Suppr超能文献

全踝关节置换术中假体移位和对线的X线平片测量准确性较差。

Poor accuracy of plain radiographic measurements of prosthetic migration and alignment in total ankle replacement.

作者信息

Braito Matthias, Liebensteiner Michael, Dammerer Dietmar, Krismer Martin, Pfurner Martin, Biedermann Rainer

机构信息

Department of Orthopedics, Medical University of Innsbruck, Anichstrasse 35, 6020, Innsbruck, Austria.

Geometry and CAD Unit, University of Innsbruck, Innrain 52, 6020, Innsbruck, Austria.

出版信息

J Orthop Surg Res. 2015 May 20;10:71. doi: 10.1186/s13018-015-0220-x.

Abstract

BACKGROUND

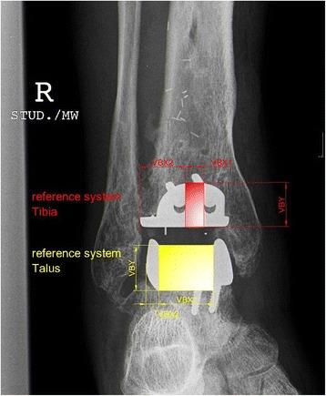
The rotational position of the leg substantially influences measurements in ankle radiographs after total ankle replacement (TAR). The aim of our study was to further specify the influence of different projections on radiographic parameters used to assess component position after TAR.

METHODS

The effect of varying degrees of internal rotation, flexion, and ab-/adduction on reference lines in anteroposterior and lateral ankle radiographs was investigated in a cadaveric TAR model. Observed variations were then compared with those found in 34 consecutive patients that received a HINTEGRA total ankle prosthesis in our department.

RESULTS

A change of rotation of 20° resulted in a variation of measured reference lines of more than 1.3 cm in anteroposterior radiographs and more than 1 cm in lateral radiographs in our experimental setting. Even higher intraindividual changes of up to 1.4 cm were observed in our in vivo series.

CONCLUSIONS

The findings suggest that rotational position of the leg highly influences measurements in ankle radiographs after TAR. It further raises the question, if previously described radiographic parameters do provide accurate information for the outcome after TAR in clinical routine as suggested in literature.

摘要

背景

全踝关节置换术(TAR)后,小腿的旋转位置对踝关节X线片测量结果有显著影响。本研究的目的是进一步明确不同投照方式对TAR后用于评估假体位置的X线参数的影响。

方法

在尸体TAR模型中,研究不同程度的内旋、屈曲以及内收/外展对踝关节前后位和侧位X线片参考线的影响。然后将观察到的变化与在我院接受HINTEGRA全踝关节假体的34例连续患者中发现的变化进行比较。

结果

在我们的实验环境中,旋转20°导致前后位X线片测量参考线变化超过1.3 cm,侧位X线片变化超过1 cm。在我们的体内系列研究中,甚至观察到高达1.4 cm的更高个体内变化。

结论

研究结果表明,小腿的旋转位置对TAR后踝关节X线片测量有很大影响。这进一步引发了一个问题,即如文献中所建议的,先前描述的X线参数在临床常规中是否真的能为TAR后的结果提供准确信息。

https://cdn.ncbi.nlm.nih.gov/pmc/blobs/231c/4490685/a9bd56f19a1b/13018_2015_220_Fig1_HTML.jpg

文献检索

告别复杂PubMed语法,用中文像聊天一样搜索,搜遍4000万医学文献。AI智能推荐,让科研检索更轻松。

立即免费搜索

文件翻译

保留排版,准确专业,支持PDF/Word/PPT等文件格式,支持 12+语言互译。

免费翻译文档

深度研究

AI帮你快速写综述,25分钟生成高质量综述,智能提取关键信息,辅助科研写作。

立即免费体验