Suppr超能文献

使用定量相位成像预测前列腺癌复发

Prediction of prostate cancer recurrence using quantitative phase imaging.

作者信息

Sridharan Shamira, Macias Virgilia, Tangella Krishnarao, Kajdacsy-Balla André, Popescu Gabriel

机构信息

Quantitative Light Imaging Laboratory, Department of Bioengineering, Beckman Institute of Advanced Science and Technology, University of Illinois at Urbana-Champaign, 405 N. Matthews Avenue, Urbana, IL 61801, USA.

Department of Pathology, University of Illinois at Chicago, 840 S. Wood Street, Chicago, IL 60612, USA.

出版信息

Sci Rep. 2015 May 15;5:9976. doi: 10.1038/srep09976.

Abstract

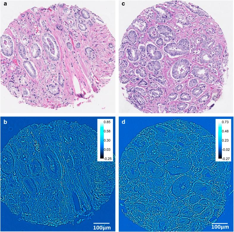
The risk of biochemical recurrence of prostate cancer among individuals who undergo radical prostatectomy for treatment is around 25%. Current clinical methods often fail at successfully predicting recurrence among patients at intermediate risk for recurrence. We used a label-free method, spatial light interference microscopy, to perform localized measurements of light scattering in prostatectomy tissue microarrays. We show, for the first time to our knowledge, that anisotropy of light scattering in the stroma immediately adjoining cancerous glands can be used to identify patients at higher risk for recurrence. The data show that lower value of anisotropy corresponds to a higher risk for recurrence, meaning that the stroma adjoining the glands of recurrent patients is more fractionated than in non-recurrent patients. Our method outperformed the widely accepted clinical tool CAPRA-S in the cases we interrogated irrespective of Gleason grade, prostate-specific antigen (PSA) levels and pathological tumor-node-metastasis (pTNM) stage. These results suggest that QPI shows promise in assisting pathologists to improve prediction of prostate cancer recurrence.

摘要

接受根治性前列腺切除术治疗的个体中,前列腺癌生化复发的风险约为25%。目前的临床方法常常无法成功预测中度复发风险患者的复发情况。我们使用了一种无标记方法——空间光干涉显微镜,对前列腺切除组织微阵列中的光散射进行局部测量。据我们所知,我们首次表明,紧邻癌性腺体的基质中光散射的各向异性可用于识别复发风险较高的患者。数据显示,各向异性值越低,复发风险越高,这意味着复发患者腺体周围的基质比未复发患者的更破碎。在我们研究的病例中,无论 Gleason 分级、前列腺特异性抗原(PSA)水平和病理肿瘤-淋巴结-转移(pTNM)分期如何,我们的方法都优于广泛接受的临床工具CAPRA-S。这些结果表明,定量相位成像在协助病理学家改善前列腺癌复发预测方面具有前景。

https://cdn.ncbi.nlm.nih.gov/pmc/blobs/6133/4432311/22832d267286/srep09976-f1.jpg

文献检索

告别复杂PubMed语法,用中文像聊天一样搜索,搜遍4000万医学文献。AI智能推荐,让科研检索更轻松。

立即免费搜索

文件翻译

保留排版,准确专业,支持PDF/Word/PPT等文件格式,支持 12+语言互译。

免费翻译文档

深度研究

AI帮你快速写综述,25分钟生成高质量综述,智能提取关键信息,辅助科研写作。

立即免费体验