b8/4429366/6c72eb6541c2/11689_2014_109_Fig1_HTML.jpg

文献AI研究员

20分钟写一篇综述,助力文献阅读效率提升50倍。

立即体验

用中文搜PubMed

大模型驱动的PubMed中文搜索引擎

马上搜索

文档翻译

学术文献翻译模型,支持多种主流文档格式。

立即体验